De Dipankar, Mustari Akash P, Chatterjee Debajyoti, Mahajan Rahul, Kumar Vinod, Handa Sanjeev
Department of Dermatology, Venereology and Leprology, Postgraduate Institute of Medical Education and Research, Chandigarh, India.
Department of Histopathology, Postgraduate Institute of Medical Education and Research, Chandigarh, India.
Indian Dermatol Online J. 2025 Sep 1;16(5):751-754. doi: 10.4103/idoj.idoj_763_24. Epub 2025 May 26.
Lichen planus pemphigoides (LPP) is a rare autoimmune subepidermal blistering disease presenting with lichenoid papules and plaques and tense blisters. There is a paucity of literature on LPP globally.
To report the clinico-demographic profile, histopathology, immunological features, and associated comorbidities in LPP patients.
This was a retrospective study, where past records of all LPP patients diagnosed and treated between November 2013 and October 2022 were included. Patients having a compatible clinical presentation with histopathological and immunological (direct immunofluorescence) evidence of LPP were included.
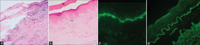
There were 12 LPP patients, with a female-to-male ratio of 2:1. The mean age at diagnosis was 49.6 years and the mean duration of illness before presentation was 3.1 years. Clinical presentation included tense blisters and lichenoid lesions. Oral mucosal involvement was seen in six (50%) patients. Comorbidities were present in three patients. Histopathology showed a subepidermal split in 10 (83.3%), basal cell damage and pigment incontinence in four (33.3%), hypergranulosis and apoptotic keratinocytes in two (16.7%), and lichenoid infiltrate in papillary dermis in one (8.3%) patient. Perilesional direct immunofluorescence (DIF) revealed linear deposits of immunoglobulin G (IgG) and complement component 3 (C3) at the dermo-epidermal junction. The salt-split indirect immunofluorescence done in three patients showed roof binding. Enzyme-linked immunosorbent assay (ELISA) done in three patients showed antibodies against BP180. The majority of patients (83.3%) were treated with oral prednisolone, either alone (16.7%) or in combination (83.3%) with adjuvants.
Retrospective design and small sample size are the limitations.
LPP is a rare subepidermal blistering disorder seen more commonly in adult females. DIF, ELISA, and salt-split indirect immunofluorescence are helpful tools in confirming the diagnosis of LPP and differentiating from bullous lichen planus. Oral corticosteroids comprised the mainstay of therapy. Azathioprine or dapsone were commonly used adjuvants.
类天疱疮样扁平苔藓(LPP)是一种罕见的自身免疫性表皮下大疱性疾病,表现为苔藓样丘疹、斑块和紧张性水疱。全球范围内关于LPP的文献较少。
报告LPP患者的临床人口统计学特征、组织病理学、免疫学特征及相关合并症。
这是一项回顾性研究,纳入了2013年11月至2022年10月期间所有诊断和治疗的LPP患者的既往记录。纳入具有符合LPP组织病理学和免疫学(直接免疫荧光)证据的临床表现的患者。
有12例LPP患者,女性与男性比例为2:1。诊断时的平均年龄为49.6岁,就诊前的平均病程为3.1年。临床表现包括紧张性水疱和苔藓样病变。6例(50%)患者出现口腔黏膜受累。3例患者存在合并症。组织病理学显示,10例(83.3%)有表皮下裂隙,4例(33.3%)有基底细胞损伤和色素失禁,2例(16.7%)有颗粒层增厚和凋亡角质形成细胞,1例(8.3%)患者真皮乳头层有苔藓样浸润。损害周围直接免疫荧光(DIF)显示免疫球蛋白G(IgG)和补体成分3(C3)在真皮表皮交界处呈线性沉积。3例患者进行的盐裂间接免疫荧光显示顶部结合。3例患者进行的酶联免疫吸附测定(ELISA)显示抗BP180抗体。大多数患者(83.3%)接受口服泼尼松龙治疗,单独使用(16.7%)或与辅助药物联合使用(83.3%)。
回顾性设计和样本量小是局限性。
LPP是一种罕见的表皮下大疱性疾病,在成年女性中更常见。DIF、ELISA和盐裂间接免疫荧光是确诊LPP并与大疱性扁平苔藓相鉴别的有用工具。口服糖皮质激素是主要治疗方法。硫唑嘌呤或氨苯砜是常用的辅助药物。