Suppr超能文献

基于深度学习的图像重建有助于扩散张量成像评估抑郁症的严重程度。

Deep learning-based image reconstruction benefits diffusion tensor imaging for assessing severity of depression.

作者信息

Cui Yuanyuan, Wang Yihao, Yuan Weimin, Zhang Youhan, Wang Yunmeng, Dai Jiankun, Cheng Yuxin, Zhang Xin, Sun Hongbiao, Dong Shuwen, Wang Jinlin, Bai Yonghai, Liu Shiyuan, Xiao Yi

机构信息

Department of Radiology, Second Affiliated Hospital of Naval Medical University, Shanghai, China.

Department of Psychology, Second Affiliated Hospital of Naval Medical University, Shanghai, China.

出版信息

Front Neurosci. 2025 Aug 12;19:1607130. doi: 10.3389/fnins.2025.1607130. eCollection 2025.

Abstract

OBJECTIVE

This study aimed to evaluate whether deep learning-based image reconstruction (DLR) improves the accuracy of diffusion tensor imaging (DTI) measurements used to assess the severity of depression.

METHODS

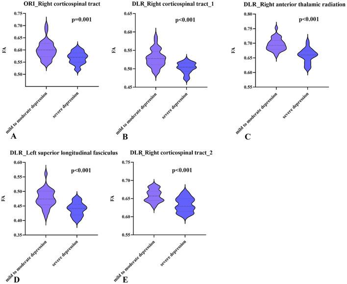
A total of 52 patients diagnosed with depression in our hospital between March 2023 and July 2023 were enrolled in this study. The severity of depression was measured using the 9-item Patient Health Questionnaire (PHQ-9). Each patient underwent DTI scans. Two image sets were generated: one with the original DTI (ORI DTI) and one using DLR DTI. Tract-Based Spatial Statistics (TBSS) were used to compare the fractional anisotropy (FA) between DLR DTI and ORI DTI, as well as between patients with mild-to-moderate and those with severe depression. Multivariate logistic regression was carried out to determine independent factors for discriminating mild-to-moderate from severe depression patients. Receiver operating characteristic (ROC) curve analysis and areas under the curve (AUC) were used to assess the diagnostic performance.

RESULTS

Twenty-eight patients with mild-to-moderate depression and 24 with severe depression were included. No significant differences were observed between the two groups in terms of gender ( = 0.115), age ( = 0.603), or educational background ( = 0.148). Compared to patients with mild-to-moderate depression, those with severe depression showed lower FA values in the right corticospinal tract (CST) on ORI DTI. Using DLR DTI, decreases in FA values were observed in the right CST, right anterior thalamic radiation, and left superior longitudinal fasciculus. The diagnostic model based on DLR DTI outperformed the ORI DTI model in assessing severity of depression (AUC: 0.951 vs. 0.764, < 0.001).

CONCLUSION

DLR DTI demonstrated greater sensitivity in detecting white matter (WM) abnormalities in patients with severe depression and provided better diagnostic performance in evaluating severity of depression.

摘要

目的

本研究旨在评估基于深度学习的图像重建(DLR)是否能提高用于评估抑郁症严重程度的扩散张量成像(DTI)测量的准确性。

方法

2023年3月至2023年7月期间在我院诊断为抑郁症的52例患者纳入本研究。使用9项患者健康问卷(PHQ-9)测量抑郁症的严重程度。每位患者均接受DTI扫描。生成了两组图像:一组为原始DTI(ORI DTI),另一组为使用DLR DTI的图像。基于纤维束的空间统计(TBSS)用于比较DLR DTI与ORI DTI之间以及轻度至中度抑郁症患者与重度抑郁症患者之间的各向异性分数(FA)。进行多变量逻辑回归以确定区分轻度至中度抑郁症患者与重度抑郁症患者的独立因素。采用受试者工作特征(ROC)曲线分析和曲线下面积(AUC)评估诊断性能。

结果

纳入28例轻度至中度抑郁症患者和24例重度抑郁症患者。两组在性别( = 0.115)、年龄( = 0.603)或教育背景( = 0.148)方面未观察到显著差异。与轻度至中度抑郁症患者相比,重度抑郁症患者在ORI DTI上右侧皮质脊髓束(CST)的FA值较低。使用DLR DTI时,右侧CST、右侧丘脑前辐射和左侧上纵束的FA值降低。基于DLR DTI的诊断模型在评估抑郁症严重程度方面优于ORI DTI模型(AUC:0.951对0.764, < 0.001)。

结论

DLR DTI在检测重度抑郁症患者的白质(WM)异常方面表现出更高的敏感性,并在评估抑郁症严重程度方面提供了更好的诊断性能。

https://cdn.ncbi.nlm.nih.gov/pmc/blobs/33a4/12378163/8957c8f50d05/fnins-19-1607130-g0001.jpg

文献检索

告别复杂PubMed语法,用中文像聊天一样搜索,搜遍4000万医学文献。AI智能推荐,让科研检索更轻松。

立即免费搜索

文件翻译

保留排版,准确专业,支持PDF/Word/PPT等文件格式,支持 12+语言互译。

免费翻译文档

深度研究

AI帮你快速写综述,25分钟生成高质量综述,智能提取关键信息,辅助科研写作。

立即免费体验