Suppr超能文献

两名术后10年无复发的年轻患者出现小肠溃疡

Small Intestinal Ulceration in Two Recurrence-Free Young Patients at 10 Years Postoperatively.

作者信息

Masuda Taiki, Aoyagi Yasuko, Arai Sodai, Nishiyama Yu, Inokuchi Mikito

机构信息

Department of Surgery, Musashino Red Cross Hospital, Tokyo, JPN.

Department of Surgery, Tokyo Metropolitan Otsuka Hospital, Tokyo, JPN.

出版信息

Cureus. 2025 Jul 13;17(7):e87856. doi: 10.7759/cureus.87856. eCollection 2025 Jul.

Abstract

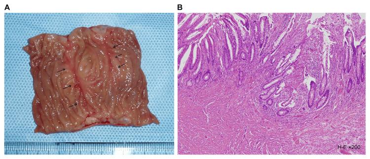
Small intestinal ulcers are occasionally observed in daily medical practice, and although diagnostic abilities have improved in recent years and the disease pathogenesis has been elucidated, recurrence remains common, requiring proper therapeutic intervention. Herein, we report two cases of small intestine ulceration in young patients who did not experience recurrence for a long period of time after appropriate treatment at disease onset. Case 1 was of a 34-year-old woman who had been taking diclofenac sodium. She was diagnosed with intestinal obstruction through abdominal computed tomography (CT). The patient underwent partial resection of the obstructed ileum. Histopathological examination revealed fibrosis in the submucosa, leading to a diagnosis of stenosis secondary to drug-induced small intestinal ulceration caused by nonsteroidal anti-inflammatory drugs (NSAIDs). Postoperatively, the NSAIDs were changed to a selective COX-2 inhibitor (celecoxib). Case 2 was of a 33-year-old man who underwent emergency surgery after an abdominal CT revealed free air. A perforation was found in the small intestine, and the area was resected. Histopathological examination revealed only nonspecific inflammatory findings, leading to a diagnosis of perforation due to a simple small intestinal ulcer. No recurrence was observed in 10 years in both cases. Thus, appropriate management of simple, nonmalignant small intestinal ulcers at initial presentation could be the only treatment needed, with long postoperative recurrence-free periods. These cases demonstrated that proper management of simple, nonmalignant small intestinal ulcers at the initial presentation can be the only treatment needed for long postoperative recurrence-free periods. With an aging society and improved diagnostic capabilities, small intestinal ulcers may become more common in the future. Therefore, the possibility of small intestinal ulceration should be considered when diagnosing ulcerative lesions of the gastrointestinal tract, such as acute abdomen.

摘要

小肠溃疡在日常医疗实践中偶尔可见,尽管近年来诊断能力有所提高且疾病发病机制已得到阐明,但复发仍然很常见,需要适当的治疗干预。在此,我们报告两例年轻患者的小肠溃疡病例,他们在疾病发作时接受适当治疗后很长一段时间内未复发。病例1为一名34岁服用双氯芬酸钠的女性。通过腹部计算机断层扫描(CT)诊断为肠梗阻。患者接受了梗阻回肠的部分切除术。组织病理学检查显示黏膜下层纤维化,导致诊断为非甾体抗炎药(NSAIDs)引起的药物性小肠溃疡继发狭窄。术后,将NSAIDs更换为选择性COX-2抑制剂(塞来昔布)。病例2为一名33岁男性,腹部CT显示有游离气体后接受了急诊手术。在小肠发现一个穿孔,并对该区域进行了切除。组织病理学检查仅显示非特异性炎症表现,导致诊断为单纯性小肠溃疡穿孔。两例患者在10年内均未观察到复发。因此,在初次就诊时对单纯性、非恶性小肠溃疡进行适当管理可能是唯一需要的治疗方法,术后复发-free期较长。这些病例表明,在初次就诊时对单纯性、非恶性小肠溃疡进行适当管理可能是术后长期无复发所需的唯一治疗方法。随着社会老龄化和诊断能力的提高,小肠溃疡在未来可能会变得更加常见。因此,在诊断胃肠道溃疡性病变(如急腹症)时应考虑小肠溃疡的可能性。

https://cdn.ncbi.nlm.nih.gov/pmc/blobs/c2fd/12343158/a5b9743f572f/cureus-0017-00000087856-i01.jpg

相似文献

1
Small Intestinal Ulceration in Two Recurrence-Free Young Patients at 10 Years Postoperatively.
Cureus. 2025 Jul 13;17(7):e87856. doi: 10.7759/cureus.87856. eCollection 2025 Jul.
3
Tolerability of selective cyclooxygenase 2 inhibitors used for the treatment of rheumatological manifestations of inflammatory bowel disease.
Cochrane Database Syst Rev. 2014 Oct 23;2014(10):CD007744. doi: 10.1002/14651858.CD007744.pub2.
5
The Black Book of Psychotropic Dosing and Monitoring.
Psychopharmacol Bull. 2024 Jul 8;54(3):8-59.
6
Systemic pharmacological treatments for chronic plaque psoriasis: a network meta-analysis.
Cochrane Database Syst Rev. 2017 Dec 22;12(12):CD011535. doi: 10.1002/14651858.CD011535.pub2.
7
Non-steroidal anti-inflammatory drugs versus corticosteroids for controlling inflammation after uncomplicated cataract surgery.
Cochrane Database Syst Rev. 2017 Jul 3;7(7):CD010516. doi: 10.1002/14651858.CD010516.pub2.
8
Oral aspirin for treating venous leg ulcers.
Cochrane Database Syst Rev. 2016 Feb 18;2(2):CD009432. doi: 10.1002/14651858.CD009432.pub2.
9
Dietary interventions for recurrent abdominal pain in childhood.
Cochrane Database Syst Rev. 2017 Mar 23;3(3):CD010972. doi: 10.1002/14651858.CD010972.pub2.
10
Systemic pharmacological treatments for chronic plaque psoriasis: a network meta-analysis.
Cochrane Database Syst Rev. 2021 Apr 19;4(4):CD011535. doi: 10.1002/14651858.CD011535.pub4.

本文引用的文献

2
[A case of small intestinal ulcer caused by non-steroidal anti-inflammatory drugs patch].
Nihon Shokakibyo Gakkai Zasshi. 2019;116(2):145-152. doi: 10.11405/nisshoshi.116.145.
3
Multiple Colon Ulcers with Typical Small Intestinal Lesions Induced by Non-Steroidal Anti-Inflammatory Drugs.
Intern Med. 2015;54(16):1995-9. doi: 10.2169/internalmedicine.54.3919. Epub 2015 Aug 15.
4
Aspirin-induced small bowel injuries and the preventive effect of rebamipide.
World J Gastroenterol. 2011 Dec 14;17(46):5117-22. doi: 10.3748/wjg.v17.i46.5117.
8
Diaphragm disease: complete small bowel obstruction after long-term nonsteroidal anti-inflammatory drugs use.
Ann Diagn Pathol. 2005 Jun;9(3):169-73. doi: 10.1016/j.anndiagpath.2005.03.004.
9
Adverse upper gastrointestinal effects of rofecoxib compared with NSAIDs.
JAMA. 1999 Nov 24;282(20):1929-33. doi: 10.1001/jama.282.20.1929.

文献AI研究员

20分钟写一篇综述,助力文献阅读效率提升50倍。

立即体验

用中文搜PubMed

大模型驱动的PubMed中文搜索引擎

马上搜索

文档翻译

学术文献翻译模型,支持多种主流文档格式。

立即体验