• 文献检索
  • 文档翻译
  • 深度研究
  • 学术资讯
  • Suppr Zotero 插件Zotero 插件
  • 邀请有礼
  • 套餐&价格
  • 历史记录
应用&插件
Suppr Zotero 插件Zotero 插件浏览器插件Mac 客户端Windows 客户端微信小程序
定价
高级版会员购买积分包购买API积分包
服务
文献检索文档翻译深度研究API 文档MCP 服务
关于我们
关于 Suppr公司介绍联系我们用户协议隐私条款
关注我们

Suppr 超能文献

核心技术专利:CN118964589B侵权必究
粤ICP备2023148730 号-1Suppr @ 2026

文献检索

告别复杂PubMed语法,用中文像聊天一样搜索,搜遍4000万医学文献。AI智能推荐,让科研检索更轻松。

立即免费搜索

文件翻译

保留排版,准确专业,支持PDF/Word/PPT等文件格式,支持 12+语言互译。

免费翻译文档

深度研究

AI帮你快速写综述,25分钟生成高质量综述,智能提取关键信息,辅助科研写作。

立即免费体验

胆石症背景下的特发性嗜酸性粒细胞性胆囊炎:一例报告及文献综述

Idiopathic Eosinophilic Cholecystitis in the Setting of Cholelithiasis: A Case Report and Brief Literature Review.

作者信息

Sigdel Smara, Wilson Stephen, Habib Elaria, Diks John

机构信息

Pathology, Marshall University Joan C. Edwards School of Medicine, Huntington, USA.

Surgery, Marshall University Joan C. Edwards School of Medicine, Huntington, USA.

出版信息

Cureus. 2025 Aug 5;17(8):e89424. doi: 10.7759/cureus.89424. eCollection 2025 Aug.

DOI:10.7759/cureus.89424
PMID:40766096
原文链接:https://pmc.ncbi.nlm.nih.gov/articles/PMC12323892/
Abstract

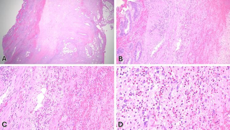
Eosinophilic cholecystitis (EC) is a rare inflammatory condition characterized by prominent eosinophilic infiltration of the gallbladder wall. It often mimics typical acute cholecystitis and is usually diagnosed only after histopathological examination. This case report discusses a 69-year-old woman presenting with symptoms of acute cholecystitis who was later found to have EC. The report highlights the clinical presentation, diagnosis, treatment, and relevant literature on this uncommon condition.

摘要

嗜酸性粒细胞性胆囊炎(EC)是一种罕见的炎症性疾病,其特征为胆囊壁有明显的嗜酸性粒细胞浸润。它常酷似典型的急性胆囊炎,通常仅在组织病理学检查后才能确诊。本病例报告讨论了一名69岁出现急性胆囊炎症状的女性,后来被发现患有嗜酸性粒细胞性胆囊炎。该报告重点介绍了这种罕见病症的临床表现、诊断、治疗及相关文献。

https://cdn.ncbi.nlm.nih.gov/pmc/blobs/a8a6/12323892/76f13cd7bee5/cureus-0017-00000089424-i02.jpg
https://cdn.ncbi.nlm.nih.gov/pmc/blobs/a8a6/12323892/4c467442be90/cureus-0017-00000089424-i01.jpg
https://cdn.ncbi.nlm.nih.gov/pmc/blobs/a8a6/12323892/76f13cd7bee5/cureus-0017-00000089424-i02.jpg
https://cdn.ncbi.nlm.nih.gov/pmc/blobs/a8a6/12323892/4c467442be90/cureus-0017-00000089424-i01.jpg
https://cdn.ncbi.nlm.nih.gov/pmc/blobs/a8a6/12323892/76f13cd7bee5/cureus-0017-00000089424-i02.jpg

相似文献

1
Idiopathic Eosinophilic Cholecystitis in the Setting of Cholelithiasis: A Case Report and Brief Literature Review.胆石症背景下的特发性嗜酸性粒细胞性胆囊炎:一例报告及文献综述
Cureus. 2025 Aug 5;17(8):e89424. doi: 10.7759/cureus.89424. eCollection 2025 Aug.
2
Epstein-Barr virus (EBV)-induced acute acalculous cholecystitis in children: a case report.爱泼斯坦-巴尔病毒(EBV)引起的儿童急性非结石性胆囊炎:一例报告
Transl Pediatr. 2025 Jun 27;14(6):1326-1331. doi: 10.21037/tp-2024-614. Epub 2025 Jun 23.
3
Acute Acalculous Cholecystitis in a Child with COVID-19 and Influenza B: A Case Report.一名患有新型冠状病毒肺炎和乙型流感的儿童的急性非结石性胆囊炎:病例报告
Am J Case Rep. 2025 Jun 23;26:e948156. doi: 10.12659/AJCR.948156.
4
Idiopathic eosinophilic cholecystitis with cholelithiasis: Two rare cases report.特发性嗜酸性粒细胞性胆囊炎合并胆结石:两例罕见病例报告。
Int J Surg Case Rep. 2023 Sep;110:108714. doi: 10.1016/j.ijscr.2023.108714. Epub 2023 Aug 23.
5
Early versus delayed laparoscopic cholecystectomy for people with acute cholecystitis.急性胆囊炎患者早期与延迟腹腔镜胆囊切除术的比较
Cochrane Database Syst Rev. 2013 Jun 30(6):CD005440. doi: 10.1002/14651858.CD005440.pub3.
6
Is cholecystectomy the treatment of choice for acute acalculous cholecystitis? A systematic review of the literature.胆囊切除术是急性非结石性胆囊炎的首选治疗方法吗?一项文献系统综述。
Rev Esp Enferm Dig. 2017 Oct;109(10):708-718. doi: 10.17235/reed.2017.4902/2017.
7
Acute Acalculous Cholecystitis in a Patient With Pancolitis: A Case Report.全结肠炎患者并发急性非结石性胆囊炎:一例报告
Cureus. 2025 Jun 6;17(6):e85476. doi: 10.7759/cureus.85476. eCollection 2025 Jun.
8
Clinical effectiveness and cost-effectiveness of cholecystectomy compared with observation/conservative management for preventing recurrent symptoms and complications in adults presenting with uncomplicated symptomatic gallstones or cholecystitis: a systematic review and economic evaluation.与观察/保守治疗相比,胆囊切除术对预防无并发症的有症状胆结石或胆囊炎成人患者复发症状和并发症的临床有效性和成本效益:一项系统评价和经济评估
Health Technol Assess. 2014 Aug;18(55):1-101, v-vi. doi: 10.3310/hta18550.
9
Contracted or Vanishing Gallbladder: A Case Report.胆囊萎缩或消失:一例报告
Cureus. 2025 May 19;17(5):e84382. doi: 10.7759/cureus.84382. eCollection 2025 May.
10
Causal association of polyunsaturated fatty acids with biliary tract diseases: A Mendelian randomization study.多不饱和脂肪酸与胆道疾病的因果关联:一项孟德尔随机化研究。
Clin Nutr ESPEN. 2024 Jun;61:37-45. doi: 10.1016/j.clnesp.2024.03.009. Epub 2024 Mar 12.

本文引用的文献

1
Severe Idiopathic Hypereosinophilic Syndrome with Eosinophilic Cholecystitis in a Child Treated with Mepolizumab.用美泊利珠单抗治疗的儿童严重特发性高嗜酸性粒细胞综合征伴嗜酸性胆囊炎
Indian J Pediatr. 2024 May;91(5):526. doi: 10.1007/s12098-023-05007-8. Epub 2023 Dec 30.
2
Eosinophilic Cholecystitis and Eosinophils in Gallbladder Injuries: A Clinicopathological Analysis of 1050 Cholecystectomies.嗜酸性粒细胞性胆囊炎与胆囊损伤中的嗜酸性粒细胞:1050例胆囊切除术的临床病理分析
Diagnostics (Basel). 2023 Aug 1;13(15):2559. doi: 10.3390/diagnostics13152559.
3
Sustained Eosinophilic Cholangitis Due to a Mite Allergy Mimicking Sclerosing Cholangitis.
由尘螨过敏引起的持续性嗜酸性胆管炎,类似于硬化性胆管炎。
Intern Med. 2022 Aug 15;61(16):2477-2482. doi: 10.2169/internalmedicine.8323-21. Epub 2022 Feb 1.
4
An unusual case of a gallbladder polyp.胆囊息肉样病变 1 例
Acta Gastroenterol Belg. 2021 Oct-Dec;84(4):675-677. doi: 10.51821/84.4.013.
5
Eosinophilic Cholangitis with Poor Prognosis after Corticosteroid- and Ursodeoxycholic Acid-Related Remission of Peripheral and Peribiliary Eosinophilia.在皮质类固醇和熊去氧胆酸使外周及胆管周围嗜酸性粒细胞增多症缓解后预后不良的嗜酸性胆管炎
Case Rep Gastroenterol. 2021 Feb 18;15(1):232-243. doi: 10.1159/000512420. eCollection 2021 Jan-Apr.
6
Pathophysiology and pathology of acute cholecystitis: A secondary publication of the Japanese version from 1992.急性胆囊炎的病理生理学与病理学:1992年日文版的二次出版
J Hepatobiliary Pancreat Sci. 2022 Feb;29(2):212-216. doi: 10.1002/jhbp.912. Epub 2021 Mar 27.
7
Eosinophilic Cholecystitis Associated with Eosinophilic Granulomatosis with Polyangiitis.嗜酸性胆囊炎合并嗜酸性肉芽肿性多血管炎
Case Rep Gastroenterol. 2020 Dec 11;14(3):668-674. doi: 10.1159/000511863. eCollection 2020 Sep-Dec.
8
Hypereosinophilic Syndrome, Multiorgan Involvement and Response to Imatinib.高嗜酸性粒细胞综合征、多器官受累及对伊马替尼的反应
Cureus. 2020 Jun 7;12(6):e8493. doi: 10.7759/cureus.8493.
9
Eosinophilic Cholecystitis Occurred in a Patient With Refractory Eosinophilic Airway Inflammation: A Case Report.难治性嗜酸性气道炎症患者发生嗜酸性胆囊炎:一例报告
Allergy Rhinol (Providence). 2019 Aug 19;10:2152656719869607. doi: 10.1177/2152656719869607. eCollection 2019 Jan-Dec.
10
Eosinophilic gastroenteritis complicating acute calculus eosinophilic cholecystitis 6 months after cholecystectomy.胆囊切除术后6个月,嗜酸性胃肠炎并发急性结石性嗜酸性胆囊炎。
J Dig Dis. 2018 Nov;19(11):693-695. doi: 10.1111/1751-2980.12683. Epub 2018 Nov 28.