Suppr超能文献

Sigma-1受体与GABARAP的保守性LIR特异性相互作用。

Conserved LIR-specific interaction of Sigma-1 receptor and GABARAP.

作者信息

Baeken Marius Wilhelm, Christ Maximilian, Schmitt Daniel, Trein Wencke, Nagel Heike, Clement Albrecht Martin, Körschgen Hagen, Behl Christian

机构信息

Institute of Pathobiochemistry, The Autophagy Lab, University Medical Center of the Johannes Gutenberg-University Mainz, Duesbergweg 6, 55128 Mainz, Germany.

出版信息

iScience. 2025 Aug 5;28(9):113287. doi: 10.1016/j.isci.2025.113287. eCollection 2025 Sep 19.

Abstract

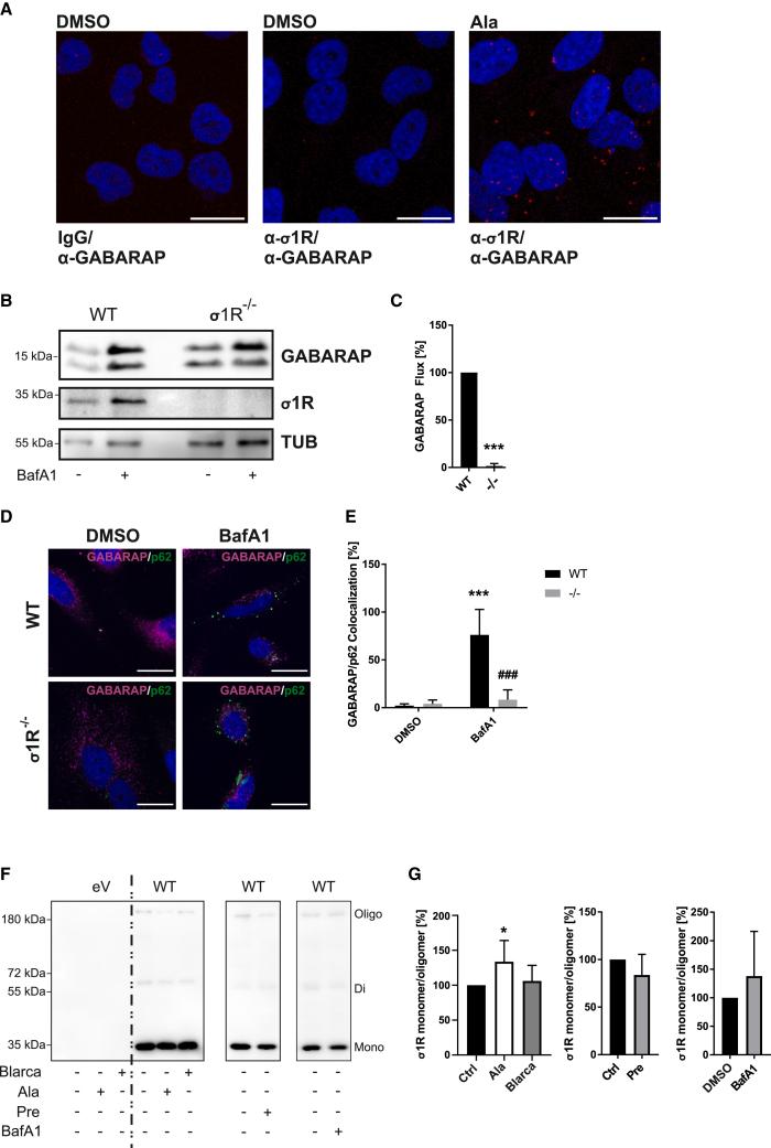
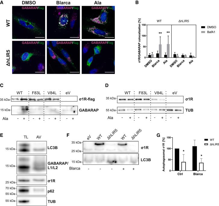
Among its various functions, the sigma-1 receptor (σ1R) has been reported to modulate macroautophagy. It is currently unknown how this activity is mediated. We phylogenetically, structurally, and biochemically analyzed σ1R regarding its function in autophagy. We identified several putative LC3-interacting-regions (LIRs) that may mediate interactions with ATG8 proteins, which are known to promote autophagosome biogenesis, autophagic cargo reception, and lysosome fusion. Human σ1R comprises a LIR motif (hLIR5) typical for interaction with a specific ATG8, GABARAP. Biochemically, we uncovered a GABARAP-σ1R interaction depending on this motif via peptide array analysis and confirmed this via immunoprecipitation, co-localization, and proximity ligation assays. In addition, we verified a LIR-dependent presence of σ1R in isolated native autophagic vesicles. Excitingly, two point mutations within this LIR that have previously been reported to be associated with autosomal-recessive distal spinal muscular atrophy lack the ability to interact with GABARAP, highlighting the physiological relevance of the hLIR5-mediated σ1R-GABARAP interaction.

摘要

在其多种功能中,据报道σ-1受体(σ1R)可调节巨自噬。目前尚不清楚这种活性是如何介导的。我们从系统发育、结构和生化方面分析了σ1R在自噬中的功能。我们鉴定了几个可能介导与ATG8蛋白相互作用的假定LC3相互作用区域(LIR),已知这些蛋白可促进自噬体生物发生、自噬货物接收和溶酶体融合。人σ1R包含一个与特定ATG8,即GABARAP相互作用的典型LIR基序(hLIR5)。通过生化方法,我们通过肽阵列分析发现了一种依赖于该基序的GABARAP-σ1R相互作用,并通过免疫沉淀、共定位和邻近连接分析证实了这一点。此外,我们在分离的天然自噬小泡中验证了σ1R依赖LIR的存在。令人兴奋的是,先前报道的与常染色体隐性远端脊髓性肌萎缩相关的该LIR内的两个点突变缺乏与GABARAP相互作用的能力,突出了hLIR5介导的σ1R-GABARAP相互作用的生理相关性。

https://cdn.ncbi.nlm.nih.gov/pmc/blobs/08f1/12398221/23153b511c58/fx1.jpg

文献检索

告别复杂PubMed语法,用中文像聊天一样搜索,搜遍4000万医学文献。AI智能推荐,让科研检索更轻松。

立即免费搜索

文件翻译

保留排版,准确专业,支持PDF/Word/PPT等文件格式,支持 12+语言互译。

免费翻译文档

深度研究

AI帮你快速写综述,25分钟生成高质量综述,智能提取关键信息,辅助科研写作。

立即免费体验