Machałowski Tomasz, Gutowski Piotr, Zagrodnik Edyta, Godlewska Aleksandra, Śmieja Katarzyna, Kawałek Oliwia, Grzymała-Figura Anna, Ciećwież Sylwester Michał, Gross-Kępińska Katarzyna, Szczuko Małgorzata, Ziętek Maciej
Department of Perinatology, Obstetrics and Gynecology, Pomeranian Medical University, 70-204 Szczecin, Poland.
Department of Vascular Surgery and Angiology, Pomeranian Medical University, 70-204 Szczecin, Poland.
Diseases. 2025 Jul 14;13(7):220. doi: 10.3390/diseases13070220.
Liposarcoma (LPS) is a rare malignant tumor, but it is also one of the most common adult soft-tissue sarcomas. Myxoid liposarcoma (MLPS) accounts for 30% of all LPS cases. Diagnosis during pregnancy and the puerperium is very rarely reported, and only a few cases have been reported in the thigh.
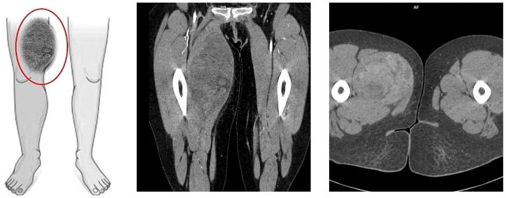
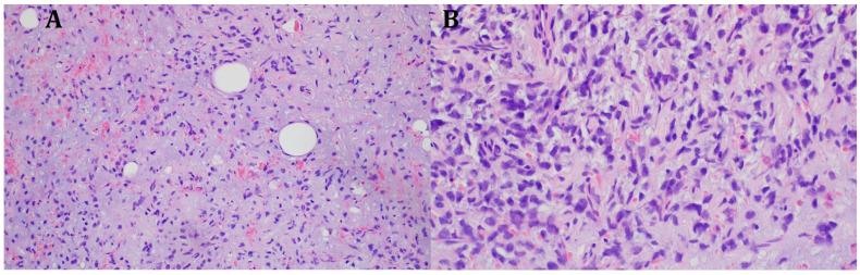
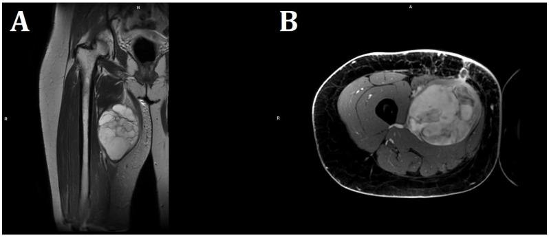
We report the case of a 36-year-old female patient on the 11th day of the puerperium after a cesarean section. The patient presented to the gynecology ward owing to the sudden appearance of a tumor in the medial part of her right thigh. The lesion was non-painful, mobile, soft, approximately 20 cm in diameter, and protruded above the level of the rest of the thigh surface. A suspicion of hematoma was raised. The final diagnosis was high-grade MLPS.
An MLPS diagnosis is uncommon in female patients and even rarer during pregnancy. This case represents a novel occurrence, as the first instance in which symptoms manifested during the puerperium. Proper treatment and early detection could improve disease outcomes.
脂肪肉瘤(LPS)是一种罕见的恶性肿瘤,但也是最常见的成人软组织肉瘤之一。黏液样脂肪肉瘤(MLPS)占所有LPS病例的30%。妊娠和产褥期的诊断报道非常罕见,仅有少数病例报道发生于大腿。
我们报告一例36岁女性患者,剖宫产术后第11天产褥期发病。患者因右大腿内侧突然出现肿物入住妇科病房。病变无疼痛,可活动,质地柔软,直径约20cm,高出大腿其余表面。起初怀疑为血肿。最终诊断为高级别MLPS。
MLPS在女性患者中并不常见,在妊娠期更为罕见。该病例为首次报道产褥期出现症状的MLPS,属新发病例。恰当的治疗和早期诊断可改善疾病预后。