Suppr超能文献

沉默调节蛋白1通过减少组蛋白三甲基化增加衣康酸丰度来减轻草酸钙肾病。

Sirtuin1 mitigation of calcium oxalate nephropathy via enhancing itaconate abundance through reduction of histone trimethylation.

作者信息

Yao Xiangyang, Liu Haoran, Duan Chen, Zhang Yangjun, Wu Xiaoliang, Li Bo, Li Sheng, Gong Yan, Liu Tongzu, Wang Xinghuan, Xu Hua

机构信息

Department of Urology, Zhongnan Hospital of Wuhan University, Wuhan, China.

Department of Urology, The First Affiliated Hospital of Anhui Medical University, Hefei, China.

出版信息

Clin Transl Med. 2025 Aug;15(8):e70450. doi: 10.1002/ctm2.70450.

Abstract

BACKGROUND

Clinical therapeutic approaches to prevent and treat renal injury in patients with acute kidney injury (AKI) and chronic kidney disease (CKD) induced by calcium oxalate (CaOx) are limited. As a pivotal deacetylase, Sirtuin1 (Sirt1) exhibits notably anti-inflammatory effects, but its metabolic mechanism in regulating CaOx nephropathy remains unexplored.

METHODS

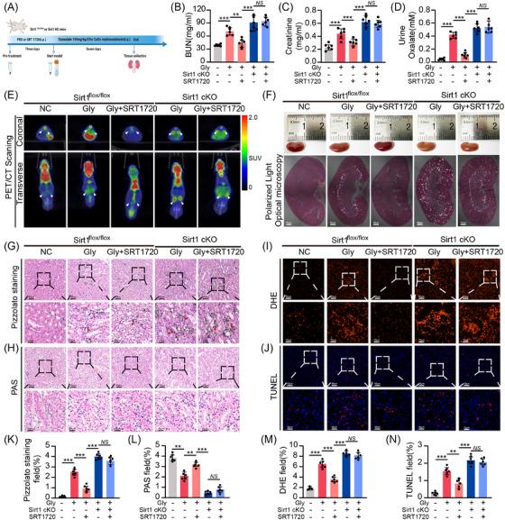
We analysed organic acid metabolism in kidney using the nontargeted metabolome and identified key targets by RNA-seq. Evaluate renal injury and oxidative stress using techniques such as Positron Emission Tomography-Computed Tomography (PET/CT) and transmission electron microscope. The protective mechanisms of Sirt1 against CaOx-induced kidney injury and subsequent crystal deposition were demonstrated using in vitro coculture systems and in vivo Sirt1 conditional knockout mice.

RESULTS

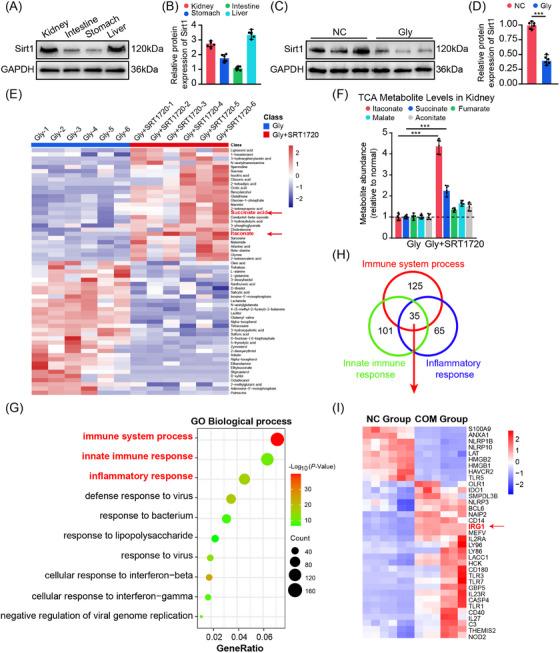
We found that Sirt1 has a significant protective effect on renal injury and oxidative stress induced by CaOx. Sirt1 expression decreases in CaOx nephropathy mice, and activation of Sirt1 reduces CaOx-induced kidney injury and crystal deposition by increasing the level of itaconate. In addition, it was found that Sirt1 enhances immunoresponsive gene 1 and inhibits Sdha by trimethylating histones, thereby regulating the oxidation levels of itaconate and succinate. Furthermore, we emphasise the valuable role of Sirt1 agonists and exogenous itaconate in alleviating crystal induced kidney injury.

CONCLUSIONS

Our study revealed a previously unknown function of Sirt1 in CaOx nephropathy. By regulating itaconate level through epigenetic, Sirt1 protects against renal inflammation and oxidative damage induced by CaOx. Our preclinical data suggest that targeted Sirt1 agonism represents a promising therapeutic intervention for progressive crystallopathic nephropathy, potentially disrupting the inflammation-crystallisation vicious cycle.

HIGHLIGHTS

Sirt1 is significantly reduced in CaOx-induced nephropathy models in vivo and calcium oxalate monohydrate (COM) induced in vitro. Sirt1 in macrophages alleviated CaOx-induced kidney injury and crystal deposition via elevating itaconate levels. Conditional knockout of Sirt1 in vivo significantly exacerbates renal crystal deposition and function damage. We accurately evaluated CaOx-induced renal inflammation status by micro F-FDG PET/CT, and observed macrophage phagocytosis and encapsulation of crystals exposed to epithelial cells through scanning electron microscopy. Sirt1 agonists can be used as preventative and therapeutic agents for CaOx nephropathy, and exogenous supplementation of itaconate effectively alleviated renal crystallisation and inflammatory damage.

摘要

背景

预防和治疗由草酸钙(CaOx)引起的急性肾损伤(AKI)和慢性肾病(CKD)患者肾损伤的临床治疗方法有限。作为一种关键的去乙酰化酶,沉默调节蛋白1(Sirt1)具有显著的抗炎作用,但其在调节草酸钙肾病中的代谢机制仍未被探索。

方法

我们使用非靶向代谢组学分析肾脏中的有机酸代谢,并通过RNA测序确定关键靶点。使用正电子发射断层扫描-计算机断层扫描(PET/CT)和透射电子显微镜等技术评估肾损伤和氧化应激。使用体外共培养系统和体内Sirt1条件性敲除小鼠证明Sirt1对CaOx诱导的肾损伤和随后的晶体沉积的保护机制。

结果

我们发现Sirt1对CaOx诱导的肾损伤和氧化应激具有显著的保护作用。在草酸钙肾病小鼠中Sirt1表达降低,激活Sirt1可通过提高衣康酸水平减少CaOx诱导的肾损伤和晶体沉积。此外,发现Sirt1通过组蛋白三甲基化增强免疫反应基因1并抑制Sdha,从而调节衣康酸和琥珀酸的氧化水平。此外,我们强调了Sirt1激动剂和外源性衣康酸在减轻晶体诱导的肾损伤中的重要作用。

结论

我们的研究揭示了Sirt1在草酸钙肾病中以前未知的功能。通过表观遗传调控衣康酸水平,Sirt1可预防由CaOx引起的肾炎症和氧化损伤。我们的临床前数据表明,靶向Sirt1激动作用代表了一种有前景的进行性结晶性肾病治疗干预措施,可能打破炎症-结晶恶性循环。

要点

在体内CaOx诱导的肾病模型和体外一水合草酸钙(COM)诱导的模型中,Sirt1显著降低。巨噬细胞中的Sirt1通过提高衣康酸水平减轻CaOx诱导的肾损伤和晶体沉积。体内条件性敲除Sirt1会显著加剧肾晶体沉积和功能损害。我们通过微型F-FDG PET/CT准确评估了CaOx诱导的肾炎症状态,并通过扫描电子显微镜观察到巨噬细胞对暴露于上皮细胞的晶体的吞噬和包裹。Sirt1激动剂可作为草酸钙肾病的预防和治疗药物,外源性补充衣康酸可有效减轻肾结晶和炎症损伤。

https://cdn.ncbi.nlm.nih.gov/pmc/blobs/97d6/12360365/fd53c287658c/CTM2-15-e70450-g006.jpg

文献检索

告别复杂PubMed语法,用中文像聊天一样搜索,搜遍4000万医学文献。AI智能推荐,让科研检索更轻松。

立即免费搜索

文件翻译

保留排版,准确专业,支持PDF/Word/PPT等文件格式,支持 12+语言互译。

免费翻译文档

深度研究

AI帮你快速写综述,25分钟生成高质量综述,智能提取关键信息,辅助科研写作。

立即免费体验