• 文献检索
  • 文档翻译
  • 深度研究
  • 学术资讯
  • Suppr Zotero 插件Zotero 插件
  • 邀请有礼
  • 套餐&价格
  • 历史记录
应用&插件
Suppr Zotero 插件Zotero 插件浏览器插件Mac 客户端Windows 客户端微信小程序
定价
高级版会员购买积分包购买API积分包
服务
文献检索文档翻译深度研究API 文档MCP 服务
关于我们
关于 Suppr公司介绍联系我们用户协议隐私条款
关注我们

Suppr 超能文献

核心技术专利:CN118964589B侵权必究
粤ICP备2023148730 号-1Suppr @ 2026

文献检索

告别复杂PubMed语法,用中文像聊天一样搜索,搜遍4000万医学文献。AI智能推荐,让科研检索更轻松。

立即免费搜索

文件翻译

保留排版,准确专业,支持PDF/Word/PPT等文件格式,支持 12+语言互译。

免费翻译文档

深度研究

AI帮你快速写综述,25分钟生成高质量综述,智能提取关键信息,辅助科研写作。

立即免费体验

受体介导的白喉毒素进入猴肾(Vero)细胞:电子显微镜评估

Receptor-mediated entry of diphtheria toxin into monkey kidney (Vero) cells: electron microscopic evaluation.

作者信息

Morris R E, Gerstein A S, Bonventre P F, Saelinger C B

出版信息

Infect Immun. 1985 Dec;50(3):721-7. doi: 10.1128/iai.50.3.721-727.1985.

DOI:10.1128/iai.50.3.721-727.1985
PMID:4066029
原文链接:https://pmc.ncbi.nlm.nih.gov/articles/PMC261139/
Abstract

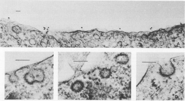
To express toxicity in living cells, diphtheria toxin (DT) must cross a membrane barrier and reach its target in the cytosol. Here we examine the entry of DT into the toxin-sensitive monkey kidney (Vero) cells. Using electron microscopy we directly demonstrated for the first time that DT is internalized by receptor-mediated endocytosis, i.e., via clathrin-coated pits, and enters the endosomal system. Methylamine, which is known to protect cells from DT, stopped the movement of toxin to coated areas of the cell membrane. In the presence of amine, prebound biotinyl-DT was internalized, but toxicity was inhibited. Biochemical evidence revealed that methylamine maintained toxin molecules at a site accessible to neutralization by antitoxin. The data suggest that DT entering Vero cells in the presence of methylamine is sequestered within the cell and does not express toxicity.

摘要

为了在活细胞中表现出毒性,白喉毒素(DT)必须穿过膜屏障并到达其在细胞质中的靶点。在这里,我们研究了DT进入毒素敏感的猴肾(Vero)细胞的过程。通过电子显微镜,我们首次直接证明DT是通过受体介导的内吞作用内化的,即通过网格蛋白包被的小窝,并进入内体系统。已知能保护细胞免受DT侵害的甲胺,阻止了毒素向细胞膜包被区域的移动。在胺存在的情况下,预先结合的生物素化DT被内化,但毒性受到抑制。生化证据表明,甲胺将毒素分子维持在可被抗毒素中和的位置。数据表明,在甲胺存在的情况下进入Vero细胞的DT被隔离在细胞内,不表现出毒性。

https://cdn.ncbi.nlm.nih.gov/pmc/blobs/2c17/261139/3b15a17eab3e/iai00111-0131-a.jpg
https://cdn.ncbi.nlm.nih.gov/pmc/blobs/2c17/261139/474d8f17d3a6/iai00111-0130-a.jpg
https://cdn.ncbi.nlm.nih.gov/pmc/blobs/2c17/261139/3b15a17eab3e/iai00111-0131-a.jpg
https://cdn.ncbi.nlm.nih.gov/pmc/blobs/2c17/261139/474d8f17d3a6/iai00111-0130-a.jpg
https://cdn.ncbi.nlm.nih.gov/pmc/blobs/2c17/261139/3b15a17eab3e/iai00111-0131-a.jpg

相似文献

1
Receptor-mediated entry of diphtheria toxin into monkey kidney (Vero) cells: electron microscopic evaluation.受体介导的白喉毒素进入猴肾(Vero)细胞:电子显微镜评估
Infect Immun. 1985 Dec;50(3):721-7. doi: 10.1128/iai.50.3.721-727.1985.
2
Diphtheria toxin does not enter resistant cells by receptor-mediated endocytosis.白喉毒素不会通过受体介导的内吞作用进入耐药细胞。
Infect Immun. 1983 Nov;42(2):812-7. doi: 10.1128/iai.42.2.812-817.1983.
3
Hypersensitivity to diphtheria toxin by mouse cells expressing both diphtheria toxin receptor and CD9 antigen.同时表达白喉毒素受体和CD9抗原的小鼠细胞对白喉毒素过敏。
Proc Natl Acad Sci U S A. 1993 Sep 1;90(17):8184-8. doi: 10.1073/pnas.90.17.8184.
4
Heparin-like molecules on the cell surface potentiate binding of diphtheria toxin to the diphtheria toxin receptor/membrane-anchored heparin-binding epidermal growth factor-like growth factor.细胞表面的类肝素分子增强白喉毒素与白喉毒素受体/膜锚定型肝素结合表皮生长因子样生长因子的结合。
J Biol Chem. 1995 Dec 8;270(49):29578-85. doi: 10.1074/jbc.270.49.29578.
5
Expression of functional diphtheria toxin receptors on highly toxin-sensitive mouse cells that specifically bind radioiodinated toxin.功能性白喉毒素受体在对毒素高度敏感的小鼠细胞上的表达,这些细胞能特异性结合放射性碘标记的毒素。
Proc Natl Acad Sci U S A. 1992 Mar 15;89(6):2170-4. doi: 10.1073/pnas.89.6.2170.
6
Toxin binding site of the diphtheria toxin receptor: loss and gain of diphtheria toxin binding of monkey and mouse heparin-binding, epidermal growth factor-like growth factor precursors by reciprocal site-directed mutagenesis.白喉毒素受体的毒素结合位点:通过相互位点定向诱变对猴和小鼠肝素结合性表皮生长因子样生长因子前体白喉毒素结合的丧失与获得
Mol Microbiol. 1998 Sep;29(5):1275-84. doi: 10.1046/j.1365-2958.1998.01015.x.
7
The 27-kD diphtheria toxin receptor-associated protein (DRAP27) from vero cells is the monkey homologue of human CD9 antigen: expression of DRAP27 elevates the number of diphtheria toxin receptors on toxin-sensitive cells.来自非洲绿猴肾细胞的27-kD白喉毒素受体相关蛋白(DRAP27)是人类CD9抗原的猴同源物:DRAP27的表达增加了毒素敏感细胞上白喉毒素受体的数量。
J Cell Biol. 1992 Sep;118(6):1389-99. doi: 10.1083/jcb.118.6.1389.
8
Identification of diphtheria toxin receptor and a nonproteinous diphtheria toxin-binding molecule in Vero cell membrane.在Vero细胞膜中鉴定白喉毒素受体和一种非蛋白质类白喉毒素结合分子。
J Cell Biol. 1988 Aug;107(2):511-9. doi: 10.1083/jcb.107.2.511.
9
Expression cloning of a diphtheria toxin receptor: identity with a heparin-binding EGF-like growth factor precursor.白喉毒素受体的表达克隆:与肝素结合表皮生长因子样生长因子前体的同一性
Cell. 1992 Jun 12;69(6):1051-61. doi: 10.1016/0092-8674(92)90623-k.
10
Diphtheria toxin receptor. Identification of specific diphtheria toxin-binding proteins on the surface of Vero and BS-C-1 cells.白喉毒素受体。Vero细胞和BS-C-1细胞表面特异性白喉毒素结合蛋白的鉴定。
J Biol Chem. 1987 Sep 25;262(27):13246-53.

引用本文的文献

1
Targeting the Inside of Cells with Biologicals: Toxin Routes in a Therapeutic Context.靶向细胞内的生物制品:治疗环境中的毒素途径。
BioDrugs. 2023 Mar;37(2):181-203. doi: 10.1007/s40259-023-00580-y. Epub 2023 Feb 2.
2
Exploiting the diphtheria toxin internalization receptor enhances delivery of proteins to lysosomes for enzyme replacement therapy.利用白喉毒素内化受体增强蛋白质递送至溶酶体用于酶替代疗法。
Sci Adv. 2020 Dec 11;6(50). doi: 10.1126/sciadv.abb0385. Print 2020 Dec.
3
Human antibodies neutralizing diphtheria toxin in vitro and in vivo.

本文引用的文献

1
Diphtheria toxin entry into cells is facilitated by low pH.低pH值有助于白喉毒素进入细胞。
J Cell Biol. 1980 Dec;87(3 Pt 1):828-32. doi: 10.1083/jcb.87.3.828.
2
Methylamine stimulates the action of ricin toxin but inhibits that of diphtheria toxin.甲胺刺激蓖麻毒素的作用,但抑制白喉毒素的作用。
J Biol Chem. 1981 Feb 10;256(3):1225-8.
3
Kinetics of adenosinediphosphoribosylation of elongation factor 2 in cells exposed to diphtheria toxin.暴露于白喉毒素的细胞中延伸因子2的腺苷二磷酸核糖基化动力学
在体外和体内中和白喉毒素的人源抗体。
Sci Rep. 2020 Jan 17;10(1):571. doi: 10.1038/s41598-019-57103-5.
4
Intracellular trafficking of diphtheria toxin and its mutated form, CRM197, in the endocytic pathway.白喉毒素及其突变形式CRM197在胞吞途径中的细胞内运输。
North Clin Istanb. 2018 Apr 19;5(2):89-95. doi: 10.14744/nci.2017.55798. eCollection 2018.
5
Anthrax edema toxin impairs clearance in mice.炭疽水肿毒素可损害小鼠的清除能力。
Infect Immun. 2012 Feb;80(2):529-38. doi: 10.1128/IAI.05947-11. Epub 2011 Nov 21.
6
Molecular mechanism and physiological functions of clathrin-mediated endocytosis.网格蛋白介导的内吞作用的分子机制和生理功能。
Nat Rev Mol Cell Biol. 2011 Jul 22;12(8):517-33. doi: 10.1038/nrm3151.
7
In vitro intracellular trafficking of virulence antigen during infection by Yersinia pestis.鼠疫耶尔森菌感染期间毒力抗原的体外细胞内运输
PLoS One. 2009 Jul 17;4(7):e6281. doi: 10.1371/journal.pone.0006281.
8
Azurophilic granules of human neutrophils contain CD14.人类中性粒细胞的嗜天青颗粒含有CD14。
Infect Immun. 1997 Nov;65(11):4747-53. doi: 10.1128/iai.65.11.4747-4753.1997.
9
GPI-anchored diphtheria toxin receptor allows membrane translocation of the toxin without detectable ion channel activity.糖基磷脂酰肌醇(GPI)锚定的白喉毒素受体可使毒素发生膜转位,而无可检测到的离子通道活性。
EMBO J. 1996 Feb 15;15(4):725-34.
10
Domain swapping: entangling alliances between proteins.结构域交换:蛋白质之间的纠缠联盟
Proc Natl Acad Sci U S A. 1994 Apr 12;91(8):3127-31. doi: 10.1073/pnas.91.8.3127.
Infect Immun. 1981 May;32(2):575-82. doi: 10.1128/iai.32.2.575-582.1981.
4
Combined use of immunoferritin and immunocolloidal gold for the simultaneous demonstration of two antigens by immuno-electron microscopy.免疫铁蛋白与免疫胶体金联合应用于免疫电子显微镜同时显示两种抗原。
Stain Technol. 1982 Jul;57(4):225-37. doi: 10.3109/10520298209066713.
5
The protective mechanism of action of amines in diphtheria toxin treated Vero cells.胺类物质在白喉毒素处理的非洲绿猴肾细胞中的保护作用机制。
Can J Microbiol. 1982 Jun;28(6):611-7. doi: 10.1139/m82-091.
6
Entry of the toxic proteins abrin, modeccin, ricin, and diphtheria toxin into cells. II. Effect of pH, metabolic inhibitors, and ionophores and evidence for toxin penetration from endocytotic vesicles.毒性蛋白相思子毒素、肥皂草素、蓖麻毒素和白喉毒素进入细胞的研究。II. pH值、代谢抑制剂和离子载体的影响以及毒素从内吞小泡穿透的证据
J Biol Chem. 1982 Jul 10;257(13):7504-13.
7
Penetration of Semliki Forest virus from acidic prelysosomal vacuoles.塞姆利基森林病毒从酸性前溶酶体空泡的穿透。
Cell. 1983 Mar;32(3):931-40. doi: 10.1016/0092-8674(83)90078-8.
8
Essential role of calcium in cellular internalization of Pseudomonas toxin.钙在铜绿假单胞菌毒素细胞内化中的重要作用。
Infect Immun. 1982 Feb;35(2):715-20. doi: 10.1128/iai.35.2.715-720.1982.
9
Receptor-mediated internalization of Pseudomonas toxin by mouse fibroblasts.小鼠成纤维细胞对铜绿假单胞菌毒素的受体介导内吞作用。
Cell. 1980 Oct;21(3):867-73. doi: 10.1016/0092-8674(80)90450-x.
10
Membrane fusion mutants of Semliki Forest virus.塞姆利基森林病毒的膜融合突变体。
J Cell Biol. 1984 Jan;98(1):139-45. doi: 10.1083/jcb.98.1.139.