Xiao Yang, Yang Mingyue, Cai Meihong, Zhang Haihui, Hu Kai, Duan Yuqing
School of Food and Biological Engineering, Jiangsu University, Zhenjiang 212013, China.
Institute of Food Physical Processing, Jiangsu University, Zhenjiang 212013, China.
Nutrients. 2025 Aug 9;17(16):2595. doi: 10.3390/nu17162595.
BACKGROUND/OBJECTIVES: The synergistic effects of epigallocatechin gallate (EGCG) and taurine in modulating lipid metabolism abnormalities in rats were investigated, and along with their potential mechanisms.
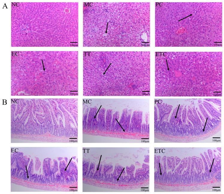
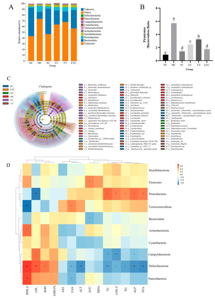
METHODS/RESULT: Compared to intervention with EGCG/taurine alone, EGCG combined with taurine (1:3) not only reduced triglyceride (TG) generation in HepG2 cells (46.2%, 75.2%, respectively), but also significantly decreased the total cholesterol (TC) (33.3%, 41.8%), low-density lipoprotein cholesterol (LDL-C) (32.3%, 29.2%) in rats, while the high-density lipoprotein cholesterol (HDL-C) increased by 12.7% and 33.5%. In addition, the combination of EGCG and taurine not only inhibited lipogenic enzyme activity, but also enhanced the levels of lipid catabolic enzymes and antioxidant enzymes, and alleviated hepatic injury. Furthermore, it significantly modulated gut microbiota composition by altering the abundances of Bacteroidetes, Firmicutes, and Proteobacteria, improving intestinal flora balance. Metabolomic profiling showed that reducing N-linoleoyl proline, cortisol, and 3-isocholanolic acid, and increasing phospholipid metabolites are the main ways methods for normalizing lipid metabolism in rats. The combination also elevated short-chain fatty acid (SCFA) synthesis, preserving intestinal barrier integrity; it also promoted lipid catabolism and energy expenditure via activating Peroxisome proliferator- activated receptor alpha (PPARα) and suppressing hepatic fatty acid synthase (FAS)- mediated lipogenesis.
These findings indicated that EGCG and taurine can synergistically regulate lipid metabolism abnormalities, which may offer a strategy for regulating lipid metabolism anomalies.
背景/目的:研究表没食子儿茶素没食子酸酯(EGCG)和牛磺酸对大鼠脂质代谢异常的协同调节作用及其潜在机制。
方法/结果:与单独使用EGCG/牛磺酸干预相比,EGCG与牛磺酸(1:3)联合使用不仅降低了HepG2细胞中甘油三酯(TG)的生成(分别降低46.2%、75.2%),还显著降低了大鼠的总胆固醇(TC)(分别降低33.3%、41.8%)、低密度脂蛋白胆固醇(LDL-C)(分别降低32.3%、29.2%),而高密度脂蛋白胆固醇(HDL-C)分别升高了12.7%和33.5%。此外,EGCG与牛磺酸的组合不仅抑制了脂肪生成酶的活性,还提高了脂质分解酶和抗氧化酶的水平,并减轻了肝损伤。此外,它通过改变拟杆菌门、厚壁菌门和变形菌门的丰度显著调节肠道微生物群组成,改善肠道菌群平衡。代谢组学分析表明,降低N-亚油酰脯氨酸、皮质醇和3-异胆酸,增加磷脂代谢物是使大鼠脂质代谢正常化的主要途径。该组合还提高了短链脂肪酸(SCFA)的合成,维持肠道屏障完整性;它还通过激活过氧化物酶体增殖物激活受体α(PPARα)和抑制肝脂肪酸合酶(FAS)介导的脂肪生成来促进脂质分解和能量消耗。
这些发现表明,EGCG和牛磺酸可以协同调节脂质代谢异常,这可能为调节脂质代谢异常提供一种策略。