Wang Juan, Ou Yanglong, Duan Huaxing, Fan Shasha
Department of Oncology, The First Affiliated Hospital of Hunan Normal University, Hunan Provincial People's Hospital, Changsha, China.
AME Case Rep. 2025 Jul 8;9:96. doi: 10.21037/acr-25-40. eCollection 2025.
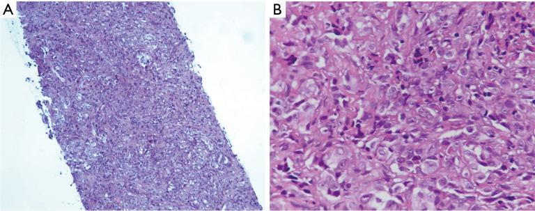
Fumarate hydratase-deficient renal cell carcinoma (FH-RCC) is a rare and highly aggressive form of renal cell carcinoma (RCC), with only a few hundred cases reported worldwide. Sarcomatoid renal cell carcinoma (SRCC) is a distinctive histologic variant of RCC, accounting for approximately 1.0-1.5% of renal parenchymal tumors. To date, no standardized treatment guidelines have been established for RCC characterized by the concurrent presence of FH deficiency and sarcomatoid features.
We report a case of sarcomatoid RCC with multiple bone metastases, presenting clinically with persistent lower back pain. Genetic testing revealed a germline mutation in the FH gene. After 6 months of combined treatment with immune checkpoint inhibitors (ICIs) and tyrosine kinase inhibitors (TKIs), the activity of the bone metastatic lesions was substantially suppressed, and the primary renal tumor was managed with cryoablation and renal artery embolization. No local or systemic recurrence has been observed, and the patient has maintained a progression-free survival (PFS) for nearly 1 year.
RCC with both FH gene loss and sarcomatoid differentiation is an exceedingly rare entity. Genetic testing and immunohistochemistry are critical for accurate diagnosis. Immunotherapy and targeted therapies may serve as potential translational treatment strategies, offering an opportunity for effective management of the primary tumor in conjunction with radiotherapy.
富马酸水合酶缺乏性肾细胞癌(FH-RCC)是一种罕见且侵袭性很强的肾细胞癌(RCC)形式,全球仅报道了几百例。肉瘤样肾细胞癌(SRCC)是RCC一种独特的组织学变体,约占肾实质肿瘤的1.0-1.5%。迄今为止,尚未针对具有FH缺乏和肉瘤样特征同时存在的RCC制定标准化治疗指南。
我们报告一例伴有多处骨转移的肉瘤样RCC病例,临床上表现为持续性下背痛。基因检测显示FH基因存在种系突变。在免疫检查点抑制剂(ICI)和酪氨酸激酶抑制剂(TKI)联合治疗6个月后,骨转移病灶的活性得到显著抑制,原发性肾肿瘤采用冷冻消融和肾动脉栓塞治疗。未观察到局部或全身复发,患者已维持近1年的无进展生存期(PFS)。
同时具有FH基因缺失和肉瘤样分化的RCC是一种极其罕见的实体。基因检测和免疫组织化学对于准确诊断至关重要。免疫治疗和靶向治疗可能作为潜在的转化治疗策略,为结合放疗有效管理原发性肿瘤提供机会。