Suppr超能文献

对儒艮死亡的新见解:系统性感染、弥散性血管内凝血及相关发病机制的首次报告

Novel Insight into Dugong Mortality: First Report of Systemic Infection, Disseminated Intravascular Coagulation, and Associated Pathogenesis.

作者信息

Eiamcharoen Piyaporn, Khumraksa Piyarat, Ninwat Santi, Suttiboon Tatsawan, Keawchana Narissara, Sornying Peerapon, Suyapoh Watcharapol

机构信息

Faculty of Veterinary Medicine, Kasetsart University, Bangkok 10900, Thailand.

Marine and Coastal Resources Research Center (Lower Andaman Sea), Trang 92150, Thailand.

出版信息

Animals (Basel). 2025 Aug 20;15(16):2441. doi: 10.3390/ani15162441.

Abstract

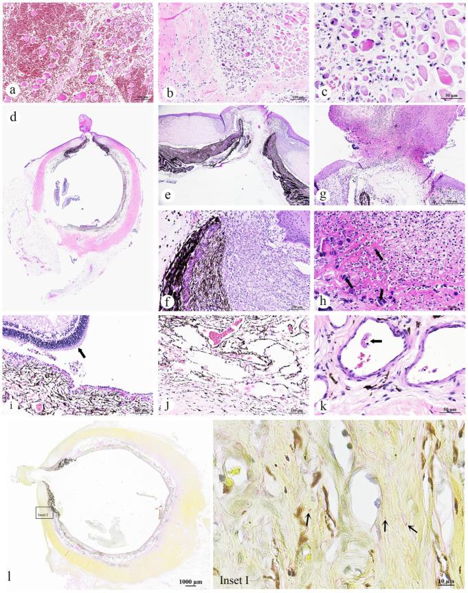
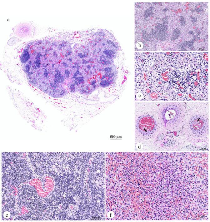
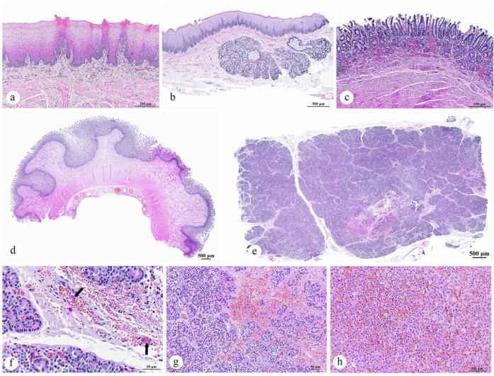
Dugongs (), classified as vulnerable marine mammals, are increasingly impacted by infectious diseases, yet the role of septicemia and disseminated intravascular coagulation (DIC) in their mortality remains uncharacterized. This study aimed to investigate the pathological and microbiological features associated with an acute mortality event in a juvenile dugong during rehabilitation in southern Thailand. Comprehensive histopathological and microbiological analyses were conducted on tissue samples collected postmortem. Bacterial isolation and identification were performed using standard culture techniques and the VITEK-2 system. Histological examination revealed multisystemic lesions, including fibrin thrombi, hemorrhage, hepatocellular degeneration, pancreatic necrosis, lymphoid depletion, and neuronal damage. Oxidative stress and DNA damage were confirmed in brain tissues through immunofluorescence detection of 4-hydroxynonenal (4-HNE) and 8-hydroxy-2'-deoxyguanosine (8-oxodG). , an opportunistic pathogen, was isolated from multiple organs, consistent with acute systemic infection. These findings represent the first evidence of septicemia-associated DIC in dugongs caused by , highlighting a previously undocumented cause of mortality in dugongs. The results emphasize the role of opportunistic bacteria in triggering oxidative damage and coagulopathy and underscore the importance of early detection and targeted therapeutic strategies to improve survival in stranded or rehabilitated dugongs.

摘要

儒艮被列为易危海洋哺乳动物,越来越受到传染病的影响,然而败血症和弥散性血管内凝血(DIC)在其死亡中所起的作用仍未得到明确。本研究旨在调查泰国南部一只幼年儒艮在康复期间急性死亡事件相关的病理和微生物学特征。对死后采集的组织样本进行了全面的组织病理学和微生物学分析。使用标准培养技术和VITEK - 2系统进行细菌分离和鉴定。组织学检查发现多系统病变,包括纤维蛋白血栓、出血、肝细胞变性、胰腺坏死、淋巴细胞耗竭和神经元损伤。通过对4 - 羟基壬烯醛(4 - HNE)和8 - 羟基 - 2'-脱氧鸟苷(8 - oxodG)的免疫荧光检测,证实脑组织存在氧化应激和DNA损伤。从多个器官分离出了一种机会致病菌,这与急性全身感染一致。这些发现代表了由该菌引起的儒艮败血症相关DIC的首个证据,突出了儒艮之前未被记录的死亡原因。结果强调了机会致病菌在引发氧化损伤和凝血病中的作用,并强调了早期检测和针对性治疗策略对于提高搁浅或康复儒艮生存率的重要性。

https://cdn.ncbi.nlm.nih.gov/pmc/blobs/4fae/12382916/f00db7301a6f/animals-15-02441-g001.jpg

文献检索

告别复杂PubMed语法,用中文像聊天一样搜索,搜遍4000万医学文献。AI智能推荐,让科研检索更轻松。

立即免费搜索

文件翻译

保留排版,准确专业,支持PDF/Word/PPT等文件格式,支持 12+语言互译。

免费翻译文档

深度研究

AI帮你快速写综述,25分钟生成高质量综述,智能提取关键信息,辅助科研写作。

立即免费体验