• 文献检索
  • 文档翻译
  • 深度研究
  • 学术资讯
  • Suppr Zotero 插件Zotero 插件
  • 邀请有礼
  • 套餐&价格
  • 历史记录
应用&插件
Suppr Zotero 插件Zotero 插件浏览器插件Mac 客户端Windows 客户端微信小程序
定价
高级版会员购买积分包购买API积分包
服务
文献检索文档翻译深度研究API 文档MCP 服务
关于我们
关于 Suppr公司介绍联系我们用户协议隐私条款
关注我们

Suppr 超能文献

核心技术专利:CN118964589B侵权必究
粤ICP备2023148730 号-1Suppr @ 2026

文献检索

告别复杂PubMed语法,用中文像聊天一样搜索,搜遍4000万医学文献。AI智能推荐,让科研检索更轻松。

立即免费搜索

文件翻译

保留排版,准确专业,支持PDF/Word/PPT等文件格式,支持 12+语言互译。

免费翻译文档

深度研究

AI帮你快速写综述,25分钟生成高质量综述,智能提取关键信息,辅助科研写作。

立即免费体验

西洛司特、他达拉非及二者联合用药治疗大鼠野百合碱诱导的肺动脉高压的比较。

Comparison of cilomilast, tadalafil, and both drug combinations in the treatment of monocrotaline-induced pulmonary arterial hypertension in rats.

作者信息

Ermis Necip, Ozhan Onural, Yıldız Azibe, Ulutas Zeynep, Parlakpinar Hakan, Ulu Ahmet, Ates Burhan, Vardi Nigar, Kucukakcali Zeynep, Acet Ahmet

机构信息

Department of Cardiology, Faculty of Medicine, Inonu University, Malatya, Turkey.

Department of Pharmacology, Faculty of Medicine, Inonu University, Malatya, 44280, Turkey.

出版信息

BMC Cardiovasc Disord. 2025 Aug 9;25(1):591. doi: 10.1186/s12872-025-05065-0.

DOI:10.1186/s12872-025-05065-0
PMID:40783516
原文链接:https://pmc.ncbi.nlm.nih.gov/articles/PMC12335037/
Abstract

BACKGROUND

Pulmonary arterial hypertension (PAH) is a progressive disease characterized by endothelial dysfunction and inflammation. This study aimed to evaluate the effects of cilomilast (CIL), a phosphodiesterase-4 inhibitor, and tadalafil (TAD), a phosphodiesterase-5 inhibitor, on PAH induced by monocrotaline (MCT) in rats.

METHODS

Forty Wistar albino rats were divided into five groups: control, MCT, MCT + CIL, MCT + TAD, and MCT + CIL + TAD. PAH was induced via MCT, and treatments were administered orally from days 21 to 35. Hemodynamic parameters, right ventricular pressure (RVP), echocardiographic findings, and histopathological lung and heart tissue changes were assessed. Nitric oxide (NO) levels in lung tissue were also measured.

RESULTS

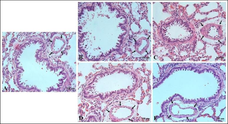
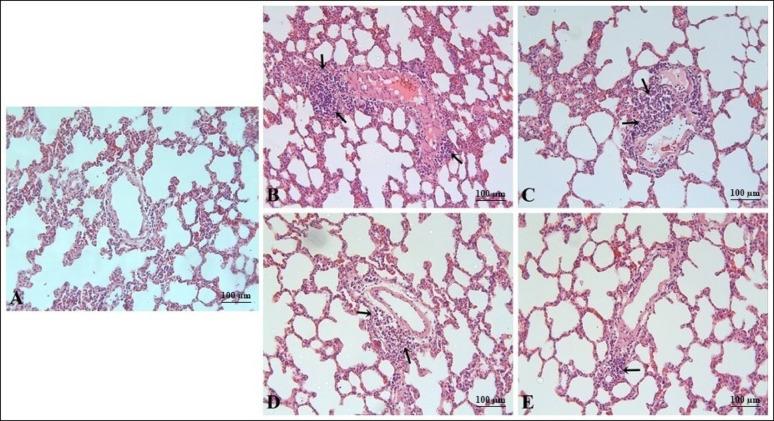
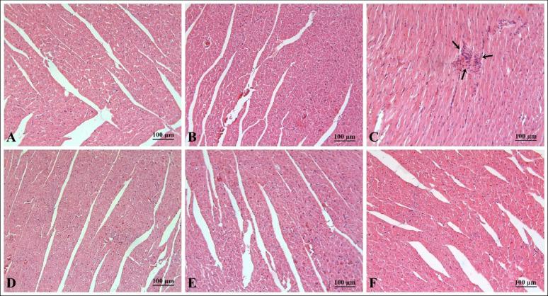
Tissue NO levels were significantly greater in the MCT + CIL + TAD group than in the MCT group (p = 0.01). The RVP was lower in the MCT + TAD and MCT + CIL + TAD groups than in the MCT group (p < 0.05) but not in the MCT + CIL group. Histopathologically, lung perivascular infiltration and pulmonary artery wall thickness were significantly reduced in the MCT + CIL + TAD group, indicating an anti-inflammatory effect. However, CIL alone did not significantly impact pulmonary artery thickening or RVP.

CONCLUSION

CIL alone had no significant effect on PAH progression, but its combination with TAD improved inflammation scores and NO levels. These findings suggest that targeting inflammation alongside vasodilation may offer therapeutic benefits in PAH. Further studies with different doses and PAH models are recommended.

摘要

背景

肺动脉高压(PAH)是一种以血管内皮功能障碍和炎症为特征的进行性疾病。本研究旨在评估磷酸二酯酶-4抑制剂西洛司特(CIL)和磷酸二酯酶-5抑制剂他达拉非(TAD)对大鼠由野百合碱(MCT)诱导的PAH的影响。

方法

将40只Wistar白化大鼠分为五组:对照组、MCT组、MCT + CIL组、MCT + TAD组和MCT + CIL + TAD组。通过MCT诱导PAH,并在第21天至35天口服给药进行治疗。评估血流动力学参数、右心室压力(RVP)、超声心动图检查结果以及肺和心脏组织的组织病理学变化。还测量了肺组织中的一氧化氮(NO)水平。

结果

MCT + CIL + TAD组的组织NO水平显著高于MCT组(p = 0.01)。MCT + TAD组和MCT + CIL + TAD组的RVP低于MCT组(p < 0.05),但MCT + CIL组无此现象。组织病理学显示,MCT + CIL + TAD组的肺血管周围浸润和肺动脉壁厚度显著降低,表明具有抗炎作用。然而,单独使用CIL对肺动脉增厚或RVP没有显著影响。

结论

单独使用CIL对PAH进展没有显著影响,但与TAD联合使用可改善炎症评分和NO水平。这些发现表明,在扩张血管的同时针对炎症可能对PAH具有治疗益处。建议使用不同剂量和PAH模型进行进一步研究。

https://cdn.ncbi.nlm.nih.gov/pmc/blobs/9046/12335037/358c18c1ff78/12872_2025_5065_Fig7_HTML.jpg
https://cdn.ncbi.nlm.nih.gov/pmc/blobs/9046/12335037/31f1d9a88d57/12872_2025_5065_Fig1_HTML.jpg
https://cdn.ncbi.nlm.nih.gov/pmc/blobs/9046/12335037/ddcf81750c1f/12872_2025_5065_Fig2_HTML.jpg
https://cdn.ncbi.nlm.nih.gov/pmc/blobs/9046/12335037/540bb7125422/12872_2025_5065_Fig3_HTML.jpg
https://cdn.ncbi.nlm.nih.gov/pmc/blobs/9046/12335037/d89f21234d90/12872_2025_5065_Fig4_HTML.jpg
https://cdn.ncbi.nlm.nih.gov/pmc/blobs/9046/12335037/c16899fc3c01/12872_2025_5065_Fig5_HTML.jpg
https://cdn.ncbi.nlm.nih.gov/pmc/blobs/9046/12335037/73125e82cb5c/12872_2025_5065_Fig6_HTML.jpg
https://cdn.ncbi.nlm.nih.gov/pmc/blobs/9046/12335037/358c18c1ff78/12872_2025_5065_Fig7_HTML.jpg
https://cdn.ncbi.nlm.nih.gov/pmc/blobs/9046/12335037/31f1d9a88d57/12872_2025_5065_Fig1_HTML.jpg
https://cdn.ncbi.nlm.nih.gov/pmc/blobs/9046/12335037/ddcf81750c1f/12872_2025_5065_Fig2_HTML.jpg
https://cdn.ncbi.nlm.nih.gov/pmc/blobs/9046/12335037/540bb7125422/12872_2025_5065_Fig3_HTML.jpg
https://cdn.ncbi.nlm.nih.gov/pmc/blobs/9046/12335037/d89f21234d90/12872_2025_5065_Fig4_HTML.jpg
https://cdn.ncbi.nlm.nih.gov/pmc/blobs/9046/12335037/c16899fc3c01/12872_2025_5065_Fig5_HTML.jpg
https://cdn.ncbi.nlm.nih.gov/pmc/blobs/9046/12335037/73125e82cb5c/12872_2025_5065_Fig6_HTML.jpg
https://cdn.ncbi.nlm.nih.gov/pmc/blobs/9046/12335037/358c18c1ff78/12872_2025_5065_Fig7_HTML.jpg

相似文献

1
Comparison of cilomilast, tadalafil, and both drug combinations in the treatment of monocrotaline-induced pulmonary arterial hypertension in rats.西洛司特、他达拉非及二者联合用药治疗大鼠野百合碱诱导的肺动脉高压的比较。
BMC Cardiovasc Disord. 2025 Aug 9;25(1):591. doi: 10.1186/s12872-025-05065-0.
2
C-C Motif chemokine receptor-2 blockade ameliorates pulmonary hypertension in rats and synergizes with a pulmonary vasodilator.C-C基序趋化因子受体2阻断可改善大鼠肺动脉高压,并与肺血管扩张剂协同作用。
Cardiovasc Res. 2025 Jul 8;121(7):1076-1090. doi: 10.1093/cvr/cvae244.
3
Sulforaphane Improves Redox Homeostasis and Right Ventricular Contractility in a Model of Pulmonary Hypertension.莱菔硫烷可改善肺动脉高压模型中的氧化还原平衡和右心室收缩功能。
J Cardiovasc Pharmacol. 2024 Jun 1;83(6):612-620. doi: 10.1097/FJC.0000000000001557.
4
Salidroside ameliorates monocrotaline-induced pulmonary arterial hypertension in rats by modulating BKCa channels.红景天苷通过调节大电导钙激活钾通道改善野百合碱诱导的大鼠肺动脉高压。
Eur J Pharmacol. 2025 Oct 5;1004:177950. doi: 10.1016/j.ejphar.2025.177950. Epub 2025 Jul 24.
5
Phosphodiesterase type 5 inhibitor plus endothelin receptor antagonist compared to either alone for group 1 pulmonary arterial hypertension.与单独使用相比,5型磷酸二酯酶抑制剂加内皮素受体拮抗剂用于1型肺动脉高压的治疗
Cochrane Database Syst Rev. 2025 Aug 4;8(8):CD015824. doi: 10.1002/14651858.CD015824.pub2.
6
Exploring Integrin α5β1 as a Potential Therapeutic Target for Pulmonary Arterial Hypertension: Insights From Comprehensive Multicenter Preclinical Studies.探索整合素α5β1作为肺动脉高压潜在治疗靶点:来自多中心综合临床前研究的见解
Circulation. 2025 Apr 22;151(16):1162-1183. doi: 10.1161/CIRCULATIONAHA.124.070693. Epub 2025 Jan 20.
7
Macitentan and Tadalafil Combination Therapy in Patients with Pulmonary Arterial Hypertension and Cardiovascular Comorbidities: Real-World Evidence from OPUS and OrPHeUS.马昔腾坦与他达拉非联合治疗肺动脉高压合并心血管疾病患者:来自OPUS和OrPHeUS的真实世界证据
Adv Ther. 2025 May 19. doi: 10.1007/s12325-025-03180-0.
8
Activated factor X inhibition ameliorates NF-κB-IL-6-mediated perivascular inflammation and pulmonary hypertension.活化因子X抑制可改善NF-κB-IL-6介导的血管周围炎症和肺动脉高压。
Am J Physiol Lung Cell Mol Physiol. 2025 Jul 1;329(1):L183-L196. doi: 10.1152/ajplung.00303.2024. Epub 2025 Jun 13.
9
Effects of masitinib compared with tadalafil for the treatment of monocrotaline-induced pulmonary arterial hypertension in rats.马替尼与他达拉非治疗野百合碱诱导的大鼠肺动脉高压的效果比较。
Vascul Pharmacol. 2019 Nov-Dec;122-123:106599. doi: 10.1016/j.vph.2019.106599. Epub 2019 Oct 17.
10
Colchicine as a therapeutic possibility for the treatment of pulmonary arterial hypertension (PAH) in a rat model.秋水仙碱作为大鼠模型中治疗肺动脉高压(PAH)的一种治疗可能性。
Biochem Pharmacol. 2025 Sep;239:117058. doi: 10.1016/j.bcp.2025.117058. Epub 2025 Jun 24.

本文引用的文献

1
Emerging Mechanistic Insights and Therapeutic Strategies for Pulmonary Arterial Hypertension: A Focus on Right Ventricular Dysfunction and Novel Treatment Pathways.肺动脉高压的新兴机制见解与治疗策略:聚焦右心室功能障碍和新型治疗途径
Biomedicines. 2025 Mar 1;13(3):600. doi: 10.3390/biomedicines13030600.
2
Alamandin and especially melatonin attenuate pulmonary arterial hypertension induced by monocrotalin.阿拉曼丁和褪黑素尤其能减轻野百合碱诱导的肺动脉高压。
Fundam Clin Pharmacol. 2024 Dec;38(6):1143-1154. doi: 10.1111/fcp.13033. Epub 2024 Aug 11.
3
Monocrotaline-induced pulmonary arterial hypertension: Time-course of injury and comparative evaluation of macitentan and Y-27632, a Rho kinase inhibitor.
野百合碱诱导的肺动脉高压:损伤的时程和马昔腾坦与 Rho 激酶抑制剂 Y-27632 的比较评价。
Eur J Pharmacol. 2019 Dec 15;865:172777. doi: 10.1016/j.ejphar.2019.172777. Epub 2019 Nov 4.
4
Therapeutic potential of phosphodiesterase type 5 inhibitors in heart failure with preserved ejection fraction and combined post- and pre-capillary pulmonary hypertension.磷酸二酯酶 5 抑制剂在射血分数保留的心力衰竭伴合并毛细血管后和毛细血管前肺动脉高压中的治疗潜力。
Int J Cardiol. 2019 May 15;283:152-158. doi: 10.1016/j.ijcard.2018.12.078. Epub 2019 Jan 4.
5
Pathology and pathobiology of pulmonary hypertension: state of the art and research perspectives.肺动脉高压的病理学和病理生物学:现状和研究展望。
Eur Respir J. 2019 Jan 24;53(1). doi: 10.1183/13993003.01887-2018. Print 2019 Jan.
6
Proteinase-activated receptor 1 antagonism ameliorates experimental pulmonary hypertension.蛋白酶激活受体 1 拮抗剂改善实验性肺动脉高压。
Cardiovasc Res. 2019 Jul 1;115(8):1357-1368. doi: 10.1093/cvr/cvy284.
7
Pulmonary Arterial Hypertension: Pathophysiology and Treatment.肺动脉高压:病理生理学与治疗
Diseases. 2018 May 16;6(2):38. doi: 10.3390/diseases6020038.
8
Effect of roflumilast on chronic obstructive pulmonary disease: a systematic review and meta-analysis.罗氟司特对慢性阻塞性肺疾病的影响:一项系统评价和荟萃分析。
Ir J Med Sci. 2018 Aug;187(3):731-738. doi: 10.1007/s11845-018-1738-9. Epub 2018 Feb 3.
9
The inflammatory cell landscape in the lungs of patients with idiopathic pulmonary arterial hypertension.特发性肺动脉高压患者肺部的炎症细胞图谱。
Eur Respir J. 2018 Jan 25;51(1). doi: 10.1183/13993003.01214-2017. Print 2018 Jan.
10
Standardization of adult transthoracic echocardiography reporting in agreement with recent chamber quantification, diastolic function, and heart valve disease recommendations: an expert consensus document of the European Association of Cardiovascular Imaging.成人经胸超声心动图报告标准化与最近的腔室定量、舒张功能和心脏瓣膜病建议一致:欧洲心血管影像协会的专家共识文件。
Eur Heart J Cardiovasc Imaging. 2017 Dec 1;18(12):1301-1310. doi: 10.1093/ehjci/jex244.