Suppr超能文献

多结节性空泡化神经元肿瘤:症状性表现与偶然发现:病例系列及文献综述

Multinodular Vacuolating Neuronal Tumors: Symptomatic Presentation Versus Incidental Finding: Case Series and Literature Review.

作者信息

Balodis Arturs, Strautmane Sintija, Mežvinska Paula, Pavlovičs Sergejs

机构信息

Department of Radiology, Riga Stradins University, LV-1007 Riga, Latvia.

Institute of Diagnostic Radiology, Pauls Stradins Clinical University Hospital, LV-1002 Riga, Latvia.

出版信息

Reports (MDPI). 2024 Oct 23;7(4):86. doi: 10.3390/reports7040086.

Abstract

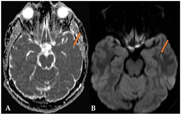
Multinodular Vacuolating Neuronal Tumors (MVNTs) are mixed glial-neuronal brain lesions classified as World Health Organization (WHO) CNS grade 1 tumors, often associated with long-term epilepsy. First described by Huse et al. in 2013 and included in the WHO CNS classification in 2016, MVNTs present a range of clinical manifestations, from symptomatic to asymptomatic. They typically affect young to middle-aged adults and exhibit diverse presentations. Radiologically, MVNTs are usually supratentorial, frequently located in the temporal lobe but also observed in the frontal and parietal lobes. MRI is essential for diagnosis, revealing multiple coalescing subcortical or cortical nodules with hyperintense signals on T2-weighted/FLAIR sequences, often without peripheral edema or mass effects. This paper presents two cases: one symptomatic MVNT with significant clinical manifestations, and the other documenting an incidental finding of MVNT in an asymptomatic patient. One case shows typical temporal lobe localization, while the other highlights a rare frontal lobe localization, with clear radiological findings on T2/FLAIR sequences. These cases illustrate the varied clinical presentations of MVNTs and emphasize MRI's critical role in diagnosis and management. Asymptomatic cases often require conservative management, stressing the avoidance of unnecessary invasive procedures and the importance of regular monitoring.

摘要

多结节空泡状神经元肿瘤(MVNTs)是一种神经胶质-神经元混合性脑病变,被归类为世界卫生组织(WHO)中枢神经系统1级肿瘤,常与长期癫痫相关。MVNTs于2013年由胡斯等人首次描述,并于2016年被纳入WHO中枢神经系统分类,其临床表现多样,从有症状到无症状。它们通常影响年轻至中年成年人,表现形式多样。在影像学上,MVNTs通常位于幕上,常位于颞叶,但也可见于额叶和顶叶。磁共振成像(MRI)对诊断至关重要,显示在T2加权/液体衰减反转恢复(FLAIR)序列上有多个融合的皮质下或皮质结节,信号增强,通常无周围水肿或占位效应。本文介绍了两例病例:一例是有明显临床表现的有症状MVNT,另一例记录了在一名无症状患者中偶然发现的MVNT。一例显示典型的颞叶定位,另一例突出了罕见的额叶定位,在T2/FLAIR序列上有明确的影像学表现。这些病例说明了MVNTs的不同临床表现,并强调了MRI在诊断和管理中的关键作用。无症状病例通常需要保守治疗,强调避免不必要的侵入性手术以及定期监测的重要性。

https://cdn.ncbi.nlm.nih.gov/pmc/blobs/8c79/12199931/176e74ab28d4/reports-07-00086-g001.jpg

本文引用的文献

2
Advancements in Glioma Care: Focus on Emerging Neurosurgical Techniques.
Biomedicines. 2023 Dec 20;12(1):8. doi: 10.3390/biomedicines12010008.
4
Bright diffusion sign: A sensitive and specific radiologic biomarker for multinodular and vacuolating neuronal tumor.
J Neuroradiol. 2024 Jun;51(4):101171. doi: 10.1016/j.neurad.2023.11.006. Epub 2024 Jan 2.
5
Advanced multiparametric MRI and FDG-PET/CT in multinodular and vacuolating neuronal tumor: A pathologically confirmed case.
Radiol Case Rep. 2023 Jun 16;18(9):2924-2928. doi: 10.1016/j.radcr.2023.06.002. eCollection 2023 Sep.
6
New Imaging Features of Multinodular and Vacuolating Neuronal Tumor Revealed by Alcohol and Illicit Drugs Consumption.
Diagnostics (Basel). 2022 Nov 14;12(11):2779. doi: 10.3390/diagnostics12112779.
7
A rare cause of adult's epileptic crisis: Infratentorial multinodular and vacuolating neuronal tumor.
Radiol Case Rep. 2022 Oct 11;17(12):4847-4849. doi: 10.1016/j.radcr.2022.08.006. eCollection 2022 Dec.
8
Multinodular and Vacuolating Neuronal Tumor: Incidental Diagnosis of a Rare Brain Lesion.
Cureus. 2021 Dec 25;13(12):e20674. doi: 10.7759/cureus.20674. eCollection 2021 Dec.
9
The 2021 WHO Classification of Tumors of the Central Nervous System: a summary.
Neuro Oncol. 2021 Aug 2;23(8):1231-1251. doi: 10.1093/neuonc/noab106.
10
Multinodular and vacuolating neuronal tumor of the cerebrum: Two cases and review of the literature.
Clin Neurol Neurosurg. 2020 Oct;197:106149. doi: 10.1016/j.clineuro.2020.106149. Epub 2020 Aug 11.

文献AI研究员

20分钟写一篇综述,助力文献阅读效率提升50倍。

立即体验

用中文搜PubMed

大模型驱动的PubMed中文搜索引擎

马上搜索

文档翻译

学术文献翻译模型,支持多种主流文档格式。

立即体验