• 文献检索
  • 文档翻译
  • 深度研究
  • 学术资讯
  • Suppr Zotero 插件Zotero 插件
  • 邀请有礼
  • 套餐&价格
  • 历史记录
应用&插件
Suppr Zotero 插件Zotero 插件浏览器插件Mac 客户端Windows 客户端微信小程序
定价
高级版会员购买积分包购买API积分包
服务
文献检索文档翻译深度研究API 文档MCP 服务
关于我们
关于 Suppr公司介绍联系我们用户协议隐私条款
关注我们

Suppr 超能文献

核心技术专利:CN118964589B侵权必究
粤ICP备2023148730 号-1Suppr @ 2026

文献检索

告别复杂PubMed语法,用中文像聊天一样搜索,搜遍4000万医学文献。AI智能推荐,让科研检索更轻松。

立即免费搜索

文件翻译

保留排版,准确专业,支持PDF/Word/PPT等文件格式,支持 12+语言互译。

免费翻译文档

深度研究

AI帮你快速写综述,25分钟生成高质量综述,智能提取关键信息,辅助科研写作。

立即免费体验

一名成年女性的原发性肠系膜包虫囊肿酷似卵巢囊肿:黎巴嫩首例报告病例并文献复习

A Primary Mesenteric Hydatid Cyst in an Adult Female Mimicking an Ovarian Cyst: The First Reported Case in Lebanon With Review of the Literature.

作者信息

Assi Farah, Abou Hamdan Douaa, Mourad Youmna, El Dakdoukii Ghenwa K, Akil Leila, Chamseddine Nada

机构信息

Infectious Diseases/Internal Medicine, Lebanese University Faculty of Medicine, St Georges Hospital, Beirut, LBN.

Infectious Diseases, Lebanese University Faculty of Medicine, Beirut, LBN.

出版信息

Cureus. 2025 Jul 31;17(7):e89153. doi: 10.7759/cureus.89153. eCollection 2025 Jul.

DOI:10.7759/cureus.89153
PMID:40895920
原文链接:https://pmc.ncbi.nlm.nih.gov/articles/PMC12399020/
Abstract

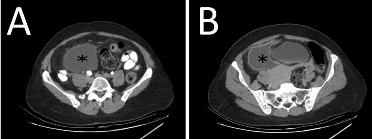
Hydatid cyst is a parasitic zoonosis caused by echinococcosis. Liver and lung are the two primarily affected organs. Primary mesenteric hydatid cyst is a rare event, and few cases have been reported globally. In this case report, we present the first documented case, to our knowledge, in Lebanon. The patient was a 49-year-old female who presented for acute worsening of a long-standing abdominal pain. The primary differential diagnosis was an ovarian cyst, for which urgent surgical excision was performed. Histopathological analysis showed a primary mesenteric hydatid cyst, thus providing the final diagnosis. This case highlights the diagnostic challenges that rare and atypical localizations of hydatid cysts present, and the importance of including echinococcosis in the differential diagnosis of abdominal cystic masses.

摘要

包虫囊肿是由棘球蚴病引起的一种寄生虫人畜共患病。肝脏和肺是两个主要受累器官。原发性肠系膜包虫囊肿是一种罕见的情况,全球报道的病例很少。在本病例报告中,据我们所知,我们呈现了黎巴嫩的首例有记录的病例。患者为一名49岁女性,因长期腹痛急性加重前来就诊。主要鉴别诊断为卵巢囊肿,为此进行了紧急手术切除。组织病理学分析显示为原发性肠系膜包虫囊肿,从而得出最终诊断。该病例突出了包虫囊肿罕见和非典型定位所带来的诊断挑战,以及在腹部囊性肿块的鉴别诊断中纳入棘球蚴病的重要性。

https://cdn.ncbi.nlm.nih.gov/pmc/blobs/5b5a/12399020/eace4b88d611/cureus-0017-00000089153-i03.jpg
https://cdn.ncbi.nlm.nih.gov/pmc/blobs/5b5a/12399020/da29b502bea6/cureus-0017-00000089153-i01.jpg
https://cdn.ncbi.nlm.nih.gov/pmc/blobs/5b5a/12399020/b88720954e00/cureus-0017-00000089153-i02.jpg
https://cdn.ncbi.nlm.nih.gov/pmc/blobs/5b5a/12399020/eace4b88d611/cureus-0017-00000089153-i03.jpg
https://cdn.ncbi.nlm.nih.gov/pmc/blobs/5b5a/12399020/da29b502bea6/cureus-0017-00000089153-i01.jpg
https://cdn.ncbi.nlm.nih.gov/pmc/blobs/5b5a/12399020/b88720954e00/cureus-0017-00000089153-i02.jpg
https://cdn.ncbi.nlm.nih.gov/pmc/blobs/5b5a/12399020/eace4b88d611/cureus-0017-00000089153-i03.jpg

相似文献

1
A Primary Mesenteric Hydatid Cyst in an Adult Female Mimicking an Ovarian Cyst: The First Reported Case in Lebanon With Review of the Literature.一名成年女性的原发性肠系膜包虫囊肿酷似卵巢囊肿:黎巴嫩首例报告病例并文献复习
Cureus. 2025 Jul 31;17(7):e89153. doi: 10.7759/cureus.89153. eCollection 2025 Jul.
2
Renal hydatid cyst mimicking malignancy: a case report.酷似恶性肿瘤的肾包虫囊肿:一例报告
Int J Surg Case Rep. 2025 Jul;132:111506. doi: 10.1016/j.ijscr.2025.111506. Epub 2025 Jun 13.
3
Thoracoscopic Approach for Treating a Primary Hydatid Cyst in the Thymus in a Teenager: A Case Report.胸腔镜治疗青少年胸腺原发性包虫囊肿1例报告
Am J Case Rep. 2025 Aug 22;26:e948600. doi: 10.12659/AJCR.948600.
4
Isolated splenic hydatid cyst in a 5-year-old girl- a rare case report with a rare presentation.一名5岁女童的孤立性脾包虫囊肿——一例罕见病例报告及罕见表现
Int J Surg Case Rep. 2025 Aug 5;134:111762. doi: 10.1016/j.ijscr.2025.111762.
5
Isolated Mitral Valve Hydatid CYST Mimicking Myxoma: A Rare Case of Mitral Valve Echinococcosis.孤立性二尖瓣包虫囊肿酷似黏液瘤:二尖瓣棘球蚴病1例罕见病例
Eur J Case Rep Intern Med. 2025 Jul 16;12(8):005667. doi: 10.12890/2025_005667. eCollection 2025.
6
Treatment of uncomplicated hepatic cystic echinococcosis (hydatid disease).肝包虫病(包虫病)的单纯性肝囊肿的治疗。
Cochrane Database Syst Rev. 2024 Jul 12;7(7):CD015573. doi: 10.1002/14651858.CD015573.
7
The deceptive cysts of echinococcus granulosus in the thigh: A case series and review of diagnostic and management challenges.大腿部细粒棘球绦虫的欺骗性囊肿:病例系列及诊断与管理挑战综述
Int J Surg Case Rep. 2025 Jun 27;134:111581. doi: 10.1016/j.ijscr.2025.111581.
8
Giant primary pancreatic echinococcosis.巨大原发性胰腺包虫病
Medicina (B Aires). 2025;85(4):846-850.
9
Primary Isolated Interventricular Hydatid Cyst With Left Ventricular Vegetation Presents With Neurological Manifestations: A Case Report.原发性孤立性心室包虫囊肿伴左心室赘生物并出现神经学表现:一例报告
Clin Case Rep. 2025 Jul 30;13(8):e70687. doi: 10.1002/ccr3.70687. eCollection 2025 Aug.
10
Spontaneous intraperitoneal rupture of hepatic hydatid cyst in a cirrhotic patient: A diagnostic and therapeutic challenge - A case report.肝硬化患者肝包虫囊肿自发性腹腔内破裂:诊断与治疗挑战——病例报告
Int J Surg Case Rep. 2025 Aug;133:111552. doi: 10.1016/j.ijscr.2025.111552. Epub 2025 Jun 21.

本文引用的文献

1
Evaluation of Hydatid Cyst Antigen for Serological Diagnosis.用于血清学诊断的包虫囊肿抗原评估
Med J Islam Repub Iran. 2023 Aug 14;37:87. doi: 10.47176/mjiri.37.87. eCollection 2023.
2
Mesenteric hydatid cyst mimicking an ovarian cyst - A case report.肠系膜包虫囊肿酷似卵巢囊肿——一例报告
Int J Surg Case Rep. 2023 May;106:108260. doi: 10.1016/j.ijscr.2023.108260. Epub 2023 Apr 24.
3
Primary mesenteric hydatid cyst; a rare manifestation of hydatid disease through a case report and literature review.原发性肠系膜包虫囊肿:通过一例病例报告及文献复习探讨包虫病的一种罕见表现
Int J Surg Case Rep. 2022 Oct;99:107592. doi: 10.1016/j.ijscr.2022.107592. Epub 2022 Sep 5.
4
A case report of primary isolated extrahepatic hydatid cyst of the soft tissues of the breast and thigh.一例原发性孤立性乳腺及大腿软组织肝外包虫囊肿的病例报告。
Int J Surg Case Rep. 2021 Feb;79:475-478. doi: 10.1016/j.ijscr.2021.01.087. Epub 2021 Jan 29.
5
A Rare Cause of Recurrent Vaginal Hydrocele: Herniating Mesenteric Hydatid Cyst.复发性阴道鞘膜积液的罕见病因:肠系膜包虫囊肿疝出
Iran J Parasitol. 2017 Jul-Sep;12(3):461-465.
6
A Hydatid Cyst of the Appendix which Mimicked a Tubo-ovarian Mass: A Case Report and Review of the Literature.一例酷似输卵管卵巢肿物的阑尾包虫囊肿:病例报告及文献复习
J Clin Diagn Res. 2013 Aug;7(8):1712-4. doi: 10.7860/JCDR/2013/5737.3264. Epub 2013 Aug 1.
7
Isolated primary hydatid cyst of small intestinal mesentery: an exceptional location of hydatid disease.孤立性小肠系膜原发性包虫囊肿:包虫病的罕见发病部位
Pan Afr Med J. 2012;13:17. Epub 2012 Sep 23.
8
Primary mesenteric hydatid cyst.原发性肠系膜棘球蚴囊肿
BMJ Case Rep. 2012 Jul 9;2012:bcr0320125996. doi: 10.1136/bcr.03.2012.5996.
9
Primary ileal mesenteric hydatidosis: A rare cause of colicky abdominal pain in childhood.
J Paediatr Child Health. 2009 Dec;45(12):769-70. doi: 10.1111/j.1440-1754.2009.01281.x.
10
Hydatid disease of the intestine manifesting as acute abdomen: a case report.
Am J Gastroenterol. 2010 Apr;105(4):961-2. doi: 10.1038/ajg.2009.671.