Suppr超能文献

1例罕见的甲状腺乳头状癌转移至脊柱病例

A Rare Case of Papillary Thyroid Carcinoma Metastasizing to the Spine.

作者信息

Jabareen Rami, Abdellatif Zhalka, Shalabi Ali, Hijazi Nizar

机构信息

Internal Medicine, Emek Medical Center, Afula, ISR.

出版信息

Cureus. 2025 Jun 14;17(6):e85980. doi: 10.7759/cureus.85980. eCollection 2025 Jun.

Abstract

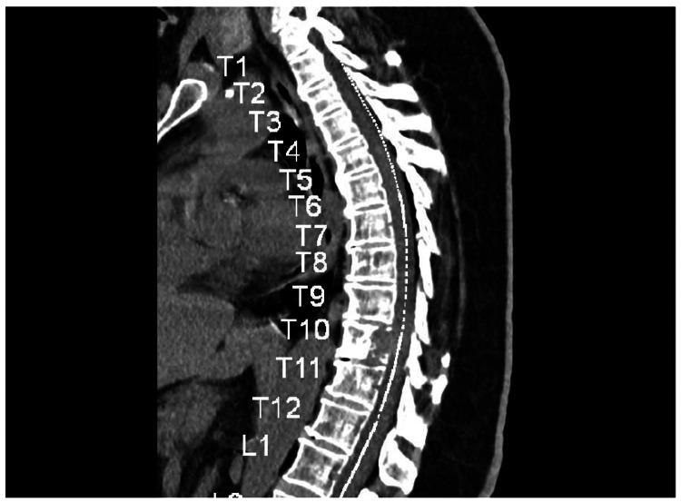
Papillary thyroid carcinoma (PTC) typically presents with an excellent prognosis. Distant metastasis, particularly to the spine, is rare and associated with poorer outcomes. This report highlights the importance of considering metastatic PTC in the differential diagnosis of persistent back pain in patients with thyroid abnormalities. A 61-year-old female presented with progressive lower back pain and an enlarging neck mass. Evaluation revealed a Thyroid Imaging Reporting and Data System, Category 4 (TIRADS-4) thyroid nodule and a lytic lesion in the T10 vertebra. Biopsy confirmed papillary thyroid carcinoma with metastasis to the spine. Spinal metastasis is an uncommon manifestation of PTC. This report underscores the need for vigilance regarding back pain in patients with a history of thyroid disease, as early detection can influence management and prevent complications. Spinal metastasis from PTC is rare but possible, even as a solitary lesion. Clinicians should consider PTC in the differential diagnosis of spinal lesions, particularly in patients with a history of thyroid abnormalities, to facilitate early diagnosis and treatment.

摘要

甲状腺乳头状癌(PTC)通常预后良好。远处转移,尤其是脊柱转移,较为罕见且与较差的预后相关。本报告强调了在甲状腺异常患者持续性背痛的鉴别诊断中考虑转移性PTC的重要性。一名61岁女性出现进行性下背部疼痛和颈部肿块增大。评估显示甲状腺影像报告和数据系统4类(TIRADS-4)甲状腺结节以及T10椎体溶骨性病变。活检证实为甲状腺乳头状癌伴脊柱转移。脊柱转移是PTC的一种不常见表现。本报告强调了对有甲状腺疾病史患者的背痛保持警惕的必要性,因为早期发现可影响治疗并预防并发症。PTC的脊柱转移虽罕见但有可能,即使是孤立性病变。临床医生在脊柱病变的鉴别诊断中应考虑PTC,尤其是有甲状腺异常病史的患者,以便于早期诊断和治疗。

https://cdn.ncbi.nlm.nih.gov/pmc/blobs/b1f0/12257044/13eabaef58c2/cureus-0017-00000085980-i01.jpg

文献AI研究员

20分钟写一篇综述,助力文献阅读效率提升50倍。

立即体验

用中文搜PubMed

大模型驱动的PubMed中文搜索引擎

马上搜索

文档翻译

学术文献翻译模型,支持多种主流文档格式。

立即体验