Suppr超能文献

脉络膜黑色素瘤近距离放射治疗后肿瘤相关脂质渗出及渗出性视网膜脱离的多模态成像

Multimodal imaging of tumour-related lipid exudation and exudative retinal detachment following brachytherapy in choroidal melanoma.

作者信息

Ros-Sanchez Elena, Oliver-Gutierrez David, Buck Paul, Goncharova-Simón Tetiana, Garrido-Marín Marta, Zapata-Victori Miguel Ángel, Boixadera Anna

机构信息

Ophthalmology, Hospital Universitari Vall d'Hebron, Passeig de la Vall d'Hebron 129, Barcelona, 08035, Spain.

Ophthalmology, Innova Ocular Verte Barcelona, Barcelona, Spain.

出版信息

BMC Ophthalmol. 2025 Aug 18;25(1):467. doi: 10.1186/s12886-025-04282-7.

Abstract

BACKGROUND

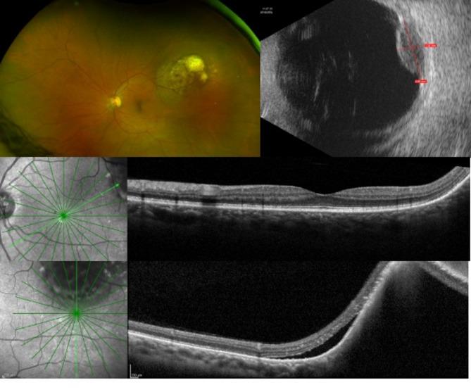
Choroidal melanoma is the most common primary intraocular malignancy, accounting for 90% of all uveal melanomas. Although radiation therapy (brachytherapy, proton beam and gamma knife) is a standard and effective treatment for choroidal melanomas, it carries a risk of vision-threatening complications such as cataract, optic neuropathy, and radiation retinopathy. A lesser-known complication is tumor-related lipid exudation (TRLE), characterized by subretinal and intraretinal lipid accumulation following radiotherapy, potentially resulting from radiation-induced vasculopathy and increased vascular permeability.

CASE REPORT

We report a case of a 61-year-old man with a long-standing choroidal nevus under observation for 15 years. Due to signs of growth and subretinal fluid detected on OCT, malignancy was suspected, and Ruthenium-106 brachytherapy was performed. One-month post-treatment, the patient developed progressive exudative retinal detachment with lipid exudation, despite preserved visual acuity. At the nine-month follow-up, worsening exudation and tumor growth were observed, prompting a second brachytherapy session and intravitreal aflibercept injections every eight weeks, leading to complete resolution of lipid exudation and restoration of retinal anatomy. Six months post-treatment, the tumor remained flat, and visual acuity improved to 20/20.

CONCLUSIONS

TRLE is an underrecognized complication of radiation therapy for choroidal melanoma, with risk factors including pre-radiotherapy subretinal fluid, increased tumour thickness, and Bruch’s membrane rupture. Studies suggest that anti-VEGF therapy may help mitigate exudative complications; however, its efficacy remains uncertain. This case highlights the importance of recognizing TRLE as a potential complication of brachytherapy and underscores the critical role of multimodal imaging in early diagnosis and monitoring, ensuring optimal treatment outcomes for patients with choroidal melanoma.

摘要

背景

脉络膜黑色素瘤是最常见的原发性眼内恶性肿瘤,占所有葡萄膜黑色素瘤的90%。尽管放射治疗(近距离放射治疗、质子束和伽马刀)是脉络膜黑色素瘤的标准有效治疗方法,但它存在导致视力威胁性并发症的风险,如白内障、视神经病变和放射性视网膜病变。一种鲜为人知的并发症是肿瘤相关脂质渗出(TRLE),其特征是放疗后视网膜下和视网膜内脂质积聚,可能由辐射诱导的血管病变和血管通透性增加引起。

病例报告

我们报告一例61岁男性,有一个长期观察了15年的脉络膜痣。由于光学相干断层扫描(OCT)检测到生长迹象和视网膜下液,怀疑为恶性肿瘤,遂进行了钌-106近距离放射治疗。治疗后一个月,尽管视力保留,但患者出现了伴有脂质渗出的进行性渗出性视网膜脱离。在九个月的随访中,观察到渗出加重和肿瘤生长,促使进行第二次近距离放射治疗,并每八周进行一次玻璃体内注射阿柏西普,导致脂质渗出完全消退和视网膜解剖结构恢复。治疗后六个月,肿瘤保持扁平,视力提高到20/20。

结论

TRLE是脉络膜黑色素瘤放射治疗中一种未被充分认识的并发症,危险因素包括放疗前视网膜下液、肿瘤厚度增加和布鲁赫膜破裂。研究表明,抗血管内皮生长因子(VEGF)治疗可能有助于减轻渗出性并发症;然而,其疗效仍不确定。本病例强调了认识TRLE作为近距离放射治疗潜在并发症的重要性,并强调了多模态成像在早期诊断和监测中的关键作用,以确保脉络膜黑色素瘤患者获得最佳治疗效果。

https://cdn.ncbi.nlm.nih.gov/pmc/blobs/e9f5/12359946/038d72591865/12886_2025_4282_Fig1_HTML.jpg

文献AI研究员

20分钟写一篇综述,助力文献阅读效率提升50倍。

立即体验

用中文搜PubMed

大模型驱动的PubMed中文搜索引擎

马上搜索

文档翻译

学术文献翻译模型,支持多种主流文档格式。

立即体验