Suppr超能文献

多模态成像技术诊断先天性左肾动静脉瘘:一例报告

Multimodal imaging techniques for the diagnosis of congenital left renal arteriovenous fistula: A case report.

作者信息

Lv Shui-Ping, Qin Li-Li, Mou Huan, Huang Teng, Wang Kai-Quan

机构信息

Department of Ultrasound Imaging II, The Central Hospital of Enshi Tujia and Miao Autonomous Prefecture, Enshi 445000, Hubei Province, China.

出版信息

World J Clin Cases. 2025 Jul 26;13(21):104062. doi: 10.12998/wjcc.v13.i21.104062.

Abstract

BACKGROUND

Congenital renal arteriovenous fistula (RAVF) is a clinically rare condition and frequently missed and misdiagnosed. Multimodal imaging techniques can provide more detailed diagnostic information to help physicians more accurately diagnose and treat diseases. Combining imaging methods to diagnose RAVF has rarely been reported.

CASE SUMMARY

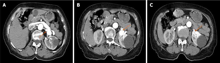
A 69-year-old female patient presented with gross hematuria that had persisted for 10 days. The patient underwent ultrasound examinations of the kidneys and renal blood vessels, enhanced computed tomography, three-dimensional computed tomography angiography, and digital subtraction angiography of the renal arteries. These revealed dilatation of the left renal vein and abnormal shunting between the left renal artery and vein. The patient was diagnosed with a left RAVF using combined multimodal imaging techniques. The patient was treated with left renal artery embolization immediately after renal arteriography. Hematuria resolved following the left renal artery embolization without serious bleeding or other complications. The patient made a full recovery after one year of postoperative follow-up.

CONCLUSION

Multimodal imaging techniques complement each other when diagnosing RAVF, providing detailed diagnostic information that can aid in accurate diagnosis and treatment. In addition, this case reminds the sonographer to pay more attention to the color doppler flow imaging and blood flow spectrum when examining the kidney, so as to avoid misdiagnosis of renal cystic lesions as renal cysts and missed diagnosis of RAVF.

摘要

背景

先天性肾动静脉瘘(RAVF)是一种临床罕见的疾病,常被漏诊和误诊。多模态成像技术可以提供更详细的诊断信息,帮助医生更准确地诊断和治疗疾病。联合成像方法诊断RAVF的报道很少。

病例摘要

一名69岁女性患者出现肉眼血尿,持续10天。患者接受了肾脏及肾血管超声检查、增强计算机断层扫描、三维计算机断层扫描血管造影和肾动脉数字减影血管造影。这些检查显示左肾静脉扩张,左肾动脉和静脉之间存在异常分流。采用联合多模态成像技术诊断该患者为左RAVF。患者在肾动脉造影后立即接受了左肾动脉栓塞治疗。左肾动脉栓塞后血尿消失,无严重出血或其他并发症。术后随访1年,患者完全康复。

结论

多模态成像技术在诊断RAVF时相互补充,提供详细的诊断信息,有助于准确诊断和治疗。此外,该病例提醒超声检查人员在检查肾脏时要更加注意彩色多普勒血流成像和血流频谱,以避免将肾囊性病变误诊为肾囊肿,漏诊RAVF。

https://cdn.ncbi.nlm.nih.gov/pmc/blobs/57e1/12068171/c53879718b3c/104062-g001.jpg

文献AI研究员

20分钟写一篇综述,助力文献阅读效率提升50倍。

立即体验

用中文搜PubMed

大模型驱动的PubMed中文搜索引擎

马上搜索

文档翻译

学术文献翻译模型,支持多种主流文档格式。

立即体验