Suppr超能文献

产后子宫内膜炎及与[具体因素]相关的败血症:病例报告及文献综述

Postpartum Endometritis and Sepsis Associated with and : Case Report and Literature Review.

作者信息

Martikaitytė Justina, Bartulevičienė Agnė, Paliulytė Virginija, Dasevičius Darius, Ramašauskaitė Diana

机构信息

Faculty of Medicine, Vilnius University, 03101 Vilnius, Lithuania.

Vilnius University Hospital Santaros Clinics, 08406 Vilnius, Lithuania.

出版信息

Reports (MDPI). 2025 Aug 10;8(3):143. doi: 10.3390/reports8030143.

Abstract

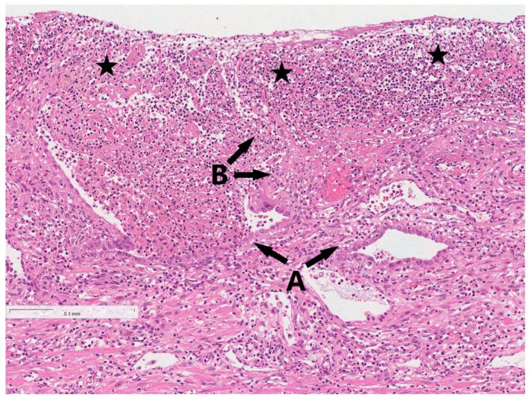
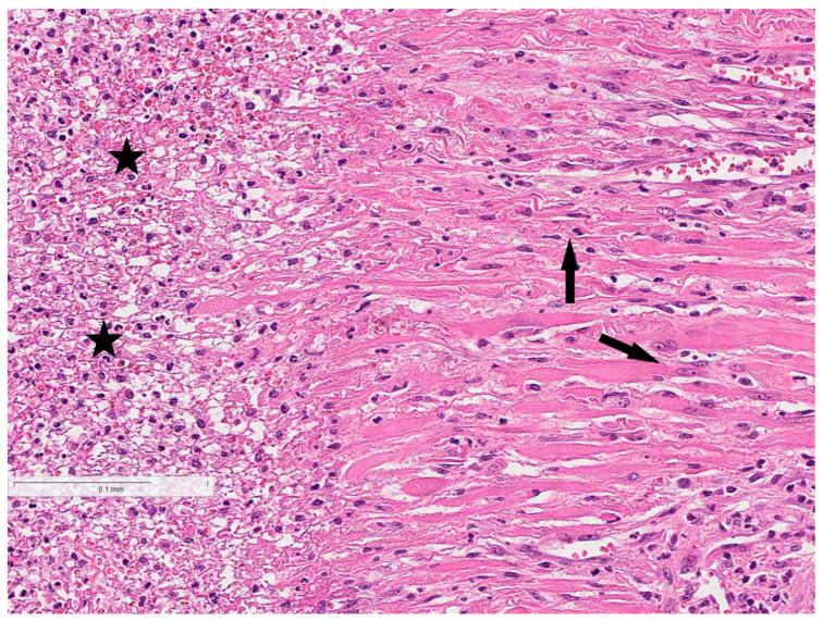
() and () are rare etiological factors for postpartum endometritis and are typically associated with bacterial vaginosis. However, in some cases, and can cause serious postpartum endometritis with complications such as sepsis. 26-year-old pregnant woman expecting monochorionic diamniotic twins presented to the hospital at 35 weeks and 3 days of gestation and two male infants were delivered via the Cesarean section. On the fifth day after delivery, the patient began to complain of intense abdominal pain, a fever of 37.9 °C, and overall weakness. Blood tests revealed neutrophilic leukocytosis, increased C-reactive protein (CRP) of 225.4 mg/L. Upon examination, abdominal distension, tenderness on palpation, and positive symptoms of peritoneal irritation were present and the site of the abdominal incision was inflamed with flowing foul-smelling greenish pus. Ultrasound examination revealed free fluid collection in the peritoneal cavity, under the liver, and around the uterus. Later, the condition of the patient worsened with progressing hypotension and respiratory distress. As a result, suppurative peritonitis and sepsis was suspected and the patient underwent urgent total hysterectomy without oophorectomy. Acute endometritis, focal myometritis, and chronic cervicitis were concluded from histopathological examination of the removed uterus. Microbiological tests showed the most abundant growth of in the wound cultures and great abundance of in the abdominal cavity cultures. After trying three different treatment schemes and difficulties with determining the antibiotic sensitivity tests for pathogens, the antibacterial therapy was escalated to Meropenem, which was found to be effective, and the patient was discharged home. This case report highlights the severity of complications of postpartum endometritis that can be caused by rare pathogens (such as and ), and strategies for how to manage it. The clinical presentation of a patient should be monitored closely for several days after Cesarean section and if endometritis is suspected, microbiological cultures are necessary to determine the cause of infection and implement an appropriate treatment.

摘要

()和()是产后子宫内膜炎的罕见病因,通常与细菌性阴道病有关。然而,在某些情况下,()和()可导致严重的产后子宫内膜炎并伴有败血症等并发症。一名怀有单绒毛膜双羊膜囊双胞胎的26岁孕妇在妊娠35周零3天时入院,通过剖宫产分娩出两名男婴。产后第五天,患者开始抱怨剧烈腹痛、发热37.9°C以及全身无力。血液检查显示中性粒细胞增多,C反应蛋白(CRP)升高至225.4mg/L。检查时,出现腹胀、触诊压痛以及腹膜刺激征阳性,腹部切口部位发炎并有恶臭的绿色脓性分泌物。超声检查显示腹腔、肝脏下方和子宫周围有游离液体聚集。后来,患者病情恶化,出现低血压和呼吸窘迫加重。因此,怀疑为化脓性腹膜炎和败血症,患者接受了紧急全子宫切除术,未切除卵巢。切除子宫的组织病理学检查结果为急性子宫内膜炎、局灶性子宫肌炎和慢性宫颈炎。微生物学检测显示伤口培养物中()生长最为丰富,腹腔培养物中()大量存在。在尝试了三种不同的治疗方案且难以确定病原体的抗生素敏感性试验后,抗菌治疗升级为美罗培南,发现有效,患者出院回家。本病例报告强调了由罕见病原体(如()和())引起的产后子宫内膜炎并发症的严重性以及如何处理的策略。剖宫产术后应密切监测患者的临床表现数天,如果怀疑有子宫内膜炎,需要进行微生物培养以确定感染原因并实施适当的治疗。

https://cdn.ncbi.nlm.nih.gov/pmc/blobs/5dc2/12371980/f3ee90970de1/reports-08-00143-g001.jpg

文献检索

告别复杂PubMed语法,用中文像聊天一样搜索,搜遍4000万医学文献。AI智能推荐,让科研检索更轻松。

立即免费搜索

文件翻译

保留排版,准确专业,支持PDF/Word/PPT等文件格式,支持 12+语言互译。

免费翻译文档

深度研究

AI帮你快速写综述,25分钟生成高质量综述,智能提取关键信息,辅助科研写作。

立即免费体验