• 文献检索
  • 文档翻译
  • 深度研究
  • 学术资讯
  • Suppr Zotero 插件Zotero 插件
  • 邀请有礼
  • 套餐&价格
  • 历史记录
应用&插件
Suppr Zotero 插件Zotero 插件浏览器插件Mac 客户端Windows 客户端微信小程序
定价
高级版会员购买积分包购买API积分包
服务
文献检索文档翻译深度研究API 文档MCP 服务
关于我们
关于 Suppr公司介绍联系我们用户协议隐私条款
关注我们

Suppr 超能文献

核心技术专利:CN118964589B侵权必究
粤ICP备2023148730 号-1Suppr @ 2026

文献检索

告别复杂PubMed语法,用中文像聊天一样搜索,搜遍4000万医学文献。AI智能推荐,让科研检索更轻松。

立即免费搜索

文件翻译

保留排版,准确专业,支持PDF/Word/PPT等文件格式,支持 12+语言互译。

免费翻译文档

深度研究

AI帮你快速写综述,25分钟生成高质量综述,智能提取关键信息,辅助科研写作。

立即免费体验

克罗恩病中肠系膜脂肪的计算机断层扫描成像特征与炎症活动的相关性

Correlation between computed tomography imaging features of mesenteric fat and inflammatory activity in Crohn's disease.

作者信息

Hu Xiao, Ding Jie-Jie, Qian Nian-Xia, Liu Xiao-Dong

机构信息

Department of Radiology, Tongling Municipal Hospital, Tongling, China.

Department of Gastroenterology, Tongling Municipal Hospital, Tongling, China.

出版信息

Quant Imaging Med Surg. 2025 Aug 1;15(8):6910-6922. doi: 10.21037/qims-2024-2606. Epub 2025 Jul 29.

DOI:10.21037/qims-2024-2606
PMID:40785871
原文链接:https://pmc.ncbi.nlm.nih.gov/articles/PMC12332658/
Abstract

BACKGROUND

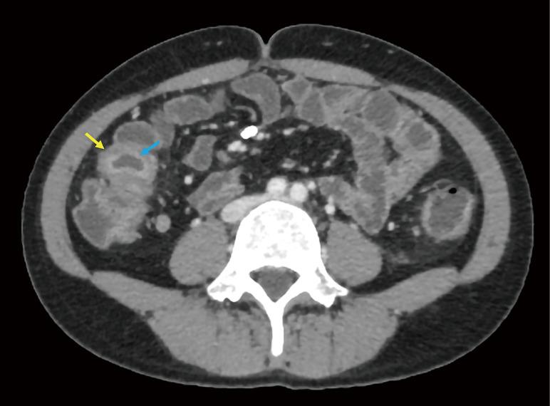
Creeping fat (CF), a characteristic structure of Crohn's disease (CD), is closely associated with surgery and prognosis but lacks a unified imaging assessment standard, and endoscopic and serological indicators have limitations in evaluating extra-intestinal lesions. The study aimed to explore the correlation between computed tomography (CT) value distribution changes of mesenteric-surrounding fat in CD and disease activity.

METHODS

In this study, we retrospectively analyzed CT enterography (CTE) images from 47 pathologically confirmed CD patients and 25 randomly selected controls with suspected inflammatory bowel disease (IBD). Quantitative measurements were obtained for mesenteric adipose tissue density (mean of CT values) along key anatomical landmarks including the mesenteric root, superior mesenteric artery, inferior mesenteric artery, perilesional regions, intestinal stricture, and adjacent branching vascular spaces. Other evaluated parameters included bowel wall thickness, CT attenuation, enhancement patterns, and CF grading. Qualitative evaluations were made by comparing with endoscopic, serological, and histopathological results and simplified CD activity index (CDAI) scores. A patient with concurrent anal fistula underwent magnetic resonance imaging (MRI) examination to compare its detection efficiency of fistula with that of CT examination.

RESULTS

Significant inter-group differences were found in non-contrast mesenteric fat attenuation, mean ΔCT (difference in Hounsfield units between contrast-enhanced CT and non-contrast CT scans) enhancement, bowel wall thickening, mucosal enhancement, CF grading, intestinal stricture, and serological parameters (P<0.05). The moderate-to-severe activity group had the highest mesenteric fat density in the venous phase [mean ΔCT >20 Hounsfield units (HU), P<0.05], especially around lesions. There was a positive correlation between mesenteric fat CT values and images of diseased bowel segments. The mean value of the venous phase ΔCT of the lesion and the mean of the intestinal wall venous phase ΔCT value and intestinal wall stratification were positively correlated (>0.6, P<0.05). ROC analysis showed that the venous-phase ΔCT of perilesional adipose tissue had excellent diagnostic performance [area under the curve (AUC) =0.964] for moderate-to-severe activity CD, with 95.8% sensitivity and 87.5% specificity. The diagnostic efficacy of the venous phase in the vascular space around the lesion ranked second (AUC =0.943). MRI showed superior detection of the anal fistula to that of CT in one patient. Multivariate analysis confirmed it as an independent predictor for moderate-to-severe active CD (P<0.05).

CONCLUSIONS

Changes in mesenteric adipose tissue CT values and CF classification can distinguish CD from other IBD, suggesting their utility as another noninvasive diagnostic method for predicting the inflammatory activity of CD and evaluating the scope of surgery.

https://cdn.ncbi.nlm.nih.gov/pmc/blobs/b267/12332658/5b35ffe94ef0/qims-15-08-6910-f7.jpg
https://cdn.ncbi.nlm.nih.gov/pmc/blobs/b267/12332658/a36af6774d8f/qims-15-08-6910-f1.jpg
https://cdn.ncbi.nlm.nih.gov/pmc/blobs/b267/12332658/4c957a44ff9b/qims-15-08-6910-f2.jpg
https://cdn.ncbi.nlm.nih.gov/pmc/blobs/b267/12332658/4966d0dc0ab0/qims-15-08-6910-f3.jpg
https://cdn.ncbi.nlm.nih.gov/pmc/blobs/b267/12332658/b0551266d51a/qims-15-08-6910-f4.jpg
https://cdn.ncbi.nlm.nih.gov/pmc/blobs/b267/12332658/d7f07654f0a3/qims-15-08-6910-f5.jpg
https://cdn.ncbi.nlm.nih.gov/pmc/blobs/b267/12332658/f5729abeaf3b/qims-15-08-6910-f6.jpg
https://cdn.ncbi.nlm.nih.gov/pmc/blobs/b267/12332658/5b35ffe94ef0/qims-15-08-6910-f7.jpg
https://cdn.ncbi.nlm.nih.gov/pmc/blobs/b267/12332658/a36af6774d8f/qims-15-08-6910-f1.jpg
https://cdn.ncbi.nlm.nih.gov/pmc/blobs/b267/12332658/4c957a44ff9b/qims-15-08-6910-f2.jpg
https://cdn.ncbi.nlm.nih.gov/pmc/blobs/b267/12332658/4966d0dc0ab0/qims-15-08-6910-f3.jpg
https://cdn.ncbi.nlm.nih.gov/pmc/blobs/b267/12332658/b0551266d51a/qims-15-08-6910-f4.jpg
https://cdn.ncbi.nlm.nih.gov/pmc/blobs/b267/12332658/d7f07654f0a3/qims-15-08-6910-f5.jpg
https://cdn.ncbi.nlm.nih.gov/pmc/blobs/b267/12332658/f5729abeaf3b/qims-15-08-6910-f6.jpg
https://cdn.ncbi.nlm.nih.gov/pmc/blobs/b267/12332658/5b35ffe94ef0/qims-15-08-6910-f7.jpg
摘要

背景

匐行脂肪(CF)是克罗恩病(CD)的一种特征性结构,与手术及预后密切相关,但缺乏统一的影像学评估标准,且内镜及血清学指标在评估肠外病变方面存在局限性。本研究旨在探讨CD患者肠系膜周围脂肪的计算机断层扫描(CT)值分布变化与疾病活动度之间的相关性。

方法

本研究回顾性分析了47例经病理证实的CD患者及25例随机选取的疑似炎症性肠病(IBD)对照者的CT小肠造影(CTE)图像。对肠系膜根部、肠系膜上动脉、肠系膜下动脉、病变周围区域、肠狭窄及相邻分支血管间隙等关键解剖标志处的肠系膜脂肪组织密度(CT值均值)进行定量测量。其他评估参数包括肠壁厚度、CT衰减、强化模式及CF分级。通过与内镜、血清学及组织病理学结果和简化的CD活动指数(CDAI)评分进行比较进行定性评估。1例并发肛瘘的患者接受了磁共振成像(MRI)检查,以比较其对肛瘘的检测效率与CT检查的检测效率。

结果

在平扫肠系膜脂肪衰减、平均ΔCT(增强CT与平扫CT扫描之间亨氏单位的差值)强化、肠壁增厚、黏膜强化、CF分级、肠狭窄及血清学参数方面,组间差异有统计学意义(P<0.05)。中重度活动组在静脉期肠系膜脂肪密度最高[平均ΔCT>20亨氏单位(HU),P<0.05],尤其是在病变周围。肠系膜脂肪CT值与病变肠段图像之间存在正相关。病变静脉期ΔCT均值与肠壁静脉期ΔCT值均值及肠壁分层呈正相关(>0.6,P<0.05)。ROC分析显示,病变周围脂肪组织的静脉期ΔCT对中重度活动期CD具有出色的诊断性能[曲线下面积(AUC)=0.964],敏感性为95.8%,特异性为87.5%。病变周围血管间隙静脉期的诊断效能排名第二(AUC =0.943)。1例患者中,MRI对肛瘘的检测显示出优于CT的性能。多因素分析证实其为中重度活动期CD的独立预测指标(P<0.05)。

结论

肠系膜脂肪组织CT值变化及CF分级可将CD与其他IBD区分开来,提示其作为预测CD炎症活动度及评估手术范围的另一种非侵入性诊断方法的实用性。

相似文献

1
Correlation between computed tomography imaging features of mesenteric fat and inflammatory activity in Crohn's disease.克罗恩病中肠系膜脂肪的计算机断层扫描成像特征与炎症活动的相关性
Quant Imaging Med Surg. 2025 Aug 1;15(8):6910-6922. doi: 10.21037/qims-2024-2606. Epub 2025 Jul 29.
2
Stem cell transplantation for induction of remission in medically refractory Crohn's disease.干细胞移植治疗药物难治性克罗恩病诱导缓解。
Cochrane Database Syst Rev. 2022 May 13;5(5):CD013070. doi: 10.1002/14651858.CD013070.pub2.
3
Integrating Gut Microbiome and Metabolomics with Magnetic Resonance Enterography to Advance Bowel Damage Prediction in Crohn's Disease.整合肠道微生物组和代谢组学与磁共振肠造影术以推进克罗恩病肠道损伤预测
J Inflamm Res. 2025 Jun 11;18:7631-7649. doi: 10.2147/JIR.S524671. eCollection 2025.
4
Do Hounsfield Units From Intraoperative CT Scans Correlate With Preoperative Values?术中 CT 扫描的 Hounsfield 单位与术前值相关吗?
Clin Orthop Relat Res. 2024 Oct 1;482(10):1885-1892. doi: 10.1097/CORR.0000000000003122. Epub 2024 May 9.
5
Interventions for the management of abdominal pain in Crohn's disease and inflammatory bowel disease.干预措施用于克罗恩病和炎症性肠病的腹痛管理。
Cochrane Database Syst Rev. 2021 Nov 29;11(11):CD013531. doi: 10.1002/14651858.CD013531.pub2.
6
Machine Learning Models Based on CT Enterography for Differentiating Between Ulcerative Colitis and Colonic Crohn's Disease Using Intestinal Wall, Mesenteric Fat, and Visceral Fat Features.基于CT小肠造影的机器学习模型,利用肠壁、肠系膜脂肪和内脏脂肪特征鉴别溃疡性结肠炎和结肠克罗恩病
Acad Radiol. 2025 Jun 23. doi: 10.1016/j.acra.2025.06.005.
7
Azathioprine and 6-mercaptopurine for maintenance of surgically-induced remission in Crohn's disease.硫唑嘌呤和6-巯基嘌呤用于维持克罗恩病手术诱导的缓解状态
Cochrane Database Syst Rev. 2014 Aug 1;2014(8):CD010233. doi: 10.1002/14651858.CD010233.pub2.
8
Diagnostic value of dual-energy computed tomography in irreversible transmural intestinal necrosis in patients with acute occlusive mesenteric ischemia.双能计算机断层扫描对急性肠系膜缺血性闭塞患者不可逆透壁性肠坏死的诊断价值
World J Gastrointest Surg. 2025 Jul 27;17(7):105956. doi: 10.4240/wjgs.v17.i7.105956.
9
PET-CT for assessing mediastinal lymph node involvement in patients with suspected resectable non-small cell lung cancer.正电子发射断层显像-计算机断层扫描用于评估疑似可切除非小细胞肺癌患者的纵隔淋巴结受累情况。
Cochrane Database Syst Rev. 2014 Nov 13;2014(11):CD009519. doi: 10.1002/14651858.CD009519.pub2.
10
CALCULATION OF TOTAL ENERGY EXPENDITURE IN ADULTS WITH CROHN'S DISEASE BY INDIRECT CALORIMETRY AND SIMPLE WEIGHT-BASED EQUATIONS: A COMPARATIVE STUDY.通过间接测热法和基于体重的简单公式计算克罗恩病成年患者的总能量消耗:一项对比研究
Arq Gastroenterol. 2025 Jun 16;62:e24122. doi: 10.1590/S0004-2803.24612024-122. eCollection 2025.

本文引用的文献

1
Measurements on slope parameter mapping based on dual-energy CT enterography for improving Crohn's disease diagnosis and inflammatory activity evaluation.基于双能CT小肠造影的斜率参数映射测量对改善克罗恩病诊断及炎症活动度评估的研究
Sci Rep. 2025 Jan 2;15(1):429. doi: 10.1038/s41598-024-84705-5.
2
Integrative multi-omics analysis of Crohn's disease and metabolic syndrome: Unveiling the underlying molecular mechanisms of comorbidity.克罗恩病与代谢综合征的整合多组学分析:揭示共病的潜在分子机制
Comput Biol Med. 2025 Jan;184:109365. doi: 10.1016/j.compbiomed.2024.109365. Epub 2024 Nov 14.
3
The role of new inflammatory indices in the prediction of endoscopic and histological activity in inflammatory bowel disease patients.
新型炎症指标在炎症性肠病患者内镜及组织学活动度预测中的作用
Eur J Gastroenterol Hepatol. 2025 Jan 1;37(1):24-32. doi: 10.1097/MEG.0000000000002842. Epub 2024 Sep 12.
4
2023 Chinese national clinical practice guideline on diagnosis and management of Crohn's disease.《2023年中国克罗恩病诊断与治疗临床实践指南》
Chin Med J (Engl). 2024 Jul 20;137(14):1647-1650. doi: 10.1097/CM9.0000000000003222. Epub 2024 Jul 2.
5
CT energy spectral parameters of creeping fat in Crohn's disease and correlation with inflammatory activity.克罗恩病中匐行脂肪的CT能谱参数及其与炎症活动的相关性
Insights Imaging. 2024 Jan 17;15(1):10. doi: 10.1186/s13244-023-01592-6.
6
Visceral adipose tissue volume effect in Crohn's disease using reduced exposure CT enterography.采用低剂量 CT 肠造影术评估克罗恩病患者内脏脂肪组织容量的效果。
J Appl Clin Med Phys. 2024 Jan;25(1):e14235. doi: 10.1002/acm2.14235. Epub 2023 Dec 7.
7
Creeping Fat in Crohn's Disease-Surgical, Histological, and Radiological Approaches.克罗恩病中的匐行脂肪——手术、组织学及放射学研究方法
J Pers Med. 2023 Jun 21;13(7):1029. doi: 10.3390/jpm13071029.
8
CT enterography for evaluation of disease activity in patients with ileocolonic Crohn's disease.CT 肠造影用于评估回肠结肠型克罗恩病患者的疾病活动度。
BMC Gastroenterol. 2022 Jun 30;22(1):324. doi: 10.1186/s12876-022-02389-5.
9
Predicting Risk of Surgery in Patients With Small Bowel Crohn's Disease Strictures Using Computed Tomography and Magnetic Resonance Enterography.使用计算机断层扫描和磁共振肠造影术预测小肠克罗恩病狭窄患者的手术风险。
Inflamm Bowel Dis. 2022 Nov 2;28(11):1677-1686. doi: 10.1093/ibd/izab332.
10
Diagnostic accuracy of CT enterography correlated to histopathology in the diagnosis of small bowel Crohn's disease.CT小肠造影在小肠克罗恩病诊断中与组织病理学相关的诊断准确性。
Ir J Med Sci. 2022 Dec;191(6):2605-2610. doi: 10.1007/s11845-021-02917-4. Epub 2022 Jan 8.