Suppr超能文献

表现为胰腺肿块的胰腺结核:一例报告

Pancreatic Tuberculosis Manifesting as Pancreatic Mass: A Case Report.

作者信息

Meena Amit Kumar, Agarwal Yashasvi, Batra Nikhil, Hajare Santosh

机构信息

Gastroenterology, Jawaharlal Nehru Medical College, Belagavi, IND.

Internal Medicine, Jawaharlal Nehru Medical College, Belagavi, IND.

出版信息

Cureus. 2025 Jul 22;17(7):e88521. doi: 10.7759/cureus.88521. eCollection 2025 Jul.

Abstract

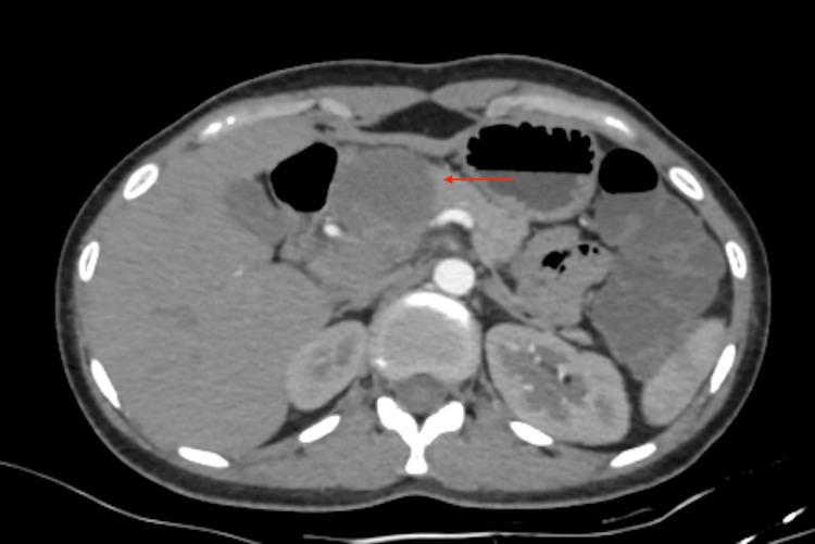
Tuberculosis (TB) continues to be a major global health burden, particularly in low- and middle-income countries, where it contributes significantly to morbidity and mortality. While pulmonary TB is the most common form, extrapulmonary manifestations, including pancreatic TB, are rare and often pose diagnostic challenges. Isolated pancreatic TB in immunocompetent individuals is exceptionally uncommon and is rarely considered in the initial differential diagnosis of a pancreatic mass. We present the case of a 26-year-old immunocompetent woman with a six-month history of persistent epigastric pain, nausea, vomiting, and progressive weight loss. Laboratory investigations revealed normocytic normochromic anemia and mildly elevated serum bilirubin levels. Contrast-enhanced computed tomography (CT) of the abdomen demonstrated pancreatic mass, leading to a provisional diagnosis of pancreatic carcinoma. However, histopathological examination of the lesion revealed features of an acute suppurative process. Further analysis of aspirated cystic fluid using the Cartridge-Based Nucleic Acid Amplification Test (CBNAAT) and Ziehl-Neelsen (ZN) staining confirmed the presence of . The patient was commenced on standard anti-tubercular therapy, which led to marked clinical improvement. On follow-up, the patient's symptoms had resolved completely, and repeat imaging demonstrated normalization of pancreatic architecture. This case highlights the importance of considering pancreatic TB as a diagnosis, even in immunocompetent individuals, particularly from endemic regions. Limitations of our study include a short follow-up period and unavailability of endoscopic ultrasound (EUS) evaluation.

摘要

结核病(TB)仍然是全球主要的健康负担,尤其是在低收入和中等收入国家,它对发病率和死亡率有重大影响。虽然肺结核是最常见的形式,但肺外表现,包括胰腺结核,很罕见,且常常带来诊断挑战。免疫功能正常个体中孤立性胰腺结核极为罕见,在胰腺肿块的初始鉴别诊断中很少被考虑。我们报告一例26岁免疫功能正常的女性病例,她有持续六个月的上腹部疼痛、恶心、呕吐和进行性体重减轻病史。实验室检查显示正细胞正色素性贫血和血清胆红素水平轻度升高。腹部增强计算机断层扫描(CT)显示胰腺肿块,初步诊断为胰腺癌。然而,病变的组织病理学检查显示为急性化脓性过程的特征。使用基于 cartridge 的核酸扩增试验(CBNAAT)和萋-尼(ZN)染色对吸出的囊液进行进一步分析,证实了……的存在。患者开始接受标准抗结核治疗,临床症状明显改善。随访时,患者症状完全缓解,重复成像显示胰腺结构正常化。该病例强调了即使在免疫功能正常的个体中,尤其是来自流行地区的个体,将胰腺结核作为一种诊断考虑的重要性。我们研究的局限性包括随访期短和无法进行内镜超声(EUS)评估。

https://cdn.ncbi.nlm.nih.gov/pmc/blobs/2d60/12369668/8ae5311a7db2/cureus-0017-00000088521-i01.jpg

文献检索

告别复杂PubMed语法,用中文像聊天一样搜索,搜遍4000万医学文献。AI智能推荐,让科研检索更轻松。

立即免费搜索

文件翻译

保留排版,准确专业,支持PDF/Word/PPT等文件格式,支持 12+语言互译。

免费翻译文档

深度研究

AI帮你快速写综述,25分钟生成高质量综述,智能提取关键信息,辅助科研写作。

立即免费体验