• 文献检索
  • 文档翻译
  • 深度研究
  • 学术资讯
  • Suppr Zotero 插件Zotero 插件
  • 邀请有礼
  • 套餐&价格
  • 历史记录
应用&插件
Suppr Zotero 插件Zotero 插件浏览器插件Mac 客户端Windows 客户端微信小程序
定价
高级版会员购买积分包购买API积分包
服务
文献检索文档翻译深度研究API 文档MCP 服务
关于我们
关于 Suppr公司介绍联系我们用户协议隐私条款
关注我们

Suppr 超能文献

核心技术专利:CN118964589B侵权必究
粤ICP备2023148730 号-1Suppr @ 2026

文献检索

告别复杂PubMed语法,用中文像聊天一样搜索,搜遍4000万医学文献。AI智能推荐,让科研检索更轻松。

立即免费搜索

文件翻译

保留排版,准确专业,支持PDF/Word/PPT等文件格式,支持 12+语言互译。

免费翻译文档

深度研究

AI帮你快速写综述,25分钟生成高质量综述,智能提取关键信息,辅助科研写作。

立即免费体验

吉西他滨联合S-1新辅助化疗后可切除的胰腺腺癌:两例肿瘤学结局相反的病例报告

Resectable Pancreatic Adenocarcinomas following Neoadjuvant Chemotherapy with Gemcitabine Plus S-1: Two Case Reports of Opposite Oncological Outcomes.

作者信息

Taguchi Masanobu, Sasanuma Hideki, Shinoda Masayuki, Meguro Yoshiyuki, Morishima Kazue, Miyato Hideyo, Ohzawa Hideyuki, Endo Kazuhiro, Sano Naoki, Kawata Hirotoshi, Fukushima Noriyoshi, Sakuma Yasunaru, Yamaguchi Hironori, Kitayama Joji, Sata Naohiro

机构信息

Department of Surgery, Jichi Medical University School of Medicine, Shimotsuke, Tochigi, Japan.

Department of Pathology, Jichi Medical University, Shimotsuke, Tochigi, Japan.

出版信息

Surg Case Rep. 2025;11(1). doi: 10.70352/scrj.cr.25-0156. Epub 2025 Aug 8.

DOI:10.70352/scrj.cr.25-0156
PMID:40861337
原文链接:https://pmc.ncbi.nlm.nih.gov/articles/PMC12377855/
Abstract

INTRODUCTION

Neoadjuvant gemcitabine plus S-1 (GS) therapy for resectable pancreatic cancer has been shown to prolong overall survival significantly compared with upfront surgery. Herein, we report two opposite cases of patients with resectable pancreatic cancer who underwent distal pancreatectomy after neoadjuvant GS therapy.

CASE PRESENTATION

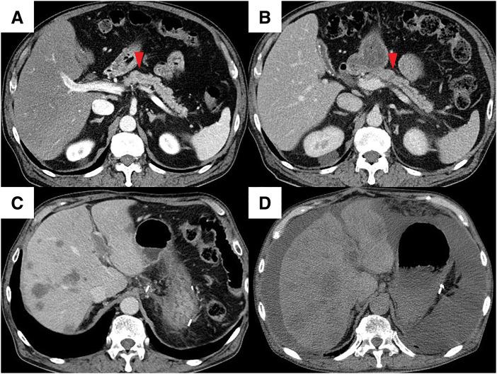
In Case 1, a 49-year-old female with a 12 mm tumor in the pancreatic body (cT1N0M0, cStage IA, union for international cancer control [UICC] 8th edition) underwent two courses of neoadjuvant GS therapy followed by an open distal pancreatectomy. Pathological examination revealed no residual cancer and the patient was diagnosed with a pathological complete response (pCR) without recurrence 31 months after surgery. However, in Case 2, a 74-year-old male with a 12 mm tumor in the pancreatic body (cT1N0M0, cStage IA, UICC 8th edition) also underwent two courses of neoadjuvant GS therapy, and then a laparoscopic distal pancreatectomy was performed. Pathological examination showed invasive pancreatic ductal adenocarcinoma with a 20 mm tumor. The tumor exhibited invasion into the lumen of the splenic vein and retroperitoneal tissue (ypT1N0M0, ypStage IA, UICC 8th edition). Adjuvant chemotherapy with S-1 was started, but 4 months postoperatively, a significant rise in serum CA19-9 levels was observed with multiple hepatic metastases and portal venous tumor thrombus. Gemcitabine plus nab-paclitaxel (GnP) therapy was started, however, the tumor progressed rapidly. The patient died 6 months after surgery.

CONCLUSIONS

Neoadjuvant GS therapy is potentially expected to have a significant therapeutic effect as the pCR. Nevertheless, even after surgical resection, some patients still exhibit extremely poor prognosis. Therefore, it is necessary to clarify their clinical characteristics.

摘要

引言

与直接手术相比,新辅助吉西他滨联合S-1(GS)疗法治疗可切除胰腺癌已被证明能显著延长总生存期。在此,我们报告两例可切除胰腺癌患者在新辅助GS治疗后接受胰体尾切除术的相反病例。

病例介绍

病例1中,一名49岁女性,胰体部有一个12毫米的肿瘤(cT1N0M0,c期IA,国际癌症控制联盟[UICC]第8版),接受了两个疗程的新辅助GS治疗,随后进行了开放性胰体尾切除术。病理检查显示无残留癌,患者被诊断为病理完全缓解(pCR),术后31个月无复发。然而,病例2中,一名74岁男性,胰体部也有一个12毫米的肿瘤(cT1N0M0,c期IA,UICC第8版),同样接受了两个疗程的新辅助GS治疗,然后进行了腹腔镜胰体尾切除术。病理检查显示为浸润性胰腺导管腺癌,肿瘤大小为20毫米。肿瘤侵犯脾静脉腔和腹膜后组织(ypT1N0M0,yp期IA,UICC第8版)。开始使用S-1进行辅助化疗,但术后4个月,血清CA19-9水平显著升高,出现多处肝转移和门静脉肿瘤血栓。开始使用吉西他滨联合白蛋白结合型紫杉醇(GnP)治疗,然而,肿瘤进展迅速。患者术后6个月死亡。

结论

新辅助GS疗法有望作为pCR产生显著的治疗效果。然而,即使在手术切除后,一些患者的预后仍然极差。因此,有必要明确他们的临床特征。

https://cdn.ncbi.nlm.nih.gov/pmc/blobs/b5dc/12377855/c6c086b79236/scr-11-01-25-0156-g004.jpg
https://cdn.ncbi.nlm.nih.gov/pmc/blobs/b5dc/12377855/9ffc01ac2aa7/scr-11-01-25-0156-g001.jpg
https://cdn.ncbi.nlm.nih.gov/pmc/blobs/b5dc/12377855/dbfb7f3aef0a/scr-11-01-25-0156-g002.jpg
https://cdn.ncbi.nlm.nih.gov/pmc/blobs/b5dc/12377855/db658f78083f/scr-11-01-25-0156-g003.jpg
https://cdn.ncbi.nlm.nih.gov/pmc/blobs/b5dc/12377855/c6c086b79236/scr-11-01-25-0156-g004.jpg
https://cdn.ncbi.nlm.nih.gov/pmc/blobs/b5dc/12377855/9ffc01ac2aa7/scr-11-01-25-0156-g001.jpg
https://cdn.ncbi.nlm.nih.gov/pmc/blobs/b5dc/12377855/dbfb7f3aef0a/scr-11-01-25-0156-g002.jpg
https://cdn.ncbi.nlm.nih.gov/pmc/blobs/b5dc/12377855/db658f78083f/scr-11-01-25-0156-g003.jpg
https://cdn.ncbi.nlm.nih.gov/pmc/blobs/b5dc/12377855/c6c086b79236/scr-11-01-25-0156-g004.jpg

相似文献

1
Resectable Pancreatic Adenocarcinomas following Neoadjuvant Chemotherapy with Gemcitabine Plus S-1: Two Case Reports of Opposite Oncological Outcomes.吉西他滨联合S-1新辅助化疗后可切除的胰腺腺癌:两例肿瘤学结局相反的病例报告
Surg Case Rep. 2025;11(1). doi: 10.70352/scrj.cr.25-0156. Epub 2025 Aug 8.
2
Interim analysis of the efficiency and safety of neoadjuvant PD-1 inhibitor (sintilimab) combined with chemotherapy (nab-paclitaxel and carboplatin) in potentially resectable stage IIIA/IIIB non-small cell lung cancer: a single-arm, phase 2 trial.新辅助 PD-1 抑制剂(信迪利单抗)联合化疗(白蛋白紫杉醇联合卡铂)治疗可切除 IIIA/IIIB 期非小细胞肺癌的疗效和安全性的初步分析:一项单臂、Ⅱ期临床试验。
J Cancer Res Clin Oncol. 2023 Feb;149(2):819-831. doi: 10.1007/s00432-021-03896-w. Epub 2022 Feb 22.
3
A rapid and systematic review of the clinical effectiveness and cost-effectiveness of paclitaxel, docetaxel, gemcitabine and vinorelbine in non-small-cell lung cancer.对紫杉醇、多西他赛、吉西他滨和长春瑞滨在非小细胞肺癌中的临床疗效和成本效益进行的快速系统评价。
Health Technol Assess. 2001;5(32):1-195. doi: 10.3310/hta5320.
4
Alternating gemcitabine plus nab-paclitaxel and gemcitabine alone versus continuous gemcitabine plus nab-paclitaxel after induction treatment of metastatic pancreatic cancer (ALPACA): a multicentre, randomised, open-label, phase 2 trial.转移性胰腺癌诱导治疗后交替吉西他滨加 nab-紫杉醇和单纯吉西他滨与连续吉西他滨加 nab-紫杉醇治疗(ALPACA):一项多中心、随机、开放标签、2 期临床试验。
Lancet Gastroenterol Hepatol. 2024 Oct;9(10):935-943. doi: 10.1016/S2468-1253(24)00197-3. Epub 2024 Aug 16.
5
Comparison of neoadjuvant treatment and surgery first for resectable or borderline resectable pancreatic carcinoma: A systematic review and network meta-analysis of randomized controlled trials.新辅助治疗与手术优先治疗可切除或交界可切除胰腺癌的比较:一项随机对照试验的系统评价和网络荟萃分析。
PLoS One. 2024 Mar 7;19(3):e0295983. doi: 10.1371/journal.pone.0295983. eCollection 2024.
6
Laparoscopic versus open distal pancreatectomy for pancreatic cancer.腹腔镜与开放远端胰腺切除术治疗胰腺癌
Cochrane Database Syst Rev. 2016 Apr 4;4(4):CD011391. doi: 10.1002/14651858.CD011391.pub2.
7
The Oncological Stress Test of Neoadjuvant Therapy: A Systematic Review in Outcomes of Neoadjuvant Therapy Compared to Upfront Resection Approach for Borderline Resectable Pancreatic Adenocarcinoma.新辅助治疗的肿瘤应激试验:对比新辅助治疗与直接切除治疗边界可切除胰腺腺癌的前瞻性研究系统综述。
Am Surg. 2024 Nov;90(11):3061-3073. doi: 10.1177/00031348241248703. Epub 2024 Apr 18.
8
Preoperative/neoadjuvant therapy in pancreatic cancer: a systematic review and meta-analysis of response and resection percentages.胰腺癌的术前/新辅助治疗:反应和切除率的系统评价和荟萃分析。
PLoS Med. 2010 Apr 20;7(4):e1000267. doi: 10.1371/journal.pmed.1000267.
9
Postoperative adjuvant chemotherapy for resectable cholangiocarcinoma.可切除胆管癌的术后辅助化疗。
Cochrane Database Syst Rev. 2021 Sep 13;9(9):CD012814. doi: 10.1002/14651858.CD012814.pub2.
10
Impact of residual disease as a prognostic factor for survival in women with advanced epithelial ovarian cancer after primary surgery.原发性手术后晚期上皮性卵巢癌患者残留病灶对生存预后的影响。
Cochrane Database Syst Rev. 2022 Sep 26;9(9):CD015048. doi: 10.1002/14651858.CD015048.pub2.

本文引用的文献

1
Neoadjuvant Chemotherapy with Gemcitabine and S-1 versus Upfront Surgery for Resectable Pancreatic Cancer: Results of the Randomized Phase II/III Prep-02/JSAP05 Trial.吉西他滨联合S-1新辅助化疗与直接手术治疗可切除胰腺癌的比较:随机II/III期Prep-02/JSAP05试验结果
Ann Surg. 2025 Apr 16. doi: 10.1097/SLA.0000000000006730.
2
Pathological Complete Response in Patients With Resected Pancreatic Adenocarcinoma After Preoperative Chemotherapy.术前化疗后切除的胰腺导管腺癌患者的病理完全缓解。
JAMA Netw Open. 2024 Jun 3;7(6):e2417625. doi: 10.1001/jamanetworkopen.2024.17625.
3
Randomized phase II trial of chemoradiotherapy with S-1 versus combination chemotherapy with gemcitabine and S-1 as neoadjuvant treatment for resectable pancreatic cancer (JASPAC 04).
随机对照 II 期试验:S-1 放化疗对比吉西他滨联合 S-1 新辅助化疗治疗可切除胰腺癌(JASPAC 04)
J Hepatobiliary Pancreat Sci. 2023 Nov;30(11):1249-1260. doi: 10.1002/jhbp.1353. Epub 2023 Sep 25.
4
Clinical Efficacy of Neoadjuvant Chemotherapy with Gemcitabine plus S-1 for Resectable Pancreatic Ductal Adenocarcinoma Compared with Upfront Surgery.吉西他滨联合替吉奥新辅助化疗对比直接手术治疗可切除胰腺导管腺癌的临床疗效。
Ann Surg Oncol. 2023 Aug;30(8):5093-5102. doi: 10.1245/s10434-023-13534-z. Epub 2023 May 4.
5
[A Case of Pathological Complete Response after Neoadjuvant Therapy for Resectable Pancreatic Cancer].[可切除胰腺癌新辅助治疗后病理完全缓解一例]
Gan To Kagaku Ryoho. 2022 Dec;49(13):1662-1664.
6
Pathological complete response in a patient with locally advanced pancreatic adenocarcinoma treated with neoadjuvant gemcitabine and S-1: a case report and literature review.新辅助吉西他滨和S-1治疗局部晚期胰腺腺癌患者的病理完全缓解:一例报告及文献综述
Gland Surg. 2022 Feb;11(2):494-503. doi: 10.21037/gs-22-6.
7
Cytoplasmic RRM1 activation as an acute response to gemcitabine treatment is involved in drug resistance of pancreatic cancer cells.细胞质 RRM1 的激活作为吉西他滨治疗的急性反应,参与了胰腺癌细胞的耐药性。
PLoS One. 2021 Jun 10;16(6):e0252917. doi: 10.1371/journal.pone.0252917. eCollection 2021.
8
Circulating tumor DNA as a predictive marker for occult metastases in pancreatic cancer patients with radiographically non-metastatic disease.循环肿瘤DNA作为影像学检查无转移的胰腺癌患者隐匿性转移的预测标志物。
J Hepatobiliary Pancreat Sci. 2021 Aug;28(8):648-658. doi: 10.1002/jhbp.993. Epub 2021 Jun 13.
9
Is Complete Pathologic Response in Pancreatic Cancer Overestimated? A Systematic Review of Prospective Studies.胰腺癌的完全病理缓解是否被高估了?一项前瞻性研究的系统评价。
J Gastrointest Surg. 2020 Oct;24(10):2336-2348. doi: 10.1007/s11605-020-04697-1. Epub 2020 Jun 24.
10
Pathologic complete response following neoadjuvant therapy for pancreatic ductal adenocarcinoma: defining the incidence, predictors, and outcomes.胰腺导管腺癌新辅助治疗后的病理完全缓解:确定发生率、预测因素及预后。
HPB (Oxford). 2020 Nov;22(11):1569-1576. doi: 10.1016/j.hpb.2020.01.013. Epub 2020 Feb 13.