Suppr超能文献

整合生物信息学分析与实验验证确定CHEK1是与软组织肉瘤免疫抑制表型相关的不良预后生物标志物。

Integrative bioinformatics analysis and experimental validation identify CHEK1 as an unfavorable prognostic biomarker related to immunosuppressive phenotypes in soft tissue sarcomas.

作者信息

Rong Chao, Liu Yun, Xiang Fang, Zhao Xin, Zhang Jinjin, Xiao Zuorun, Wang Jinsha, Chen Lin, Guo Zhiqi, Zhang Ziyu, An Jingnan, Shen Jing, Hess Jochen, Yuan Xiaodong, Zhang Qiong, Wang Shouli

机构信息

Department of Pathology, School of Basic Medical Sciences, Suzhou Medical College, Soochow University, Suzhou, Jiangsu, China.

Department of Radiation Oncology, The First Affiliated Hospital of USTC, Division of Life Sciences and Medicine, University of Science and Technology of China, Hefei, Anhui, China.

出版信息

NPJ Precis Oncol. 2025 Aug 1;9(1):268. doi: 10.1038/s41698-025-01064-8.

Abstract

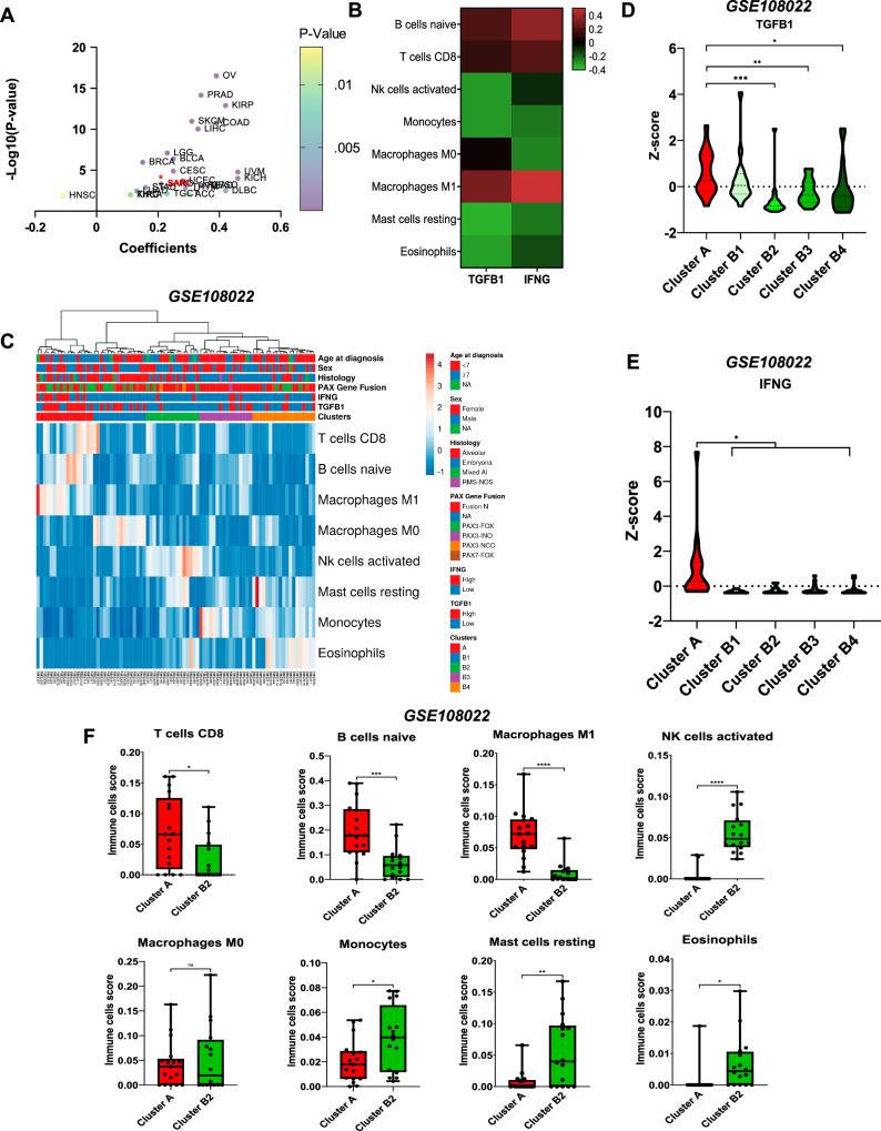
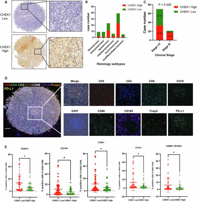
Soft tissue sarcomas (STS), including rhabdomyosarcoma (RMS), exhibit significant heterogeneity and limited responsiveness to immune checkpoint blockade (ICB). Unsupervised tumor immune phenotype based on multi-omics expression profiling of STS has been less studied. To reveal the tumor immune phenotype of STS and identify promising therapeutic targets, multi-omics expression profiling across various subtypes of STS was investigated. Here, we established a novel molecular classifier based on immune cell subsets related to TGFβ1 and IFNγ to identify distinct immune phenotypes with higher or lower cytotoxic contents. Immune-high clusters demonstrated enriched immune cell infiltration, elevated IFNγ-related signatures, and favorable clinical outcomes. In contrast, immune-low clusters were enriched for immunosuppressive cell types and exhibited poor survival. CHEK1 emerged as a key node associated with immunosuppressive phenotypes and was significantly overexpressed in immune-low tumors. In situ analysis of independent validation cohorts revealed the significant correlation between CHEK1 and tumor-infiltrating immune cells. Collectively, our findings establish a novel risk assessment strategy for RMS and STS patients, and highlight the potential of CHEK1 as a promising therapeutic target in combination with immune checkpoint inhibitor therapy.

摘要

软组织肉瘤(STS),包括横纹肌肉瘤(RMS),表现出显著的异质性且对免疫检查点阻断(ICB)反应有限。基于STS多组学表达谱的无监督肿瘤免疫表型研究较少。为了揭示STS的肿瘤免疫表型并确定有前景的治疗靶点,我们对STS各亚型进行了多组学表达谱研究。在此,我们基于与TGFβ1和IFNγ相关的免疫细胞亚群建立了一种新型分子分类器,以识别具有较高或较低细胞毒性含量的不同免疫表型。免疫高聚类显示免疫细胞浸润丰富、IFNγ相关特征升高以及临床结果良好。相比之下,免疫低聚类富含免疫抑制细胞类型且生存率较低。CHEK1成为与免疫抑制表型相关的关键节点,并且在免疫低的肿瘤中显著过表达。对独立验证队列的原位分析揭示了CHEK1与肿瘤浸润免疫细胞之间的显著相关性。总体而言,我们的研究结果为RMS和STS患者建立了一种新型风险评估策略,并突出了CHEK1作为与免疫检查点抑制剂联合治疗的有前景治疗靶点的潜力。

https://cdn.ncbi.nlm.nih.gov/pmc/blobs/afc6/12317078/f1e341903541/41698_2025_1064_Fig1_HTML.jpg

文献AI研究员

20分钟写一篇综述,助力文献阅读效率提升50倍。

立即体验

用中文搜PubMed

大模型驱动的PubMed中文搜索引擎

马上搜索

文档翻译

学术文献翻译模型,支持多种主流文档格式。

立即体验