• 文献检索
  • 文档翻译
  • 深度研究
  • 学术资讯
  • Suppr Zotero 插件Zotero 插件
  • 邀请有礼
  • 套餐&价格
  • 历史记录
应用&插件
Suppr Zotero 插件Zotero 插件浏览器插件Mac 客户端Windows 客户端微信小程序
定价
高级版会员购买积分包购买API积分包
服务
文献检索文档翻译深度研究API 文档MCP 服务
关于我们
关于 Suppr公司介绍联系我们用户协议隐私条款
关注我们

Suppr 超能文献

核心技术专利:CN118964589B侵权必究
粤ICP备2023148730 号-1Suppr @ 2026

文献检索

告别复杂PubMed语法,用中文像聊天一样搜索,搜遍4000万医学文献。AI智能推荐,让科研检索更轻松。

立即免费搜索

文件翻译

保留排版,准确专业,支持PDF/Word/PPT等文件格式,支持 12+语言互译。

免费翻译文档

深度研究

AI帮你快速写综述,25分钟生成高质量综述,智能提取关键信息,辅助科研写作。

立即免费体验

婴儿烟雾病罕见病例:中风后神经康复的复杂性

A Rare Case of Moyamoya Disease in Infancy: Complexities in Post-stroke Neurorehabilitation.

作者信息

Majit Amine Achraf, Rhoul Abdelilah, Mahla Houssam, Kassi Khaoula, El Oumri Ahmed Amine

机构信息

Physical Medicine and Rehabilitation, Mohammed VI University Hospital, Oujda, MAR.

Physical Medicine and Rehabilitation, Faculty of Medicine and Pharmacy, Mohammed I University, Oujda, MAR.

出版信息

Cureus. 2025 Jul 31;17(7):e89133. doi: 10.7759/cureus.89133. eCollection 2025 Jul.

DOI:10.7759/cureus.89133
PMID:40895857
原文链接:https://pmc.ncbi.nlm.nih.gov/articles/PMC12398300/
Abstract

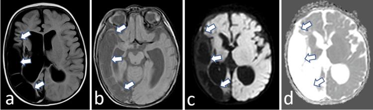
Although ischemic stroke in infants is not very common, it remains one of the causes of morbidity and mortality in children. One of the etiologies is Moyamoya disease, which remains a rare entity in Morocco. Management of this disease in the pediatric population remains precarious due to delayed diagnosis, given the diversity of clinical presentations and the lack of necessary technical means, such as MRI or angiography, allowing early diagnosis, as well as the lack of standardized international rehabilitation protocols and the absence of pediatric rehabilitation structures in underdeveloped countries. Through this case report of a four-month-old infant who suffered an ischemic stroke in a Moyamoya, we discuss the diagnostic difficulties and its rehabilitation challenges.

摘要

虽然婴儿缺血性中风并不常见,但它仍是儿童发病和死亡的原因之一。病因之一是烟雾病,在摩洛哥它仍然是一种罕见的疾病。由于临床表现多样且缺乏必要的技术手段(如MRI或血管造影)以进行早期诊断,以及缺乏标准化的国际康复方案且欠发达国家没有儿科康复机构,导致诊断延迟,儿科人群中这种疾病的管理仍然不稳定。通过这份关于一名4个月大患烟雾病缺血性中风婴儿的病例报告,我们讨论了诊断困难及其康复挑战。

https://cdn.ncbi.nlm.nih.gov/pmc/blobs/360d/12398300/905ae1feac2f/cureus-0017-00000089133-i02.jpg
https://cdn.ncbi.nlm.nih.gov/pmc/blobs/360d/12398300/d3da4c69e113/cureus-0017-00000089133-i01.jpg
https://cdn.ncbi.nlm.nih.gov/pmc/blobs/360d/12398300/905ae1feac2f/cureus-0017-00000089133-i02.jpg
https://cdn.ncbi.nlm.nih.gov/pmc/blobs/360d/12398300/d3da4c69e113/cureus-0017-00000089133-i01.jpg
https://cdn.ncbi.nlm.nih.gov/pmc/blobs/360d/12398300/905ae1feac2f/cureus-0017-00000089133-i02.jpg

相似文献

1
A Rare Case of Moyamoya Disease in Infancy: Complexities in Post-stroke Neurorehabilitation.婴儿烟雾病罕见病例:中风后神经康复的复杂性
Cureus. 2025 Jul 31;17(7):e89133. doi: 10.7759/cureus.89133. eCollection 2025 Jul.
2
Prescription of Controlled Substances: Benefits and Risks管制药品的处方:益处与风险
3
Interventions for motor rehabilitation in people with transtibial amputation due to peripheral arterial disease or diabetes.周围动脉疾病或糖尿病导致的胫骨截肢患者的运动康复干预措施。
Cochrane Database Syst Rev. 2023 Jun 5;6(6):CD013711. doi: 10.1002/14651858.CD013711.pub2.
4
Ophthalmia Neonatorum新生儿眼炎
5
Multidisciplinary rehabilitation for older people with hip fractures.老年人髋部骨折的多学科康复。
Cochrane Database Syst Rev. 2021 Nov 12;11(11):CD007125. doi: 10.1002/14651858.CD007125.pub3.
6
Dietary Approaches to Stop Hypertension (DASH) for the primary and secondary prevention of cardiovascular diseases.用于心血管疾病一级和二级预防的饮食预防高血压(DASH)方案。
Cochrane Database Syst Rev. 2025 May 6;5(5):CD013729. doi: 10.1002/14651858.CD013729.pub2.
7
Nutritional therapy for reducing disability and improving activities of daily living in people after stroke.脑卒中后通过营养疗法减少残疾和提高日常生活活动能力。
Cochrane Database Syst Rev. 2024 Aug 15;8(8):CD014852. doi: 10.1002/14651858.CD014852.pub2.
8
Poststroke eHealth Technologies-Based Rehabilitation for Upper Limb Recovery: Systematic Review.基于电子健康技术的中风后上肢康复:系统评价
J Med Internet Res. 2025 Mar 4;27:e57957. doi: 10.2196/57957.
9
123I-MIBG scintigraphy and 18F-FDG-PET imaging for diagnosing neuroblastoma.用于诊断神经母细胞瘤的123I-间碘苄胍闪烁扫描术和18F-氟代脱氧葡萄糖正电子发射断层显像
Cochrane Database Syst Rev. 2015 Sep 29;2015(9):CD009263. doi: 10.1002/14651858.CD009263.pub2.
10
Systemic Inflammatory Response Syndrome全身炎症反应综合征

本文引用的文献

1
Exploring in Ischemic Stroke and Moyamoya Disease: From Cellular Models to Clinical Insights.缺血性中风和烟雾病的探索:从细胞模型到临床见解
Biomedicines. 2024 Dec 26;13(1):17. doi: 10.3390/biomedicines13010017.
2
Pediatric stroke: We need to look for it.小儿中风:我们需要去寻找它。
J Neurol Sci. 2024 Dec 15;467:123276. doi: 10.1016/j.jns.2024.123276. Epub 2024 Oct 18.
3
A Review of Current Perspectives on Motoric Insufficiency Rehabilitation following Pediatric Stroke.小儿卒中后运动功能不全康复的当前观点综述
Healthcare (Basel). 2024 Jan 9;12(2):149. doi: 10.3390/healthcare12020149.
4
Neuromotor Rehabilitation Interventions After Pediatric Stroke: A Focused Review.小儿卒中后的神经运动康复干预:一项聚焦综述
Semin Pediatr Neurol. 2022 Dec;44:100994. doi: 10.1016/j.spen.2022.100994. Epub 2022 Sep 10.
5
The Incidence and Characteristics of Perinatal Stroke in Beijing: A Multicenter Study.《北京地区围生期卒中的发病特征及病因分析:多中心研究》。
Front Public Health. 2022 Mar 24;10:783153. doi: 10.3389/fpubh.2022.783153. eCollection 2022.
6
Current approaches and advances in the imaging of stroke.当前中风影像诊断的方法和进展。
Dis Model Mech. 2021 Dec 1;14(12). doi: 10.1242/dmm.048785. Epub 2021 Dec 7.
7
The Genetic Basis of Moyamoya Disease.Moyamoya 病的遗传学基础。
Transl Stroke Res. 2022 Feb;13(1):25-45. doi: 10.1007/s12975-021-00940-2. Epub 2021 Sep 16.
8
Movement Velocity and Fluidity Improve after Armeo®Spring Rehabilitation in Children Affected by Acquired and Congenital Brain Diseases: An Observational Study.Armeo®Spring 康复治疗对脑性瘫痪患儿运动速度和流畅性的影响:一项观察性研究
Biomed Res Int. 2018 Nov 18;2018:1537170. doi: 10.1155/2018/1537170. eCollection 2018.
9
Pediatric Stroke Clinical Pathway Improves the Time to Diagnosis in an Emergency Department.儿科卒中临床路径缩短了急诊科的诊断时间。
Pediatr Neurol. 2016 Dec;65:39-44. doi: 10.1016/j.pediatrneurol.2016.09.005. Epub 2016 Sep 13.
10
Plasticity in the Neonatal Brain following Hypoxic-Ischaemic Injury.缺氧缺血性损伤后新生儿脑的可塑性
Neural Plast. 2016;2016:4901014. doi: 10.1155/2016/4901014. Epub 2016 Mar 7.