Li Yongmei, He Zheng, Wu Fengjiao, Li Jialin, Wang Chengcheng
Department of Clinical Pharmacy, Chengyang People's Hospital, Qingdao, China.
Department of Neurosurgery, Qilu Hospital (Qingdao), Cheeloo College of Medicine, Shandong University, Qingdao, China.
Front Med (Lausanne). 2025 Jul 30;12:1605284. doi: 10.3389/fmed.2025.1605284. eCollection 2025.
Invasive liver abscess syndrome (ILAS) caused by hypervirulent (hvKp) is a life-threatening infection associated with high mortality, particularly when complicated by brain abscesses. The emergence of carbapenem-resistant hypervirulent (CR-hvKp) during treatment, driven by emerging resistance, poses significant therapeutic challenges.
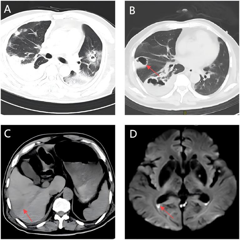
We describe a 70-year-old diabetic male with recurrent ILAS who developed sequential multi-organ infections, including urinary tract infection, bacteremia, lung abscess, and brain abscess. Initial isolates were identified as carbapenem-susceptible; however, under prolonged antimicrobial pressure, they were transformed into CR-hvKp carrying the KPC gene. Treatment escalated from meropenem to ceftazidime-avibactam plus tigecycline, resulting in clinical improvement and discharge after 48 days.
This case highlights the critical challenge of emerging resistance in hvKp during prolonged therapy, emphasizing the need for early molecular surveillance, multidisciplinary collaboration, and optimized antibiotic stewardship to mitigate treatment failure in ILAS.
高毒力肺炎克雷伯菌(hvKp)引起的侵袭性肝脓肿综合征(ILAS)是一种危及生命的感染,死亡率很高,尤其是并发脑脓肿时。治疗期间,由于新出现的耐药性,碳青霉烯类耐药高毒力肺炎克雷伯菌(CR-hvKp)的出现带来了重大的治疗挑战。
我们描述了一名70岁的糖尿病男性,患有复发性ILAS,并发了包括尿路感染、菌血症、肺脓肿和脑脓肿在内的一系列多器官感染。最初分离出的菌株被鉴定为对碳青霉烯类敏感;然而,在长期抗菌压力下,它们转变为携带KPC基因的CR-hvKp。治疗从美罗培南升级为头孢他啶-阿维巴坦联合替加环素,48天后临床症状改善并出院。
该病例凸显了长期治疗期间hvKp新出现的耐药性这一关键挑战,强调需要进行早期分子监测、多学科协作以及优化抗生素管理,以减少ILAS治疗失败的情况。