Suppr超能文献

病例报告:静脉药物滥用患者的复杂三尖瓣修复及右心室内异物取出术——早期诊断与治疗考量

Case Report: Complex tricuspid valve repair and entrapped right ventricle foreign body extraction in an IVDU patient-early diagnosis and treatment considerations.

作者信息

Blindaru Andreea, Copciag Ruxandra, Anghel Florin, Danet Andrei, Isailă Radu, Borjog Tudor, Andronic Anca, Vinereanu Dragos, Badiu Catalin-Constantin

机构信息

Department of Cardiovascular Surgery, University Emergency Hospital Bucharest, Bucharest, Romania.

Faculty of Medicine, Carol Davila University of Medicine and Pharmacy, Bucharest, Romania.

出版信息

Front Cardiovasc Med. 2025 Jul 31;12:1607408. doi: 10.3389/fcvm.2025.1607408. eCollection 2025.

Abstract

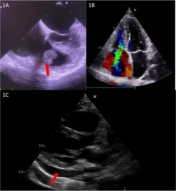
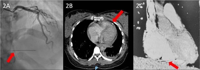
We report the case of a 39-year-old pregnant woman with a history of drug abuse who was admitted to the cardiology department with a diagnosis of tricuspid valve endocarditis. After the multidisciplinary team decided on a conservative treatment with antibiotherapy, the pregnancy was closely monitored. After 4 weeks of treatment, the patient developed extreme thoracic pain and pericardial effusion that was considered infectious and did not require urgent surgery. One month after giving birth to her baby, the patient was admitted to our hospital for the completion of the preoperative protocol. During this admission, multimodal imaging revealed a penetrating metallic foreign body in the wall of the right ventricle. The patient was finally admitted to the Cardiovascular Surgery Unit, where she underwent surgical removal of the foreign body and a complex tricuspid valve repair. The postoperative course was uneventful, and our patient was discharged from the ICU 2 days later.

摘要

我们报告了一例39岁有药物滥用史的孕妇,她因诊断为三尖瓣心内膜炎而入住心内科。在多学科团队决定采用抗生素进行保守治疗后,对该孕妇进行了密切监测。治疗4周后,患者出现极度胸痛和心包积液,考虑为感染性,无需紧急手术。在生下婴儿一个月后,患者因完成术前方案而入住我院。在此期间,多模态成像显示右心室壁有一个穿透性金属异物。患者最终入住心血管外科病房,在那里接受了异物手术取出及复杂的三尖瓣修复。术后过程顺利,患者于2天后从重症监护病房出院。

https://cdn.ncbi.nlm.nih.gov/pmc/blobs/4e38/12350336/6442ff2c0123/fcvm-12-1607408-g001.jpg

文献检索

告别复杂PubMed语法,用中文像聊天一样搜索,搜遍4000万医学文献。AI智能推荐,让科研检索更轻松。

立即免费搜索

文件翻译

保留排版,准确专业,支持PDF/Word/PPT等文件格式,支持 12+语言互译。

免费翻译文档

深度研究

AI帮你快速写综述,25分钟生成高质量综述,智能提取关键信息,辅助科研写作。

立即免费体验