• 文献检索
  • 文档翻译
  • 深度研究
  • 学术资讯
  • Suppr Zotero 插件Zotero 插件
  • 邀请有礼
  • 套餐&价格
  • 历史记录
应用&插件
Suppr Zotero 插件Zotero 插件浏览器插件Mac 客户端Windows 客户端微信小程序
定价
高级版会员购买积分包购买API积分包
服务
文献检索文档翻译深度研究API 文档MCP 服务
关于我们
关于 Suppr公司介绍联系我们用户协议隐私条款
关注我们

Suppr 超能文献

核心技术专利:CN118964589B侵权必究
粤ICP备2023148730 号-1Suppr @ 2026

文献检索

告别复杂PubMed语法,用中文像聊天一样搜索,搜遍4000万医学文献。AI智能推荐,让科研检索更轻松。

立即免费搜索

文件翻译

保留排版,准确专业,支持PDF/Word/PPT等文件格式,支持 12+语言互译。

免费翻译文档

深度研究

AI帮你快速写综述,25分钟生成高质量综述,智能提取关键信息,辅助科研写作。

立即免费体验

从腔静脉三尖瓣峡部到右冠状动脉的距离对心房扑动冷冻消融术中首次通过传导阻滞的影响。

Impact of the Distance From the Cavotricuspid Isthmus to the Right Coronary Artery on First-Pass Conduction Block During Cryoablation for Atrial Flutter.

作者信息

Nodera Minoru, Kaneshiro Takashi, Murota Sadahiro, Yamada Shinya, Oikawa Masayoshi, Takeishi Yasuchika

机构信息

Department of Cardiovascular Medicine Fukushima Medical University Fukushima Japan.

Department of Arrhythmia and Cardiac Pacing Fukushima Medical University Fukushima Japan.

出版信息

J Arrhythm. 2025 Jul 31;41(4):e70159. doi: 10.1002/joa3.70159. eCollection 2025 Aug.

DOI:10.1002/joa3.70159
PMID:40755511
原文链接:https://pmc.ncbi.nlm.nih.gov/articles/PMC12314311/
Abstract

BACKGROUND

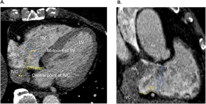
Cryoablation is an alternative to radiofrequency ablation for the treatment of cavotricuspid isthmus (CTI)-dependent atrial flutter (AFL). However, the anatomical features that make achieving a CTI conduction block using cryoablation challenging remain unclear.

METHODS

This study included 100 consecutive patients who underwent CTI cryoablation for AFL. Patients were divided into two groups: the first-pass group, in which first-pass CTI conduction block was achieved ( = 72) and the non-first-pass group, in which it was not achieved ( = 28). We analyzed the anatomical features and the temperature changes of the catheter during the first sequential CTI cryoablation.

RESULTS

The distance from the CTI to the right coronary artery (RCA) in the first-pass group was significantly longer than that in the non-first-pass group ( < 0.001). The time to reach nadir freezing temperature in the ventricular side of the CTI was significantly shorter in the first-pass group than in the non-first-pass group ( < 0.001). The time to reach nadir freezing temperature at the ventricular side of the CTI correlated inversely with the distance from the CTI to the RCA ( = -0.410,  < 0.001). The distance from the CTI to the RCA was the only significant factor associated with achieving first-pass CTI conduction block (odds ratio, 4.801,  < 0.001).

CONCLUSIONS

The distance from the CTI to the RCA was significantly associated with achieving first-pass CTI conduction block by cryoablation. The warming effect of the RCA blood flow might prevent the CTI conduction block during cryoablation.

摘要

背景

冷冻消融是治疗三尖瓣峡部(CTI)依赖性心房扑动(AFL)的一种替代射频消融的方法。然而,使用冷冻消融实现CTI传导阻滞具有挑战性的解剖学特征仍不清楚。

方法

本研究纳入了100例连续接受CTI冷冻消融治疗AFL的患者。患者分为两组:首次通过组,即实现首次通过CTI传导阻滞的患者(n = 72)和非首次通过组,即未实现首次通过CTI传导阻滞的患者(n = 28)。我们分析了首次序贯CTI冷冻消融过程中的解剖学特征和导管温度变化。

结果

首次通过组中CTI至右冠状动脉(RCA)的距离显著长于非首次通过组(P < 0.001)。CTI心室侧达到最低冷冻温度的时间在首次通过组显著短于非首次通过组(P < 0.001)。CTI心室侧达到最低冷冻温度的时间与CTI至RCA的距离呈负相关(r = -0.410,P < 0.001)。CTI至RCA的距离是与实现首次通过CTI传导阻滞相关的唯一显著因素(优势比,4.801,P < 0.001)。

结论

CTI至RCA的距离与通过冷冻消融实现首次通过CTI传导阻滞显著相关。RCA血流的升温效应可能会在冷冻消融过程中阻止CTI传导阻滞。

https://cdn.ncbi.nlm.nih.gov/pmc/blobs/dd96/12314311/3be9a160572a/JOA3-41-e70159-g001.jpg
https://cdn.ncbi.nlm.nih.gov/pmc/blobs/dd96/12314311/a95e0730f6a7/JOA3-41-e70159-g002.jpg
https://cdn.ncbi.nlm.nih.gov/pmc/blobs/dd96/12314311/764f4e8ab07f/JOA3-41-e70159-g005.jpg
https://cdn.ncbi.nlm.nih.gov/pmc/blobs/dd96/12314311/e75ce1eaf329/JOA3-41-e70159-g004.jpg
https://cdn.ncbi.nlm.nih.gov/pmc/blobs/dd96/12314311/3be9a160572a/JOA3-41-e70159-g001.jpg
https://cdn.ncbi.nlm.nih.gov/pmc/blobs/dd96/12314311/a95e0730f6a7/JOA3-41-e70159-g002.jpg
https://cdn.ncbi.nlm.nih.gov/pmc/blobs/dd96/12314311/764f4e8ab07f/JOA3-41-e70159-g005.jpg
https://cdn.ncbi.nlm.nih.gov/pmc/blobs/dd96/12314311/e75ce1eaf329/JOA3-41-e70159-g004.jpg
https://cdn.ncbi.nlm.nih.gov/pmc/blobs/dd96/12314311/3be9a160572a/JOA3-41-e70159-g001.jpg

相似文献

1
Impact of the Distance From the Cavotricuspid Isthmus to the Right Coronary Artery on First-Pass Conduction Block During Cryoablation for Atrial Flutter.从腔静脉三尖瓣峡部到右冠状动脉的距离对心房扑动冷冻消融术中首次通过传导阻滞的影响。
J Arrhythm. 2025 Jul 31;41(4):e70159. doi: 10.1002/joa3.70159. eCollection 2025 Aug.
2
Cryoablation as an alternative strategy for bidirectional cavotricuspid isthmus block following multiple failed sessions of radiofrequency ablation due to epicardial-endocardial breakthrough: A case report.由于心外膜-心内膜穿破导致多次射频消融失败后,冷冻消融作为双向腔静脉三尖瓣峡部阻滞的替代策略:一例报告。
Indian Pacing Electrophysiol J. 2025 Mar-Apr;25(2):118-121. doi: 10.1016/j.ipej.2025.02.004. Epub 2025 Feb 12.
3
Long-term risk of right coronary artery injury after catheter ablation of cavotricuspid isthmus-dependent flutter.三尖瓣峡部依赖性房扑导管消融术后右冠状动脉损伤的长期风险。
Heart Rhythm. 2025 Jul;22(7):1675-1681. doi: 10.1016/j.hrthm.2024.09.029. Epub 2024 Sep 19.
4
Ablation of cavotricuspid isthmus-dependent atrial flutter using a focal monopolar pulsed-field ablation catheter: Feasibility, periprocedural coronary spasms and conduction disorders.使用局灶性单极脉冲场消融导管消融三尖瓣峡部依赖性房扑:可行性、围手术期冠状动脉痉挛和传导障碍。
Heart Rhythm. 2025 Jul 5. doi: 10.1016/j.hrthm.2025.07.001.
5
Achieving bi-directional conduction block during catheter ablation is not enough to prevent recurrence of cavo-tricuspid isthmus dependant atrial flutter: Role of subclinical conduction.在导管消融过程中实现双向传导阻滞不足以防止腔静脉-三尖瓣峡部依赖性房扑的复发:亚临床传导的作用。
Pacing Clin Electrophysiol. 2023 Apr;46(4):292-299. doi: 10.1111/pace.14673. Epub 2023 Mar 12.
6
Lessons from ablation responses to preferential wavefront in typical atrial flutter.典型心房扑动中针对优先波阵面的消融反应的经验教训。
J Interv Card Electrophysiol. 2024 Sep 12. doi: 10.1007/s10840-024-01911-x.
7
Electrical isolation of the cavotricuspid isthmus aneurysm: a novel strategy for refractory atrial tachyarrhythmias with complex anatomical variants: a case report.腔静脉三尖瓣峡部动脉瘤的电隔离:一种针对伴有复杂解剖变异的难治性房性快速性心律失常的新策略:病例报告
Eur Heart J Case Rep. 2025 Jul 15;9(8):ytaf334. doi: 10.1093/ehjcr/ytaf334. eCollection 2025 Aug.
8
Fluoroless cavotricuspid isthmus ablation of typical atrial flutter achieves success with shorter radiofrequency and procedural times.典型心房扑动的无荧光三尖瓣峡部消融术可在更短的射频时间和手术时间内取得成功。
Rev Port Cardiol. 2025 Sep;44(9):551-555. doi: 10.1016/j.repc.2025.04.005. Epub 2025 Jul 14.
9
Intravenous magnesium sulphate and sotalol for prevention of atrial fibrillation after coronary artery bypass surgery: a systematic review and economic evaluation.静脉注射硫酸镁和索他洛尔预防冠状动脉搭桥术后房颤:系统评价与经济学评估
Health Technol Assess. 2008 Jun;12(28):iii-iv, ix-95. doi: 10.3310/hta12280.
10
Pulsed field ablation of the cavotricuspid isthmus using a balloon-in-basket system.使用球囊篮状系统对三尖瓣峡部进行脉冲场消融。
J Interv Card Electrophysiol. 2025 Aug 1. doi: 10.1007/s10840-025-02102-y.

本文引用的文献

1
Global burden of atrial fibrillation/atrial flutter and its attributable risk factors from 1990 to 2019.2019 年全球心房颤动/心房扑动负担及其归因危险因素。
Europace. 2023 Mar 30;25(3):793-803. doi: 10.1093/europace/euac237.
2
Ablation index-guided high-power vs. moderate-power cavotricuspid isthmus ablation.消融指数引导下高功率与中功率三尖瓣峡部消融
Heart Vessels. 2023 Jan;38(1):90-95. doi: 10.1007/s00380-022-02125-9. Epub 2022 Jul 19.
3
Radiofrequency induced lesion characteristics according to force-time integral in experimental model.
根据实验模型中的力-时间积分的射频诱导病变特征。
Medicine (Baltimore). 2021 Mar 12;100(10):e25126. doi: 10.1097/MD.0000000000025126.
4
Safety, efficacy, and reproducibility of cavotricuspid isthmus ablation guided by the ablation index: acute results of the FLAI study.消融指数指导下心尖峡部消融的安全性、有效性和可重复性:FLAI 研究的急性结果。
Europace. 2021 Feb 5;23(2):264-270. doi: 10.1093/europace/euaa215.
5
Cryoablation as standard treatment of atrial flutter: a prospective, 2-center study (CASTAF).冷冻消融作为心房扑动的标准治疗:一项前瞻性、2 中心研究(CASTAF)。
Acta Cardiol. 2021 May;76(3):267-271. doi: 10.1080/00015385.2020.1721717. Epub 2020 Mar 25.
6
Coronary artery injury related to catheter ablation of cardiac arrhythmias: A systematic review.冠状动脉损伤与心律失常导管消融相关:系统评价。
J Cardiovasc Electrophysiol. 2019 Jan;30(1):92-101. doi: 10.1111/jce.13764. Epub 2018 Oct 22.
7
Parameters associated with acute morphometric lesion dimensions created by cryocatheters.
J Interv Card Electrophysiol. 2019 Mar;54(2):109-118. doi: 10.1007/s10840-018-0452-x. Epub 2018 Sep 25.
8
Impact of cavotricuspid isthmus morphology in CRYO versus radiofrequency ablation of typical atrial flutter.典型心房扑动冷冻消融与射频消融中腔静脉三尖瓣峡部形态的影响
Scand Cardiovasc J. 2017 Apr;51(2):69-73. doi: 10.1080/14017431.2016.1259496. Epub 2016 Nov 25.
9
Clinical Anatomy of the Cavotricuspid Isthmus and Terminal Crest.腔静脉-三尖瓣峡部与终末嵴的临床解剖学
PLoS One. 2016 Sep 28;11(9):e0163383. doi: 10.1371/journal.pone.0163383. eCollection 2016.
10
Creating bidirectional conduction block in the cavotricuspid isthmus by cryothermal ablation with a short freeze time: Insight from the results with a 2-minute freeze cycle.通过短冷冻时间的冷冻消融在腔静脉三尖瓣峡部创建双向传导阻滞:2分钟冷冻周期结果的见解
Int J Cardiol. 2016 Dec 1;224:149-154. doi: 10.1016/j.ijcard.2016.09.064. Epub 2016 Sep 17.