Suppr超能文献

神经内分泌肿瘤的罕见发现:心脏肿物。

A Rare Discovery of Neuroendocrine Tumor: Cardiac Mass.

作者信息

Shrestha Anish K, Devkota Anirudra, Chen Terina S, Mohebtash Mahsa

机构信息

Department of Internal Medicine, MedStar Health, Baltimore, USA.

Department of Pathology, MedStar Health, Baltimore, USA.

出版信息

J Community Hosp Intern Med Perspect. 2025 May 5;15(3):76-79. doi: 10.55729/2000-9666.1488. eCollection 2025.

Abstract

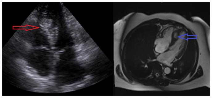
Carcinoid tumors are rare, slow-growing neoplasms of neuroendocrine origin commonly affecting the gastrointestinal or respiratory system. They metastasize to lymph nodes and the liver based on their lymphatic and venous drainage of their tissue of origin. Metastasis to the heart is exceedingly rare accounting for <2 % of cases. Exceedingly rare is the incidental detection of cardiac carcinoid metastasis as the initial presentation of carcinoid syndrome. Here, we describe a case of metastatic cardiac carcinoid detected during a routine echocardiogram done for evaluation of a systolic murmur.

摘要

类癌肿瘤是起源于神经内分泌的罕见、生长缓慢的肿瘤,通常影响胃肠道或呼吸系统。它们根据其原发组织的淋巴和静脉引流转移至淋巴结和肝脏。转移至心脏极为罕见,占病例的不到2%。作为类癌综合征的初始表现,偶然检测到心脏类癌转移极为罕见。在此,我们描述一例在因评估收缩期杂音而进行的常规超声心动图检查中发现的转移性心脏类癌病例。

https://cdn.ncbi.nlm.nih.gov/pmc/blobs/867c/12313280/eb66f27d195f/jchim-15-03-076f1.jpg

文献检索

告别复杂PubMed语法,用中文像聊天一样搜索,搜遍4000万医学文献。AI智能推荐,让科研检索更轻松。

立即免费搜索

文件翻译

保留排版,准确专业,支持PDF/Word/PPT等文件格式,支持 12+语言互译。

免费翻译文档

深度研究

AI帮你快速写综述,25分钟生成高质量综述,智能提取关键信息,辅助科研写作。

立即免费体验