Suppr超能文献

肝细胞癌的同步集成增强与保护质子束治疗方法

Simultaneous integrated boost and protection proton beam therapy approach for hepatocellular carcinoma.

作者信息

Thonglert Kanokphorn, Greer Matthew D, Schaub Stephanie K, Bowen Stephen R, Menghini Anthony M, Nyflot Matthew J, Grassberger Clemens, Tsai Joseph, Zaki Peter, Kim Edward Y, Wong Tony, Apisarnthanarax Smith

机构信息

Department of Radiation Oncology, University of Washington School of Medicine, Seattle, WA, United States.

Division of Radiation Oncology, Department of Radiology, Faculty of Medicine. Chulalongkorn University, King Chulalongkorn Memorial Hospital, Thai Red Cross Society, Bangkok, Thailand.

出版信息

Clin Transl Radiat Oncol. 2025 Jul 1;54:101008. doi: 10.1016/j.ctro.2025.101008. eCollection 2025 Sep.

Abstract

PURPOSE

Although simultaneous integrated boost and protection with proton beam therapy (SIB-PBT) facilitates tumor dose escalation while maintaining organ-at-risk (OAR) dose constraints, clinical outcomes are limited. This study assessed the safety and efficacy of using the SIB-PBT technique in hepatocellular carcinoma (HCC) patients.

METHODS

We reviewed 47 patients with HCC who underwent SIB-PBT between 2014-2021. The radiation dose ranged from 36-67.5 Gy(RBE) in 15 fractions. SIB-PBT was used for the following reasons: minimize high-dose exposure to organs-at-risk (OARs) (n = 22, 47 %), treat targets with different dose levels (n = 6, 13 %), or both (n = 19, 40 %). Survival, local control, and toxicities were assessed using Kaplan-Meier, Fine-Gray cumulative incidence, and descriptive statistics, respectively.

RESULTS

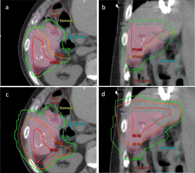
Forty-one patients (87 %) had tumors located ≤2 cm from luminal gastrointestinal (GI) OARs. The median tumor diameter was 9.2 cm (range, 2.0-21.5 cm). The median EQD2 D50%, D95% and D99% of gross tumor volume were 79.8 (range, 51.1-85.9), 66.7 (range, 36.9-84.6) and 50.2 (range, 34.1-83.6) Gy(RBE), respectively. Most patients (91 %) received a D0.5 cc of <45 Gy(RBE) to luminal GI OARs. At a median follow-up of 22 months (range, 0.8-77.0 months), the 2-year cumulative incidence of local failure was 12 %. The 2-year progression-free survival and overall survival rates were 12 % (95 % CI 4.7-23.4 %), and 49 % (95 % CI, 33.2-63.2 %), respectively. One patient experienced grade 3 acute nausea/vomiting. No GI bleeding/ulcers or grade 4 + toxicity were observed. CP + 2 occurred in 5 patients.

CONCLUSION

SIB-PBT enables OAR protection along with heterogeneous tumor dose escalation and is a safe and effective treatment for HCC tumors.

摘要

目的

尽管质子束治疗同步整合加量与保护(SIB-PBT)有助于在维持危及器官(OAR)剂量限制的同时提高肿瘤剂量,但临床结果有限。本研究评估了在肝细胞癌(HCC)患者中使用SIB-PBT技术的安全性和有效性。

方法

我们回顾了2014年至2021年间接受SIB-PBT治疗的47例HCC患者。放射剂量为36-67.5 Gy(RBE),分15次给予。使用SIB-PBT的原因如下:尽量减少对危及器官(OARs)的高剂量照射(n = 22,47%),对不同剂量水平的靶区进行治疗(n = 6,13%),或两者兼而有之(n = 19,40%)。分别使用Kaplan-Meier法、Fine-Gray累积发病率法和描述性统计法评估生存率、局部控制率和毒性。

结果

41例患者(87%)的肿瘤距离腔内胃肠道(GI)OARs≤2 cm。肿瘤中位直径为9.2 cm(范围2.0-21.5 cm)。大体肿瘤体积的中位等效均匀剂量(EQD2)D50%、D95%和D99%分别为79.8(范围51.1-85.9)、66.7(范围36.9-84.6)和50.2(范围34.1-83.6)Gy(RBE)。大多数患者(91%)给予腔内GI OARs的D0.5 cc<45 Gy(RBE)。中位随访22个月(范围0.8-77.0个月)时,局部失败的2年累积发病率为12%。2年无进展生存率和总生存率分别为12%(95%CI 4.7-23.4%)和49%(95%CI 33.2-63.2%)。1例患者出现3级急性恶心/呕吐。未观察到胃肠道出血/溃疡或4级及以上毒性反应。5例患者出现Child-Pugh分级加2级。

结论

SIB-PBT能够在保护OAR的同时实现肿瘤异质性剂量递增,是治疗HCC肿瘤的一种安全有效的方法。

https://cdn.ncbi.nlm.nih.gov/pmc/blobs/788e/12328680/86f40a16310e/gr1.jpg

文献检索

告别复杂PubMed语法,用中文像聊天一样搜索,搜遍4000万医学文献。AI智能推荐,让科研检索更轻松。

立即免费搜索

文件翻译

保留排版,准确专业,支持PDF/Word/PPT等文件格式,支持 12+语言互译。

免费翻译文档

深度研究

AI帮你快速写综述,25分钟生成高质量综述,智能提取关键信息,辅助科研写作。

立即免费体验