• 文献检索
  • 文档翻译
  • 深度研究
  • 学术资讯
  • Suppr Zotero 插件Zotero 插件
  • 邀请有礼
  • 套餐&价格
  • 历史记录
应用&插件
Suppr Zotero 插件Zotero 插件浏览器插件Mac 客户端Windows 客户端微信小程序
定价
高级版会员购买积分包购买API积分包
服务
文献检索文档翻译深度研究API 文档MCP 服务
关于我们
关于 Suppr公司介绍联系我们用户协议隐私条款
关注我们

Suppr 超能文献

核心技术专利:CN118964589B侵权必究
粤ICP备2023148730 号-1Suppr @ 2026

文献检索

告别复杂PubMed语法,用中文像聊天一样搜索,搜遍4000万医学文献。AI智能推荐,让科研检索更轻松。

立即免费搜索

文件翻译

保留排版,准确专业,支持PDF/Word/PPT等文件格式,支持 12+语言互译。

免费翻译文档

深度研究

AI帮你快速写综述,25分钟生成高质量综述,智能提取关键信息,辅助科研写作。

立即免费体验

甘草查尔酮D通过抑制COX2减轻脑出血诱导的神经元铁死亡。

Licochalcone D mitigates intracerebral hemorrhage-induced ferroptosis of neurons through COX2 inhibition.

作者信息

Song JiaLi, Qiao HuiYing, Dong ShunLi, Tang JingMei, Li Bai, Zhou Xi, Lv Shan, Lv Rong

机构信息

Department of Geriatrics, Suzhou Ninth People's Hospital, Suzhou, Jiangsu, China.

Department of Pharmacology, College of Pharmaceutical Sciences, Soochow University, Suzhou, Jiangsu, China.

出版信息

Front Pharmacol. 2025 Jul 8;16:1566724. doi: 10.3389/fphar.2025.1566724. eCollection 2025.

DOI:10.3389/fphar.2025.1566724
PMID:40697659
原文链接:https://pmc.ncbi.nlm.nih.gov/articles/PMC12279749/
Abstract

OBJECTIVE

This study aims to assess LCD's neuroprotective pharmacological effects against SBI post-ICH and identify its ferroptosis-inhibiting targets.

METHODS

Animal models of ICH and cellular models of SBI were established. Subsequently, gradient concentrations of LCD were administered at both the animal and cellular/molecular levels. The extent of ICH injury was evaluated using a range of methods, including CCK8 assay, Flow Cytometry, quantification of CAT and MDA, CI staining, Western blot, and HE staining. The SWISS TARGET prediction tool and molecular docking were utilized to confirm LCD's target pathway and its binding site on COX2. Quantification of ferroptosis-executing proteins, BODIPY ROS staining, quantification of PGE2, MDA, and CAT were observed to assess the pharmacological effects, trends in ferroptosis influence, and to elucidate the underlying pathway mechanism.

RESULTS

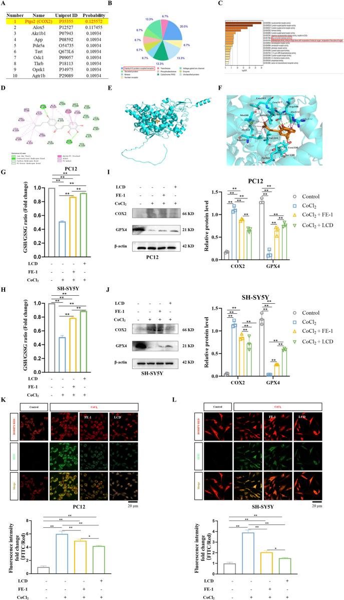
Pretreatment with LCD can improve the state of SBI before the induction of an ICH model. Compound target prediction analysis revealed 102 differentially expressed genes ( < 0.05) associated with the drug target of LCD, with COX2 exhibiting the most significant expression. Furthermore, we found that LCD intervention suppressed COX2 expression, and pretreatment with COX2 overexpression in the ICH model group negated the pharmacological effects, of LCD on neuronal cell ferroptosis and SBI. It is proposed that by targeting COX2 through early LCD administration in ICH, ferroptosis in nerve cells can be reduced and SBI outcomes can be improved. To further elucidate the mechanism of targeting COX2, we found that PGE2, a downstream metabolite of COX2, is also regulated by LCD. By screening its impacts on the EP receptor family (EP1, EP2, EP3, EP4), it was found that COX2 is specifically targeted and suppressed by LCD pretreatment prior to ICH modeling, which further inhibits the PGE2/EP1 pathway, thereby reducing ferroptosis-specific lipid peroxidation.

CONCLUSION

LCD pretreatment reduces ferroptosis in neurons and alleviates SBI after ICH by blocking the COX2/PGE2/EP1 pathway. Early LCD use may improve SBI, highlighting its potential as a pharmacological option for ICH outcomes.

摘要

目的

本研究旨在评估连钱草对脑出血后继发性脑损伤的神经保护药理作用,并确定其抑制铁死亡的靶点。

方法

建立脑出血动物模型和继发性脑损伤细胞模型。随后,在动物及细胞/分子水平给予不同梯度浓度的连钱草。采用多种方法评估脑出血损伤程度,包括CCK8法、流式细胞术、CAT和MDA定量、CI染色、蛋白质印迹法及苏木精-伊红染色。利用SWISS TARGET预测工具和分子对接技术确定连钱草的作用靶点途径及其在COX2上的结合位点。通过观察铁死亡执行蛋白的定量、BODIPY活性氧染色、PGE2、MDA和CAT的定量,评估其药理作用、铁死亡影响趋势,并阐明潜在的途径机制。

结果

连钱草预处理可改善脑出血模型诱导前的继发性脑损伤状态。复合靶点预测分析显示,与连钱草药物靶点相关的差异表达基因有102个(<0.05),其中COX2表达最为显著。此外,我们发现连钱草干预可抑制COX2表达,在脑出血模型组中过表达COX2进行预处理可消除连钱草对神经元细胞铁死亡和继发性脑损伤的药理作用。研究表明,在脑出血中通过早期给予连钱草靶向COX2,可减少神经细胞铁死亡并改善继发性脑损伤结局。为进一步阐明靶向COX2的机制,我们发现COX2的下游代谢产物PGE2也受连钱草调节。通过筛选其对EP受体家族(EP1、EP2、EP3、EP4)的影响,发现连钱草预处理在脑出血建模前可特异性靶向并抑制COX2,进而抑制PGE2/EP1途径,从而减少铁死亡特异性脂质过氧化。

结论

连钱草预处理通过阻断COX2/PGE2/EP1途径减少神经元铁死亡并减轻脑出血后的继发性脑损伤。早期使用连钱草可能改善继发性脑损伤,突出了其作为改善脑出血结局的药理选择的潜力。

https://cdn.ncbi.nlm.nih.gov/pmc/blobs/eb31/12279749/acede1948fc4/fphar-16-1566724-g007.jpg
https://cdn.ncbi.nlm.nih.gov/pmc/blobs/eb31/12279749/6fa1a1f77e72/fphar-16-1566724-g001.jpg
https://cdn.ncbi.nlm.nih.gov/pmc/blobs/eb31/12279749/d685e96355d5/fphar-16-1566724-g002.jpg
https://cdn.ncbi.nlm.nih.gov/pmc/blobs/eb31/12279749/8349e4aabb17/fphar-16-1566724-g003.jpg
https://cdn.ncbi.nlm.nih.gov/pmc/blobs/eb31/12279749/343c395a2073/fphar-16-1566724-g004.jpg
https://cdn.ncbi.nlm.nih.gov/pmc/blobs/eb31/12279749/7cbc47d3d514/fphar-16-1566724-g005.jpg
https://cdn.ncbi.nlm.nih.gov/pmc/blobs/eb31/12279749/59f4cad57dd6/fphar-16-1566724-g006.jpg
https://cdn.ncbi.nlm.nih.gov/pmc/blobs/eb31/12279749/acede1948fc4/fphar-16-1566724-g007.jpg
https://cdn.ncbi.nlm.nih.gov/pmc/blobs/eb31/12279749/6fa1a1f77e72/fphar-16-1566724-g001.jpg
https://cdn.ncbi.nlm.nih.gov/pmc/blobs/eb31/12279749/d685e96355d5/fphar-16-1566724-g002.jpg
https://cdn.ncbi.nlm.nih.gov/pmc/blobs/eb31/12279749/8349e4aabb17/fphar-16-1566724-g003.jpg
https://cdn.ncbi.nlm.nih.gov/pmc/blobs/eb31/12279749/343c395a2073/fphar-16-1566724-g004.jpg
https://cdn.ncbi.nlm.nih.gov/pmc/blobs/eb31/12279749/7cbc47d3d514/fphar-16-1566724-g005.jpg
https://cdn.ncbi.nlm.nih.gov/pmc/blobs/eb31/12279749/59f4cad57dd6/fphar-16-1566724-g006.jpg
https://cdn.ncbi.nlm.nih.gov/pmc/blobs/eb31/12279749/acede1948fc4/fphar-16-1566724-g007.jpg

相似文献

1
Licochalcone D mitigates intracerebral hemorrhage-induced ferroptosis of neurons through COX2 inhibition.甘草查尔酮D通过抑制COX2减轻脑出血诱导的神经元铁死亡。
Front Pharmacol. 2025 Jul 8;16:1566724. doi: 10.3389/fphar.2025.1566724. eCollection 2025.
2
miR-210 Regulates Autophagy Through the AMPK/mTOR Signaling Pathway, Reduces Neuronal Cell Death and Inflammatory Responses, and Enhances Functional Recovery Following Cerebral Hemorrhage in Mice.微小RNA-210通过AMPK/雷帕霉素靶蛋白信号通路调节自噬,减少神经元细胞死亡和炎症反应,并增强小鼠脑出血后的功能恢复。
Neurochem Res. 2025 Jun 5;50(3):180. doi: 10.1007/s11064-025-04434-7.
3
M1 Macrophage-Derived TNF-α Promotes Pancreatic Cancer Ferroptosis Via p38 MAPK-ACSL4 Pathway.M1型巨噬细胞衍生的肿瘤坏死因子-α通过p38丝裂原活化蛋白激酶-长链脂酰辅酶A合成酶4途径促进胰腺癌铁死亡。
Curr Mol Med. 2025 Jul 10. doi: 10.2174/0115665240374551250630075409.
4
Signs and symptoms to determine if a patient presenting in primary care or hospital outpatient settings has COVID-19.在基层医疗机构或医院门诊环境中,如果患者出现以下症状和体征,可判断其是否患有 COVID-19。
Cochrane Database Syst Rev. 2022 May 20;5(5):CD013665. doi: 10.1002/14651858.CD013665.pub3.
5
Interventions to improve antibiotic prescribing practices for hospital inpatients.改善医院住院患者抗生素处方行为的干预措施。
Cochrane Database Syst Rev. 2017 Feb 9;2(2):CD003543. doi: 10.1002/14651858.CD003543.pub4.
6
Use of endoanal ultrasound for reducing the risk of complications related to anal sphincter injury after vaginal birth.使用经肛门超声降低阴道分娩后肛门括约肌损伤相关并发症的风险。
Cochrane Database Syst Rev. 2015 Oct 29;2015(10):CD010826. doi: 10.1002/14651858.CD010826.pub2.
7
Aldo-keto Reductase 1B10 (AKR1B10) Suppresses Sensitivity of Ferroptosis in TNBC by Activating the AKT/GSK3β/Nrf2/GPX4 Axis.醛酮还原酶1B10(AKR1B10)通过激活AKT/GSK3β/Nrf2/GPX4轴抑制三阴性乳腺癌中铁死亡的敏感性。
Front Biosci (Landmark Ed). 2025 Jun 27;30(6):36615. doi: 10.31083/FBL36615.
8
Systemic treatments for metastatic cutaneous melanoma.转移性皮肤黑色素瘤的全身治疗
Cochrane Database Syst Rev. 2018 Feb 6;2(2):CD011123. doi: 10.1002/14651858.CD011123.pub2.
9
Behavioral interventions to reduce risk for sexual transmission of HIV among men who have sex with men.降低男男性行为者中艾滋病毒性传播风险的行为干预措施。
Cochrane Database Syst Rev. 2008 Jul 16(3):CD001230. doi: 10.1002/14651858.CD001230.pub2.
10
Buzhong yiqi decoction improves cisplatin resistance in non-small cell lung cancer by inhibiting PCBP1 to activate the ferritinophagy-mediated ferroptosis pathway.补中益气汤通过抑制PCBP1激活铁蛋白自噬介导的铁死亡途径来提高非小细胞肺癌对顺铂的耐药性。
J Ethnopharmacol. 2025 Jul 20;353(Pt A):120317. doi: 10.1016/j.jep.2025.120317.

本文引用的文献

1
Tumor-derived cyclooxygenase-2 fuels hypothalamic inflammation.肿瘤来源的环氧化酶-2引发下丘脑炎症。
Brain Behav Immun. 2025 Jan;123:886-902. doi: 10.1016/j.bbi.2024.11.002. Epub 2024 Nov 4.
2
Targeting STING oligomerization with licochalcone D ameliorates STING-driven inflammatory diseases.用甘草查耳酮D靶向刺激因子(STING)寡聚化可改善STING驱动的炎症性疾病。
Sci China Life Sci. 2024 Dec;67(12):2664-2677. doi: 10.1007/s11427-024-2703-6. Epub 2024 Aug 22.
3
Licochalcone D exhibits cytotoxicity in breast cancer cells and enhances tumor necrosis factor-related apoptosis-inducing ligand-induced apoptosis through upregulation of death receptor 5.
甘草查尔酮D在乳腺癌细胞中表现出细胞毒性,并通过上调死亡受体5增强肿瘤坏死因子相关凋亡诱导配体诱导的凋亡。
J Biochem Mol Toxicol. 2024 Jul;38(7):e23757. doi: 10.1002/jbt.23757.
4
Neutrophil-like pH-responsive pro-efferocytic nanoparticles improve neurological recovery by promoting erythrophagocytosis after intracerebral hemorrhage.中性粒细胞样 pH 响应性促噬细胞纳米颗粒通过促进脑出血后红细胞吞噬作用改善神经功能恢复。
Theranostics. 2024 Jan 1;14(1):283-303. doi: 10.7150/thno.90370. eCollection 2024.
5
The inducible prostaglandin E synthase (mPGES-1) in neuroinflammatory disorders.诱导型前列腺素 E 合酶(mPGES-1)在神经炎症性疾病中的作用。
Exp Biol Med (Maywood). 2023 May;248(9):811-819. doi: 10.1177/15353702231179926. Epub 2023 Jul 29.
6
Neuroprotective Effects of Licochalcone D in Oxidative-Stress-Induced Primitive Neural Stem Cells from Parkinson's Disease Patient-Derived iPSCs.甘草查尔酮D对帕金森病患者诱导多能干细胞来源的原始神经干细胞氧化应激的神经保护作用
Biomedicines. 2023 Jan 16;11(1):228. doi: 10.3390/biomedicines11010228.
7
Unique brain endothelial profiles activated by social stress promote cell adhesion, prostaglandin E2 signaling, hypothalamic-pituitary-adrenal axis modulation, and anxiety.社交应激激活的独特脑内皮细胞表型可促进细胞黏附、前列腺素 E2 信号转导、下丘脑-垂体-肾上腺轴调节以及焦虑。
Neuropsychopharmacology. 2022 Dec;47(13):2271-2282. doi: 10.1038/s41386-022-01434-x. Epub 2022 Sep 14.
8
Phospholipid peroxidation inhibits autophagy via stimulating the delipidation of oxidized LC3-PE.磷脂过氧化通过刺激氧化型LC3-PE的去脂作用抑制自噬。
Redox Biol. 2022 Sep;55:102421. doi: 10.1016/j.redox.2022.102421. Epub 2022 Aug 5.
9
Intermittent fasting reduces neuroinflammation in intracerebral hemorrhage through the Sirt3/Nrf2/HO-1 pathway.间歇性禁食通过 Sirt3/Nrf2/HO-1 通路减少脑出血中的神经炎症。
J Neuroinflammation. 2022 May 27;19(1):122. doi: 10.1186/s12974-022-02474-2.
10
Irisin ameliorates neuroinflammation and neuronal apoptosis through integrin αVβ5/AMPK signaling pathway after intracerebral hemorrhage in mice.鸢尾素通过整合素 αVβ5/AMPK 信号通路减轻脑出血后小鼠的神经炎症和神经元凋亡。
J Neuroinflammation. 2022 Apr 7;19(1):82. doi: 10.1186/s12974-022-02438-6.