Alomar Adeeb, Do Dang-Huy, Lalli Trapper, Sanders Drew
Orthopedic Surgery, University of Texas Southwestern Medical Center, Dallas, USA.
Orthopedic Surgery, University of North Carolina Medical Center, Chapel Hill, USA.
Cureus. 2025 Jul 6;17(7):e87375. doi: 10.7759/cureus.87375. eCollection 2025 Jul.
For midfoot injuries requiring surgical intervention, radiographs of the contralateral, non-injured foot are often used as a guide to restore patient anatomy. We seek to validate this approach by examining the intra-subject variability in midfoot anatomy among the uninjured population.
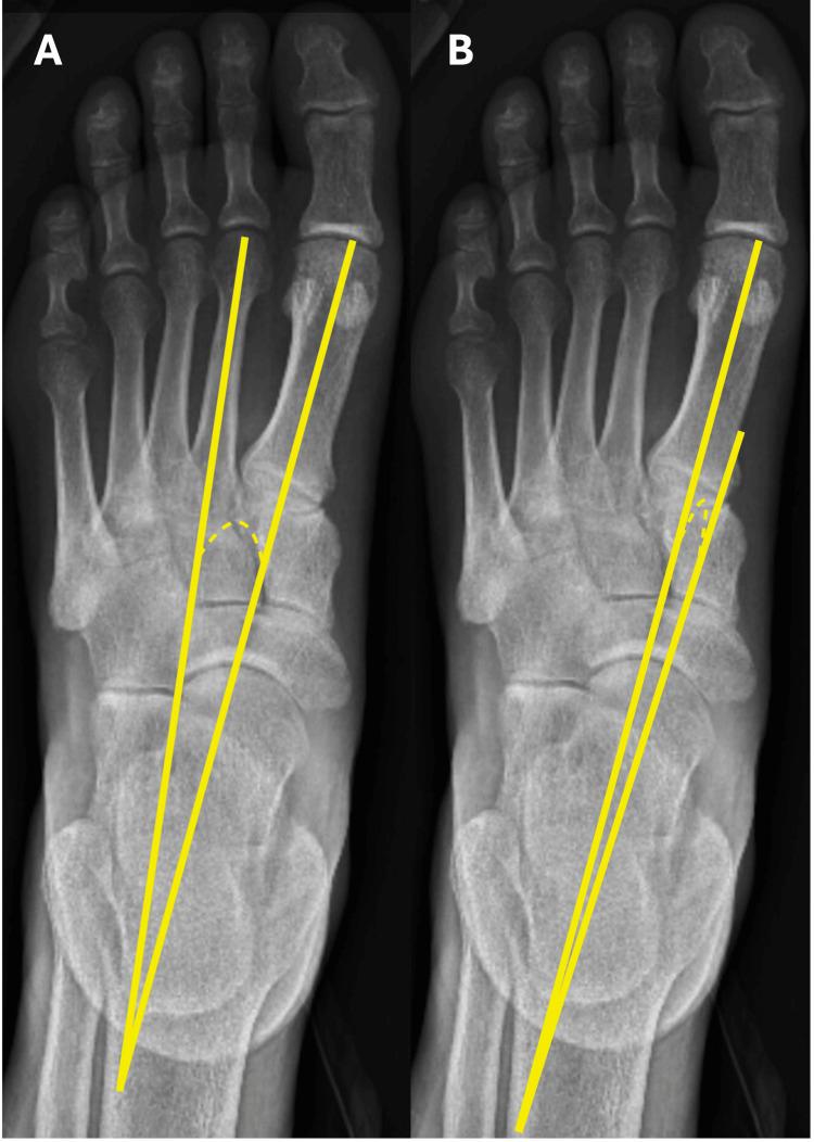
A retrospective review of 440 patients with bilateral foot radiographs was performed. A total of 246 patients met the inclusion criteria. The first to second intermetatarsal angle (IMA), talo-first-metatarsal angle (T1MA), Meary's angle (MA), and calcaneal inclination (CI) were measured. The side-to-side difference and inter-subject variability were analyzed using the mean absolute percentage side-to-side difference (MAPSSD) and the coefficient of variation (COV) to yield the ratio of variation (ROV). An ROV greater than 1 indicates greater inter-subject variability than intra-subject differences. Standard linear model analysis was performed to study each parameter against sex, race, and age. Results: There were no significant differences in IMA, T1MA, or CI in side-by-side measurements, but there was a significant difference in MA between the left and the right side. The ROV for IMA, T1MA, MA, and CI were all greater than 1, indicating greater inter-subject variability than intra-subject variability between the left and the right sides. Male sex was associated with a smaller IMA. Hispanic heritage was associated with smaller T1MA. Older age and Black people were associated with smaller MA angles. Caucasian people had larger CI values. All correlations were statistically significant with a p-value < 0.05.
Intra-subject variability in midfoot anatomy is less than inter-subject variability, therefore validating the use of the contralateral limb as a guide in the surgical repair of midfoot injuries.
对于需要手术干预的中足损伤,对侧未受伤足部的X线片常被用作恢复患者解剖结构的指导。我们试图通过检查未受伤人群中足解剖结构的个体内变异性来验证这种方法。
对440例双侧足部X线片患者进行回顾性研究。共有246例患者符合纳入标准。测量第一和第二跖骨间角(IMA)、距骨-第一跖骨角(T1MA)、梅里角(MA)和跟骨倾斜度(CI)。使用平均绝对百分比左右差异(MAPSSD)和变异系数(COV)分析左右差异和个体间变异性,以得出变异比(ROV)。ROV大于1表明个体间变异性大于个体内差异。进行标准线性模型分析以研究每个参数与性别、种族和年龄的关系。结果:左右侧IMA、T1MA或CI的并排测量无显著差异,但左右侧MA有显著差异。IMA、T1MA、MA和CI的ROV均大于1,表明左右侧个体间变异性大于个体内变异性。男性与较小的IMA相关。西班牙裔血统与较小的T1MA相关。年龄较大和黑人与较小的MA角相关。白人的CI值较大。所有相关性均具有统计学意义,p值<0.05。
中足解剖结构的个体内变异性小于个体间变异性,因此验证了在中足损伤手术修复中使用对侧肢体作为指导的有效性。