• 文献检索
  • 文档翻译
  • 深度研究
  • 学术资讯
  • Suppr Zotero 插件Zotero 插件
  • 邀请有礼
  • 套餐&价格
  • 历史记录
应用&插件
Suppr Zotero 插件Zotero 插件浏览器插件Mac 客户端Windows 客户端微信小程序
定价
高级版会员购买积分包购买API积分包
服务
文献检索文档翻译深度研究API 文档MCP 服务
关于我们
关于 Suppr公司介绍联系我们用户协议隐私条款
关注我们

Suppr 超能文献

核心技术专利:CN118964589B侵权必究
粤ICP备2023148730 号-1Suppr @ 2026

文献检索

告别复杂PubMed语法,用中文像聊天一样搜索,搜遍4000万医学文献。AI智能推荐,让科研检索更轻松。

立即免费搜索

文件翻译

保留排版,准确专业,支持PDF/Word/PPT等文件格式,支持 12+语言互译。

免费翻译文档

深度研究

AI帮你快速写综述,25分钟生成高质量综述,智能提取关键信息,辅助科研写作。

立即免费体验

PCP4通过Ca/CAMKK2/AMPK/AR途径抑制前列腺癌的进展。

PCP4 inhibits the progression of prostate cancer through Ca/CAMKK2/AMPK/AR pathway.

作者信息

Jia Wenqiao, Yu Zeyuan, Sun Feifei, Liu Ping, Han Bo

机构信息

Department of Health Management Center, Qilu Hospital of Shandong University, Jinan, China.

The Key Laboratory of Experimental Teratology, Ministry of Education and Department of Pathology, School of Basic Medical Sciences, Cheeloo College of Medicine, Shandong University, Jinan, China.

出版信息

Front Immunol. 2025 Jul 17;16:1616046. doi: 10.3389/fimmu.2025.1616046. eCollection 2025.

DOI:10.3389/fimmu.2025.1616046
PMID:40746562
原文链接:https://pmc.ncbi.nlm.nih.gov/articles/PMC12311239/
Abstract

BACKGROUND

The development of prostate cancer (PCa) remains a major health threat for men worldwide. Calcium/Calmodulin signaling pathway has been implicated to the initiation and progression of diverse human cancers. Loss or downregulation of Purkinje cell protein 4 (PCP4), is frequently observed in some prostate cancer patients, particularly those with castration-resistant prostate cancer (CRPC).

METHODS

Public datasets were used to analyze PCP4 expression and the relationship between PCP4 expression and clinicopathological characteristics of PCa patients. Gain- and loss-of-function studies in PCa cell lines and mouse models were performed to characterize the role of PCP4 in tumor progression. A series of molecular and biochemical experiments were carried out in PCa cell lines to investigate the mechanism underlying PCP4-mediated tumor suppression.

RESULTS

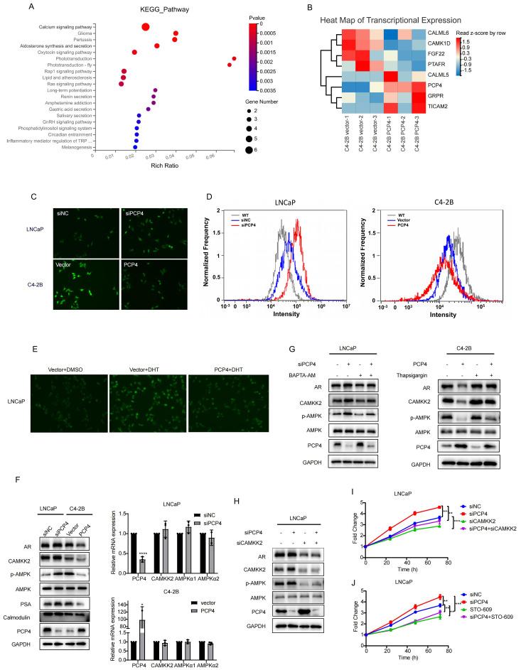
(1) gene loss occurs at high frequency in PCa patients, and decreased expression of PCP4 correlates with poor prognosis of PCa, particularly CRPC development; (2) fusion frequently co-occurs with 4 deletion; (3) PCP4 suppresses prostate cancer progression and ; (4) PCP4 is an androgen receptor (AR) suppressed gene; (5) PCP4 was involved in the stabilization of CAMKK2 protein; (6) PCP4 inhibits PCa progression by regulating Ca/CAMKK2/AMPK/AR signaling axis.

CONCLUSION

Our findings elucidate the molecular mechanism that PCP4 downregulation promotes PCa progression via Ca/CAMKK2/AMPK/AR pathway, highlighting its significance in CRPC development.

摘要

背景

前列腺癌(PCa)的发展仍然是全球男性面临的主要健康威胁。钙/钙调蛋白信号通路与多种人类癌症的发生和发展有关。在一些前列腺癌患者中,尤其是去势抵抗性前列腺癌(CRPC)患者中,经常观察到浦肯野细胞蛋白4(PCP4)的缺失或下调。

方法

使用公共数据集分析PCP4的表达以及PCP4表达与PCa患者临床病理特征之间的关系。在PCa细胞系和小鼠模型中进行功能获得和功能丧失研究,以表征PCP4在肿瘤进展中的作用。在PCa细胞系中进行了一系列分子和生化实验,以研究PCP4介导的肿瘤抑制的潜在机制。

结果

(1)PCa患者中基因缺失的发生率很高,PCP4表达降低与PCa的不良预后相关,尤其是CRPC的发展;(2)融合经常与4号缺失同时发生;(3)PCP4抑制前列腺癌进展;(4)PCP4是雄激素受体(AR)抑制的基因;(5)PCP4参与了CAMKK2蛋白的稳定;(6)PCP4通过调节Ca/CAMKK2/AMPK/AR信号轴抑制PCa进展。

结论

我们的研究结果阐明了PCP4下调通过Ca/CAMKK2/AMPK/AR途径促进PCa进展的分子机制,突出了其在CRPC发展中的重要性。

https://cdn.ncbi.nlm.nih.gov/pmc/blobs/2320/12311239/bf571f59424d/fimmu-16-1616046-g007.jpg
https://cdn.ncbi.nlm.nih.gov/pmc/blobs/2320/12311239/b84530c4dcda/fimmu-16-1616046-g001.jpg
https://cdn.ncbi.nlm.nih.gov/pmc/blobs/2320/12311239/4f7747f06eb8/fimmu-16-1616046-g002.jpg
https://cdn.ncbi.nlm.nih.gov/pmc/blobs/2320/12311239/3c77c6e02efe/fimmu-16-1616046-g003.jpg
https://cdn.ncbi.nlm.nih.gov/pmc/blobs/2320/12311239/f2af41d23372/fimmu-16-1616046-g004.jpg
https://cdn.ncbi.nlm.nih.gov/pmc/blobs/2320/12311239/9613c06e641b/fimmu-16-1616046-g005.jpg
https://cdn.ncbi.nlm.nih.gov/pmc/blobs/2320/12311239/faf26fe43e09/fimmu-16-1616046-g006.jpg
https://cdn.ncbi.nlm.nih.gov/pmc/blobs/2320/12311239/bf571f59424d/fimmu-16-1616046-g007.jpg
https://cdn.ncbi.nlm.nih.gov/pmc/blobs/2320/12311239/b84530c4dcda/fimmu-16-1616046-g001.jpg
https://cdn.ncbi.nlm.nih.gov/pmc/blobs/2320/12311239/4f7747f06eb8/fimmu-16-1616046-g002.jpg
https://cdn.ncbi.nlm.nih.gov/pmc/blobs/2320/12311239/3c77c6e02efe/fimmu-16-1616046-g003.jpg
https://cdn.ncbi.nlm.nih.gov/pmc/blobs/2320/12311239/f2af41d23372/fimmu-16-1616046-g004.jpg
https://cdn.ncbi.nlm.nih.gov/pmc/blobs/2320/12311239/9613c06e641b/fimmu-16-1616046-g005.jpg
https://cdn.ncbi.nlm.nih.gov/pmc/blobs/2320/12311239/faf26fe43e09/fimmu-16-1616046-g006.jpg
https://cdn.ncbi.nlm.nih.gov/pmc/blobs/2320/12311239/bf571f59424d/fimmu-16-1616046-g007.jpg

相似文献

1
PCP4 inhibits the progression of prostate cancer through Ca/CAMKK2/AMPK/AR pathway.PCP4通过Ca/CAMKK2/AMPK/AR途径抑制前列腺癌的进展。
Front Immunol. 2025 Jul 17;16:1616046. doi: 10.3389/fimmu.2025.1616046. eCollection 2025.
2
Cholesterol metabolism regulated by CAMKK2-CREB signaling promotes castration-resistant prostate cancer.由CAMKK2-CREB信号传导调节的胆固醇代谢促进去势抵抗性前列腺癌。
Cell Rep. 2025 Jun 24;44(6):115792. doi: 10.1016/j.celrep.2025.115792. Epub 2025 Jun 7.
3
Reciprocal regulation between RACGAP1 and AR contributes to endocrine therapy resistance in prostate cancer.RACGAP1 和 AR 之间的相互调节导致前列腺癌内分泌治疗耐药。
Cell Commun Signal. 2024 Jun 19;22(1):339. doi: 10.1186/s12964-024-01703-w.
4
Alteration in expression and subcellular localization of the androgen receptor- regulated FAM111A protease is associated with emergence of castration resistant prostate cancer.雄激素受体调节的FAM111A蛋白酶的表达及亚细胞定位改变与去势抵抗性前列腺癌的发生相关。
Neoplasia. 2025 Aug;66:101181. doi: 10.1016/j.neo.2025.101181. Epub 2025 May 29.
5
EAU guidelines on prostate cancer. Part II: Treatment of advanced, relapsing, and castration-resistant prostate cancer.EAU 前列腺癌指南。第二部分:晚期、复发性和去势抵抗性前列腺癌的治疗。
Eur Urol. 2014 Feb;65(2):467-79. doi: 10.1016/j.eururo.2013.11.002. Epub 2013 Nov 12.
6
CaMKK2 is not involved in contraction-stimulated AMPK activation and glucose uptake in skeletal muscle.钙调蛋白依赖性蛋白激酶激酶 2(CaMKK2)不参与收缩刺激的骨骼肌 AMPK 激活和葡萄糖摄取。
Mol Metab. 2023 Sep;75:101761. doi: 10.1016/j.molmet.2023.101761. Epub 2023 Jun 26.
7
SHCBP1 promotes tumor cell proliferation, migration, and invasion, and is associated with poor prostate cancer prognosis.SHCBP1 促进肿瘤细胞增殖、迁移和侵袭,并与前列腺癌不良预后相关。
J Cancer Res Clin Oncol. 2020 Aug;146(8):1953-1969. doi: 10.1007/s00432-020-03247-1. Epub 2020 May 23.
8
Castration-resistant prostate cancer is resensitized to androgen deprivation by autophagy-dependent apoptosis induced by blocking SKP2.去势抵抗性前列腺癌通过阻断SKP2诱导的自噬依赖性凋亡而重新对雄激素剥夺敏感。
Sci Signal. 2024 Dec 17;17(867):eadk4122. doi: 10.1126/scisignal.adk4122.
9
Phenotypic Plasticity and Androgen Receptor Bypass Drive Cross-Resistance to Apalutamide in Castration-Resistant Prostate Cancer Cell Models.表型可塑性和雄激素受体旁路驱动去势抵抗性前列腺癌细胞模型对阿帕鲁胺的交叉耐药
Int J Mol Sci. 2025 Jun 20;26(13):5939. doi: 10.3390/ijms26135939.
10
MODULATION OF PD-L1 EXPRESSION IN PROSTATE CANCER CELLS THROUGH ANDROGEN RECEPTOR INHIBITION DIFFERS DEPENDING ON RECEPTOR STATUS.通过抑制雄激素受体对前列腺癌细胞中PD-L1表达的调节因受体状态而异。
Exp Oncol. 2025 Jul 11;47(1):60-67. doi: 10.15407/exp-oncology.2025.01.060.

本文引用的文献

1
Loss of feedback regulation between FAM3B and androgen receptor driving prostate cancer progression.FAM3B 与雄激素受体之间反馈调节的丧失驱动前列腺癌的进展。
J Natl Cancer Inst. 2024 Mar 7;116(3):421-433. doi: 10.1093/jnci/djad215.
2
Emerging proteins involved in castration‑resistant prostate cancer via the AR‑dependent and AR‑independent pathways (Review).通过雄激素受体(AR)依赖性和 AR 非依赖性途径参与去势抵抗性前列腺癌的新兴蛋白(综述)。
Int J Oncol. 2023 Nov;63(5). doi: 10.3892/ijo.2023.5575. Epub 2023 Sep 21.
3
Analysis and Visualization of Longitudinal Genomic and Clinical Data from the AACR Project GENIE Biopharma Collaborative in cBioPortal.
在 cBioPortal 中分析和可视化 AACR 项目 GENIE 生物制药协作的纵向基因组和临床数据。
Cancer Res. 2023 Dec 1;83(23):3861-3867. doi: 10.1158/0008-5472.CAN-23-0816.
4
Molecular basis and therapeutic targets in prostate cancer: A comprehensive review.前列腺癌的分子基础和治疗靶点:全面综述。
Biomol Biomed. 2023 Sep 4;23(5):760-771. doi: 10.17305/bb.2023.8782.
5
Cancer statistics, 2023.癌症统计数据,2023 年。
CA Cancer J Clin. 2023 Jan;73(1):17-48. doi: 10.3322/caac.21763.
6
KEGG for taxonomy-based analysis of pathways and genomes.KEGG 用于基于分类的途径和基因组分析。
Nucleic Acids Res. 2023 Jan 6;51(D1):D587-D592. doi: 10.1093/nar/gkac963.
7
Molecular Mechanisms Underlying Ca/Calmodulin-Dependent Protein Kinase Kinase Signal Transduction.钙/钙调蛋白依赖性蛋白激酶激酶信号转导的分子机制。
Int J Mol Sci. 2022 Sep 20;23(19):11025. doi: 10.3390/ijms231911025.
8
RUVBL1 promotes enzalutamide resistance of prostate tumors through the PLXNA1-CRAF-MAPK pathway.RUVBL1 通过 PLXNA1-CRAF-MAPK 通路促进前列腺肿瘤对恩扎鲁胺的耐药性。
Oncogene. 2022 Jun;41(23):3239-3250. doi: 10.1038/s41388-022-02332-8. Epub 2022 May 4.
9
Regulation and role of CAMKK2 in prostate cancer.CAMKK2 在前列腺癌中的调控作用及角色。
Nat Rev Urol. 2022 Jun;19(6):367-380. doi: 10.1038/s41585-022-00588-z. Epub 2022 Apr 26.
10
PCP4/PEP19 and HER2 Are Novel Prognostic Markers in Mucoepidermoid Carcinoma of the Salivary Gland.PCP4/PEP19和HER2是涎腺黏液表皮样癌新的预后标志物。
Cancers (Basel). 2021 Dec 23;14(1):54. doi: 10.3390/cancers14010054.