Suppr超能文献

免疫检查点抑制剂治疗晚期人乳头瘤病毒相关阴茎鳞状细胞癌:一例罕见病例报告

Immune checkpoint inhibitor therapy for advanced HPV-related penile squamous cell carcinoma: a rare case report.

作者信息

Pan Zhen-Kun, Wu Meng-Hua, Shi Hua, Ye Jin-Sheng

机构信息

Department of General Surgery, Beijing Yanqing Hospital of Traditional Chinese Medicine, Beijing, China.

Department of Urology, Beijing Hospital of Traditional Chinese Medicine, Capital Medical University, Beijing, China.

出版信息

Front Oncol. 2025 Jul 3;15:1569124. doi: 10.3389/fonc.2025.1569124. eCollection 2025.

Abstract

BACKGROUND

Human papillomavirus type 16 (HPV-16)-associated penile squamous cell carcinoma (PSCC) poses considerable therapeutic challenges, especially in its advanced stages. Although surgery continues to be the cornerstone of treatment, immunotherapeutic approaches hold a promising alternative for patients unable to endure conventional chemotherapy.

CASE SUMMARY

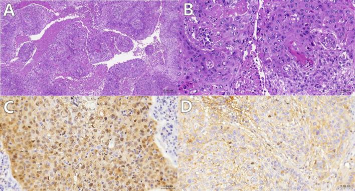
A 69-year-old male presented with progressive ulceration of the foreskin over the course of one year, which ultimately extended to the glans, accompanied by inguinal lymph node metastasis. The patient underwent surgical resection, including bilateral inguinal lymph node dissection. Histopathological examination confirmed a diagnosis of HPV-16-related PSCC with concomitant PD-L1 expression. Given the patient's poor tolerance to chemotherapy, he was treated with four cycles of the PD-1 inhibitor tislelizumab, resulting in a partial response.

CONCLUSION

This case underscores the promising potential of immunotherapy as a viable alternative treatment for advanced PSCC in patients who are unable to tolerate chemotherapy. The synergistic integration of surgical intervention, immunotherapy, and psychological support is essential to achieving the best possible outcomes for patients.

摘要

背景

人乳头瘤病毒16型(HPV - 16)相关的阴茎鳞状细胞癌(PSCC)带来了相当大的治疗挑战,尤其是在晚期。尽管手术仍然是治疗的基石,但免疫治疗方法为无法耐受传统化疗的患者提供了一个有前景的替代方案。

病例摘要

一名69岁男性在一年时间里出现包皮渐进性溃疡,最终蔓延至龟头,并伴有腹股沟淋巴结转移。患者接受了手术切除,包括双侧腹股沟淋巴结清扫。组织病理学检查确诊为HPV - 16相关的PSCC且伴有PD - L1表达。鉴于患者对化疗耐受性差,给予其4个周期的PD - 1抑制剂替雷利珠单抗治疗,结果为部分缓解。

结论

该病例强调了免疫治疗作为无法耐受化疗的晚期PSCC患者可行替代治疗的潜在前景。手术干预、免疫治疗和心理支持的协同整合对于为患者实现最佳治疗效果至关重要。

https://cdn.ncbi.nlm.nih.gov/pmc/blobs/a1e3/12266999/6a246326e2db/fonc-15-1569124-g001.jpg

文献AI研究员

20分钟写一篇综述,助力文献阅读效率提升50倍。

立即体验

用中文搜PubMed

大模型驱动的PubMed中文搜索引擎

马上搜索

文档翻译

学术文献翻译模型,支持多种主流文档格式。

立即体验