• 文献检索
  • 文档翻译
  • 深度研究
  • 学术资讯
  • Suppr Zotero 插件Zotero 插件
  • 邀请有礼
  • 套餐&价格
  • 历史记录
应用&插件
Suppr Zotero 插件Zotero 插件浏览器插件Mac 客户端Windows 客户端微信小程序
定价
高级版会员购买积分包购买API积分包
服务
文献检索文档翻译深度研究API 文档MCP 服务
关于我们
关于 Suppr公司介绍联系我们用户协议隐私条款
关注我们

Suppr 超能文献

核心技术专利:CN118964589B侵权必究
粤ICP备2023148730 号-1Suppr @ 2026

文献检索

告别复杂PubMed语法,用中文像聊天一样搜索,搜遍4000万医学文献。AI智能推荐,让科研检索更轻松。

立即免费搜索

文件翻译

保留排版,准确专业,支持PDF/Word/PPT等文件格式,支持 12+语言互译。

免费翻译文档

深度研究

AI帮你快速写综述,25分钟生成高质量综述,智能提取关键信息,辅助科研写作。

立即免费体验

伪装成肾上腺髓脂肪瘤的胰腺假性囊肿:经验教训

Pseudocyst of the Pancreas Masquerading as Adrenal Myelolipoma: Lessons Learned.

作者信息

Raja Thalapathi, Kothapalli Sushmitha, Palaniyandi Velmurugan, Sekar Hariharasudhan, Krishnamoorthy Sriram

机构信息

Urology, Sri Ramachandra Institute of Higher Education and Research, Chennai, IND.

Urology, Sri Ramachandra Institute of Higher Education and Research, chennai, IND.

出版信息

Cureus. 2025 Jul 26;17(7):e88828. doi: 10.7759/cureus.88828. eCollection 2025 Jul.

DOI:10.7759/cureus.88828
PMID:40873832
原文链接:https://pmc.ncbi.nlm.nih.gov/articles/PMC12378143/
Abstract

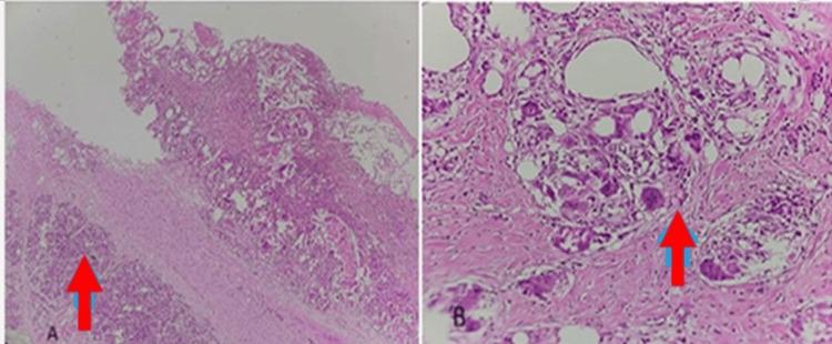
A 56-year-old female presented with left loin pain, intermittent vomiting, and generalized weakness, alongside newly diagnosed diabetes mellitus and hypertension. Initial evaluation revealed a firm, vague mass in the left hypochondrium. Contrast-enhanced magnetic resonance imaging and computed tomography of the kidney, ureter, and bladder showed features consistent with left adrenal myelolipoma, promoting laparoscopic adrenal surgery. During surgery, it was revealed that the mass was adhered to the spleen, tail of the pancreas, and left kidney, and hence laparoscopy was converted to open surgery. In the postoperative period, the patient had a foul-smelling discharge, suggesting a pancreatic duct leak. Therefore, the patient was taken up for emergency splenectomy, distal pancreatectomy, removal of the splenic fissure, and transverse colostomy. Histopathological examination revealed a cystic mass, chronic pancreatitis, and inflammation, with no signs of malignancy. The clinical, investigative, and surgical findings were not indicative of an adrenal mass, emphasizing the need for a team approach and careful assessment while diagnosing retroperitoneal problems.

摘要

一名56岁女性,伴有左腰部疼痛、间歇性呕吐和全身乏力,同时患有新诊断的糖尿病和高血压。初步评估发现左季肋部有一个质地硬、边界不清的肿块。肾脏、输尿管和膀胱的对比增强磁共振成像及计算机断层扫描显示的特征与左肾上腺髓样脂肪瘤相符,遂行腹腔镜肾上腺手术。手术中发现肿块与脾脏、胰尾和左肾粘连,因此将腹腔镜手术转为开放手术。术后患者出现有恶臭的引流物,提示胰管漏。于是,该患者接受了急诊脾切除术、胰体尾切除术、脾裂伤清除术及横结肠造口术。组织病理学检查显示为囊性肿块、慢性胰腺炎和炎症,无恶性迹象。临床、检查及手术结果均不提示肾上腺肿块,强调在诊断腹膜后问题时需要团队协作及仔细评估。

https://cdn.ncbi.nlm.nih.gov/pmc/blobs/f595/12378143/ff85ea796355/cureus-0017-00000088828-i03.jpg
https://cdn.ncbi.nlm.nih.gov/pmc/blobs/f595/12378143/c1936fb33098/cureus-0017-00000088828-i01.jpg
https://cdn.ncbi.nlm.nih.gov/pmc/blobs/f595/12378143/2a6379ed6e0a/cureus-0017-00000088828-i02.jpg
https://cdn.ncbi.nlm.nih.gov/pmc/blobs/f595/12378143/ff85ea796355/cureus-0017-00000088828-i03.jpg
https://cdn.ncbi.nlm.nih.gov/pmc/blobs/f595/12378143/c1936fb33098/cureus-0017-00000088828-i01.jpg
https://cdn.ncbi.nlm.nih.gov/pmc/blobs/f595/12378143/2a6379ed6e0a/cureus-0017-00000088828-i02.jpg
https://cdn.ncbi.nlm.nih.gov/pmc/blobs/f595/12378143/ff85ea796355/cureus-0017-00000088828-i03.jpg

相似文献

1
Pseudocyst of the Pancreas Masquerading as Adrenal Myelolipoma: Lessons Learned.伪装成肾上腺髓脂肪瘤的胰腺假性囊肿:经验教训
Cureus. 2025 Jul 26;17(7):e88828. doi: 10.7759/cureus.88828. eCollection 2025 Jul.
2
Radiofrequency ablation of liver metastases in a patient with pancreatic cancer and long-term survival: A case report.胰腺癌患者肝转移灶的射频消融及长期生存:一例报告
World J Clin Cases. 2025 Jul 16;13(20):100169. doi: 10.12998/wjcc.v13.i20.100169.
3
Stapler versus scalpel resection followed by hand-sewn closure of the pancreatic remnant for distal pancreatectomy.用于远端胰腺切除术的吻合器与手术刀切除联合手工缝合胰腺残端闭合术。
Cochrane Database Syst Rev. 2015 Nov 6;2015(11):CD008688. doi: 10.1002/14651858.CD008688.pub2.
4
Laparoscopic Management of Blunt Pancreatic Trauma in Adults and Pediatric Patients: A Systematic Review.成人和儿科患者钝性胰腺创伤的腹腔镜处理:系统评价。
Biomed Res Int. 2023 Sep 28;2023:9296570. doi: 10.1155/2023/9296570. eCollection 2023.
5
Laparoscopic versus open distal pancreatectomy for pancreatic cancer.腹腔镜与开放远端胰腺切除术治疗胰腺癌
Cochrane Database Syst Rev. 2016 Apr 4;4(4):CD011391. doi: 10.1002/14651858.CD011391.pub2.
6
Acinar cystic transformation of the pancreas: A rare case report.胰腺腺泡囊性变:一例罕见病例报告。
World J Clin Cases. 2025 Aug 16;13(23):107096. doi: 10.12998/wjcc.v13.i23.107096.
7
[Volume and health outcomes: evidence from systematic reviews and from evaluation of Italian hospital data].[容量与健康结果:来自系统评价和意大利医院数据评估的证据]
Epidemiol Prev. 2013 Mar-Jun;37(2-3 Suppl 2):1-100.
8
Analysis of Factors Determining Spleen Preservation during Laparoscopic Distal Pancreatectomy - A Cohort Study.腹腔镜胰体尾切除术保留脾脏相关因素的分析——一项队列研究。
Surg Laparosc Endosc Percutan Tech. 2024 Oct 1;34(5):497-503. doi: 10.1097/SLE.0000000000001309.
9
Large sized bilateral adrenal myelolipoma with spontaneous retroperitoneal hemorrhage: a case series.双侧巨大肾上腺髓样脂肪瘤伴自发性腹膜后出血:病例系列
Ann Med Surg (Lond). 2025 Jul 18;87(8):5277-5282. doi: 10.1097/MS9.0000000000003551. eCollection 2025 Aug.
10
Amylase in drain fluid for the diagnosis of pancreatic leak in post-pancreatic resection.引流液中的淀粉酶用于诊断胰腺切除术后的胰瘘。
Cochrane Database Syst Rev. 2017 Apr 7;4(4):CD012009. doi: 10.1002/14651858.CD012009.pub2.

本文引用的文献

1
Pancreatic pseudocyst: The past, the present, and the future.胰腺假性囊肿:过去、现在与未来
World J Gastrointest Surg. 2024 Jul 27;16(7):1986-2002. doi: 10.4240/wjgs.v16.i7.1986.
2
Adrenal Hemorrhage: A Comprehensive Analysis of a Heterogeneous Entity-Etiology, Presentation, Management, and Outcomes.肾上腺出血:一种异质性实体的综合分析-病因、表现、治疗和结局。
Mayo Clin Proc. 2024 Mar;99(3):375-386. doi: 10.1016/j.mayocp.2023.10.002.
3
Eosinophilic Esophagitis and Gastroesophageal Reflux Disease: An Overlapping of Clinical, Endoscopic and Manometric Features.
嗜酸性粒细胞性食管炎与胃食管反流病:临床、内镜及测压特征的重叠
Cureus. 2021 Jun 20;13(6):e15774. doi: 10.7759/cureus.15774. eCollection 2021 Jun.
4
Pancreatic pseudocyst: Dilemma of its recent management (Review).胰腺假性囊肿:近期治疗的困境(综述)
Exp Ther Med. 2021 Feb;21(2):159. doi: 10.3892/etm.2020.9590. Epub 2020 Dec 18.
5
Surgical Management of Pancreatic Pseudocysts.胰腺假性囊肿的外科治疗
Gastrointest Endosc Clin N Am. 2018 Apr;28(2):131-141. doi: 10.1016/j.giec.2017.11.002. Epub 2018 Jan 5.
6
Management of pancreatic pseudocysts-A retrospective analysis.胰腺假性囊肿的管理——一项回顾性分析。
PLoS One. 2017 Sep 6;12(9):e0184374. doi: 10.1371/journal.pone.0184374. eCollection 2017.
7
Classification and Management of Pancreatic Pseudocysts.胰腺假性囊肿的分类与管理
Medicine (Baltimore). 2015 Jun;94(24):e960. doi: 10.1097/MD.0000000000000960.
8
Endoscopic management of pancreatic pseudocysts.内镜治疗胰腺假性囊肿。
Gastroenterol Clin North Am. 2012 Mar;41(1):47-62. doi: 10.1016/j.gtc.2011.12.007. Epub 2012 Jan 5.
9
"Cystography" in a case of pancreatic pseudocyst.
Gastroenterologia. 1963;99:164-8. doi: 10.1159/000202394.
10
Pancreatic pseudocysts.
Br J Surg. 1976 Jan;63(1):55-9. doi: 10.1002/bjs.1800630113.