Suppr超能文献

表现为肠道假性梗阻的广泛性特发性肠系膜静脉硬化:一例报告

Extensive idiopathic mesenteric phlebosclerosis presenting as intestinal pseudo-obstruction: A case report.

作者信息

Hou Xiao-Lin, Chen Jie, Cui Mei-Hua, Yang Gui-Bin

机构信息

Department of Gastroenterology, Aerospace Center Hospital, Beijing 100049, China.

Department of Medical Imaging, Aerospace Center Hospital, Beijing 100049, China.

出版信息

World J Clin Cases. 2025 Sep 6;13(25):105028. doi: 10.12998/wjcc.v13.i25.105028.

Abstract

BACKGROUND

Idiopathic mesenteric phlebosclerosis (IMP) is a rare condition that causes ischaemic colitis, has various clinical manifestations, and may even be asymptomatic, often resulting in clinical misdiagnosis.

CASE SUMMARY

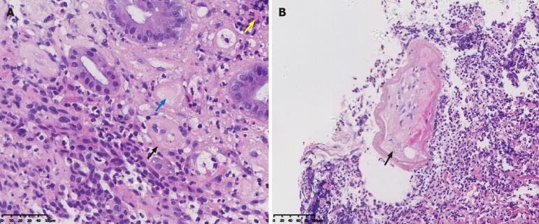
We report the case of a 44-year-old woman with chief complaints of abdominal pain, vomiting and decreased defecation. One year prior, the patient was asymptomatic and therefore misdiagnosed with inflammatory bowel disease based on incidental findings on an abdominal computed tomography (CT) scan. The present abdominal CT scan revealed an intestinal obstruction, diffuse thickening of the entire colon wall and calcification of the mesenteric and colonic veins. Colonoscopy revealed multiple ulcerations and extensive dark purple discolouration of the oedematous mucosa. Colonic transit studies suggested a decrease in colonic motility. IMP was considered the underlying cause of her pseudoileus, which was potentially linked to her consumption of Chinese medicinal teas for more than 30 years. The patient underwent conservative medical treatment, and her symptoms gradually improved. She exhibited no signs of ileus or other significant discomfort at the outpatient follow-up one year after the discontinuation of Chinese herbal tea consumption.

CONCLUSION

IMP can present with symptoms of pseudoileus as initial complication. Clinicians can use CT and colonoscopy for differential diagnoses.

摘要

背景

特发性肠系膜静脉硬化(IMP)是一种罕见疾病,可导致缺血性结肠炎,有多种临床表现,甚至可能无症状,常导致临床误诊。

病例摘要

我们报告一例44岁女性患者,主要症状为腹痛、呕吐和排便减少。一年前,患者无症状,因腹部计算机断层扫描(CT)偶然发现而被误诊为炎症性肠病。此次腹部CT扫描显示肠梗阻、全结肠壁弥漫性增厚以及肠系膜和结肠静脉钙化。结肠镜检查发现多处溃疡,水肿黏膜广泛呈深紫色。结肠运输试验提示结肠动力下降。IMP被认为是其假性肠梗阻的潜在病因,这可能与她饮用30多年的中药茶有关。患者接受了保守药物治疗,症状逐渐改善。停止饮用中药茶一年后的门诊随访中,她没有肠梗阻或其他明显不适的迹象。

结论

IMP可表现为假性肠梗阻症状作为初始并发症。临床医生可使用CT和结肠镜进行鉴别诊断。

https://cdn.ncbi.nlm.nih.gov/pmc/blobs/deb7/12243906/c9b83382c189/wjcc-13-25-105028-g001.jpg

文献AI研究员

20分钟写一篇综述,助力文献阅读效率提升50倍。

立即体验

用中文搜PubMed

大模型驱动的PubMed中文搜索引擎

马上搜索

文档翻译

学术文献翻译模型,支持多种主流文档格式。

立即体验