• 文献检索
  • 文档翻译
  • 深度研究
  • 学术资讯
  • Suppr Zotero 插件Zotero 插件
  • 邀请有礼
  • 套餐&价格
  • 历史记录
应用&插件
Suppr Zotero 插件Zotero 插件浏览器插件Mac 客户端Windows 客户端微信小程序
定价
高级版会员购买积分包购买API积分包
服务
文献检索文档翻译深度研究API 文档MCP 服务
关于我们
关于 Suppr公司介绍联系我们用户协议隐私条款
关注我们

Suppr 超能文献

核心技术专利:CN118964589B侵权必究
粤ICP备2023148730 号-1Suppr @ 2026

文献检索

告别复杂PubMed语法,用中文像聊天一样搜索,搜遍4000万医学文献。AI智能推荐,让科研检索更轻松。

立即免费搜索

文件翻译

保留排版,准确专业,支持PDF/Word/PPT等文件格式,支持 12+语言互译。

免费翻译文档

深度研究

AI帮你快速写综述,25分钟生成高质量综述,智能提取关键信息,辅助科研写作。

立即免费体验

左束支区域起搏时阳极夺获导致的双QRS波群过渡:一例报告

Double QRS Transition Due to Anodal Capture During Left Bundle Branch Area Pacing: A Case Report.

作者信息

Melpignano Angelo, Vitali Francesco, Canovi Luca, Bonini Jacopo, Vocale Ludovica Rita, Bertini Matteo

机构信息

Cardiology Unit, Azienda Ospedaliero Universitaria di Ferrara, 44124 Ferrara, Italy.

出版信息

J Cardiovasc Dev Dis. 2025 Aug 3;12(8):299. doi: 10.3390/jcdd12080299.

DOI:10.3390/jcdd12080299
PMID:40863365
原文链接:https://pmc.ncbi.nlm.nih.gov/articles/PMC12386845/
Abstract

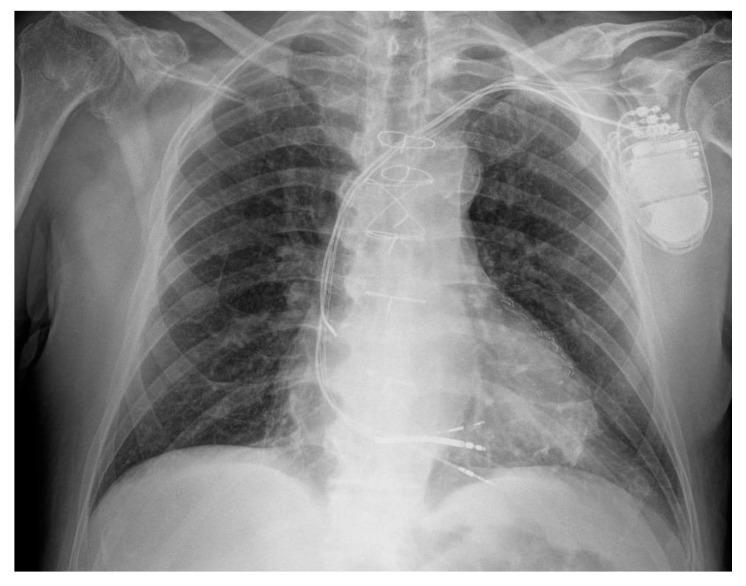
Anodal capture, characterized by a different QRS morphology compared to cathodal capture, is a well-known issue in cardiac resynchronization therapy (CRT). Left bundle branch area pacing (LBBAP), a novel physiological pacing technique, is also used as a bailout strategy following failed conventional CRT implantation. In LBBAP, QRS transition, defined by a change in paced QRS morphology, serves as a key marker of successful lead placement. This case report is the first to document both high-output anodal capture and LBBAP-induced QRS transition in a single individual receiving LBBAP with an implantable cardioverter-defibrillator (ICD) as a bailout strategy for failed cardiac resynchronization therapy with defibrillator (CRT-D) implantation. Their coexistence underscores unique device optimization challenges in this emerging approach.

摘要

阳极夺获是心脏再同步治疗(CRT)中一个众所周知的问题,其特征是与阴极夺获相比QRS形态不同。左束支区域起搏(LBBAP)是一种新型的生理性起搏技术,也被用作传统CRT植入失败后的补救策略。在LBBAP中,由起搏QRS形态变化定义的QRS转换是导线成功放置的关键标志。本病例报告首次记录了在一名接受LBBAP并植入植入式心律转复除颤器(ICD)作为心脏再同步除颤治疗(CRT-D)植入失败补救策略的个体中同时出现高输出阳极夺获和LBBAP诱导的QRS转换。它们的共存凸显了这种新兴方法中独特的设备优化挑战。

https://cdn.ncbi.nlm.nih.gov/pmc/blobs/0230/12386845/0c7647060ff2/jcdd-12-00299-g004.jpg
https://cdn.ncbi.nlm.nih.gov/pmc/blobs/0230/12386845/8ed667409179/jcdd-12-00299-g001.jpg
https://cdn.ncbi.nlm.nih.gov/pmc/blobs/0230/12386845/3110c9c2174d/jcdd-12-00299-g002.jpg
https://cdn.ncbi.nlm.nih.gov/pmc/blobs/0230/12386845/358efb2bea58/jcdd-12-00299-g003.jpg
https://cdn.ncbi.nlm.nih.gov/pmc/blobs/0230/12386845/0c7647060ff2/jcdd-12-00299-g004.jpg
https://cdn.ncbi.nlm.nih.gov/pmc/blobs/0230/12386845/8ed667409179/jcdd-12-00299-g001.jpg
https://cdn.ncbi.nlm.nih.gov/pmc/blobs/0230/12386845/3110c9c2174d/jcdd-12-00299-g002.jpg
https://cdn.ncbi.nlm.nih.gov/pmc/blobs/0230/12386845/358efb2bea58/jcdd-12-00299-g003.jpg
https://cdn.ncbi.nlm.nih.gov/pmc/blobs/0230/12386845/0c7647060ff2/jcdd-12-00299-g004.jpg

相似文献

1
Double QRS Transition Due to Anodal Capture During Left Bundle Branch Area Pacing: A Case Report.左束支区域起搏时阳极夺获导致的双QRS波群过渡:一例报告
J Cardiovasc Dev Dis. 2025 Aug 3;12(8):299. doi: 10.3390/jcdd12080299.
2
High predictive value of paced QRS frequency in verification of left bundle branch pacing.起搏 QRS 频率对验证左束支起搏的高预测价值。
J Interv Card Electrophysiol. 2023 Dec;66(9):2041-2046. doi: 10.1007/s10840-023-01541-9. Epub 2023 Apr 4.
3
Establishing a left bundle branch area pacing program: Results from a high-volume pacing center.建立左束支区域起搏方案:来自一个高起搏量中心的结果。
Rev Port Cardiol. 2025 Jun;44(6):377-385. doi: 10.1016/j.repc.2024.12.006. Epub 2025 May 6.
4
Left bundle branch area pacing compared with biventricular pacing for cardiac resynchronization therapy in patients with left ventricular ejection fraction ≤50%: Results from the International Collaborative LBBAP Study (I-CLAS).左心室射血分数≤50%患者心脏再同步治疗中左束支区域起搏与双心室起搏的比较:国际协作性左束支区域起搏研究(I-CLAS)结果
Heart Rhythm. 2025 Apr 25. doi: 10.1016/j.hrthm.2025.04.005.
5
Non-invasive assessment of ventricular electrical heterogeneity to optimize left bundle branch area pacing.通过无创评估心室电不均一性来优化左束支区域起搏。
J Interv Card Electrophysiol. 2023 Aug;66(5):1103-1112. doi: 10.1007/s10840-022-01315-9. Epub 2022 Jul 30.
6
Permanent left bundle branch area pacing improves mitral regurgitation and cardiac function in patients with right bundle branch block.永久性左束支区域起搏改善右束支传导阻滞患者的二尖瓣反流和心功能。
BMC Cardiovasc Disord. 2024 Sep 19;24(1):501. doi: 10.1186/s12872-024-04175-5.
7
Simplification of left bundle branch area pacing using a novel modified 3-lead pacing system analyzer electrocardiogram technique in the non-electrophysiology laboratory.在非电生理实验室中,使用新型改良三导联起搏系统分析仪心电图技术简化左束支区域起搏。
J Interv Card Electrophysiol. 2025 May 2. doi: 10.1007/s10840-025-02057-0.
8
Left bundle branch area pacing in mildly reduced heart failure: A systematic literature review and meta-analysis.左束支区域起搏治疗轻度心力衰竭:系统文献回顾和荟萃分析。
Clin Cardiol. 2023 Jul;46(7):713-720. doi: 10.1002/clc.24028. Epub 2023 May 5.
9
Left bundle branch area pacing preserves left ventricular ejection fraction in patients with preserved systolic function: A comparison with right ventricular pacing and the influence of left bundle branch capture.左束支区域起搏可保留收缩功能正常患者的左心室射血分数:与右心室起搏的比较及左束支捕获的影响
Heart Rhythm. 2025 Aug 29. doi: 10.1016/j.hrthm.2025.08.041.
10
Kinetics and Disappearance of QRS Transition in Patients Undergoing Left Bundle Branch Pacing - A Novel Method for Classifying Microdislodgement.左束支起搏患者QRS波移行的动力学与消失情况——一种用于分类微脱位的新方法
J Cardiovasc Electrophysiol. 2025 Jul 11. doi: 10.1111/jce.16779.

本文引用的文献

1
European Society of Cardiology (ESC) clinical consensus statement on indications for conduction system pacing, with special contribution of the European Heart Rhythm Association of the ESC and endorsed by the Asia Pacific Heart Rhythm Society, the Canadian Heart Rhythm Society, the Heart Rhythm Society, and the Latin American Heart Rhythm Society.欧洲心脏病学会(ESC)关于传导系统起搏指征的临床共识声明,欧洲心律协会对ESC有特别贡献,并得到亚太心律协会、加拿大心律协会、心律协会和拉丁美洲心律协会的认可。
Europace. 2025 Mar 28;27(4). doi: 10.1093/europace/euaf050.
2
Left bundle branch pacing with and without anodal capture: impact on ventricular activation pattern and acute haemodynamics.左束支起搏伴或不伴阳极夺获:对心室激动模式和急性血液动力学的影响。
Europace. 2023 Oct 5;25(10). doi: 10.1093/europace/euad264.
3
Comparison of Pacing Performance and Clinical Outcomes Between Left Bundle Branch and His Bundle Pacing.左束支与希氏束起搏的起搏性能和临床结局比较。
JACC Clin Electrophysiol. 2023 Aug;9(8 Pt 1):1393-1403. doi: 10.1016/j.jacep.2022.12.022. Epub 2023 Feb 22.
4
Comparison of Left Bundle Branch Area Pacing and Biventricular Pacing in Candidates for Resynchronization Therapy.左束支区域起搏与双心室起搏在同步化治疗候选者中的比较。
J Am Coll Cardiol. 2023 Jul 18;82(3):228-241. doi: 10.1016/j.jacc.2023.05.006. Epub 2023 May 21.
5
EHRA clinical consensus statement on conduction system pacing implantation: endorsed by the Asia Pacific Heart Rhythm Society (APHRS), Canadian Heart Rhythm Society (CHRS), and Latin American Heart Rhythm Society (LAHRS).EHRA 临床共识声明:心脏起搏的心脏传导系统植入术,由亚太心律学会(APHRS)、加拿大心律学会(CHRS)和拉丁美洲心律学会(LAHRS)共同认可。
Europace. 2023 Apr 15;25(4):1208-1236. doi: 10.1093/europace/euad043.
6
Left Bundle Branch Pacing: JACC Review Topic of the Week.左束支起搏:JACC 本周专题
J Am Coll Cardiol. 2019 Dec 17;74(24):3039-3049. doi: 10.1016/j.jacc.2019.10.039. Epub 2019 Dec 9.
7
Anodal stimulation: an underrecognized cause of nonresponders to cardiac resynchronization therapy.阳极刺激:心脏再同步治疗无反应者的一个未被充分认识的原因。
Indian Pacing Electrophysiol J. 2011 May 1;11(3):64-72.
8
Anodal capture in cardiac resynchronization therapy implications for device programming.心脏再同步治疗中的阳极夺获对设备程控的影响
Pacing Clin Electrophysiol. 2006 Sep;29(9):940-5. doi: 10.1111/j.1540-8159.2006.00466.x.
9
Anodal right ventricular capture during left ventricular stimulation in CRT-implantable cardioverter defibrillators.在可植入式心脏再同步治疗除颤器(CRT-D)中,左心室刺激时出现右心室阳极夺获。
Pacing Clin Electrophysiol. 2005 Jul;28(7):613-9. doi: 10.1111/j.1540-8159.2005.00158.x.
10
Anodal excitation of cardiac muscle.心肌的阳极兴奋。
Am J Physiol. 1957 Aug;190(2):383-90. doi: 10.1152/ajplegacy.1957.190.2.383.