Suppr超能文献

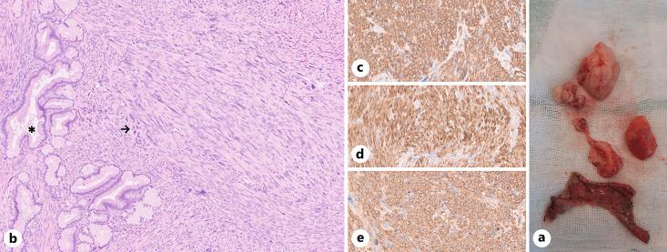
Endoscopic Submucosal Dissection in a Patient with Gastric Leiomyosarcoma: An Alternative to Surgery.

作者信息

Correia Gomes Luís, Mendes Raquel R, Pereira Daniela, Mascarenhas André, Barreiro Pedro, Rosa Isadora

机构信息

Department of Gastroenterology, Instituto Português de Oncologia de Lisboa Francisco Gentil, Lisbon, Portugal.

Department of Gastroenterology, Unidade Local de Saúde Lisboa Ocidental, Lisbon, Portugal.

出版信息

GE Port J Gastroenterol. 2024 Nov 22;32(4):300-302. doi: 10.1159/000542778. eCollection 2025 Jul.

Abstract
摘要
https://cdn.ncbi.nlm.nih.gov/pmc/blobs/c6a2/12296224/c06ac0aeb865/pjg-2025-0032-0004-542778_F01.jpg

文献AI研究员

20分钟写一篇综述,助力文献阅读效率提升50倍。

立即体验

用中文搜PubMed

大模型驱动的PubMed中文搜索引擎

马上搜索

文档翻译

学术文献翻译模型,支持多种主流文档格式。

立即体验