Suppr超能文献

一名成年发病型糖尿病女性出现的皮肤脱屑、胆汁淤积及明显的胆源性败血症。

Exfoliation, cholestasis, and apparent biliary sepsis in a woman with adult-onset diabetes.

作者信息

Heiman D F, Levine R A, Bia F J

出版信息

Yale J Biol Med. 1985 Sep-Oct;58(5):481-8.

Abstract

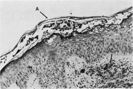
In consultation the authors were requested to evaluate a middle-aged diabetic woman for an apparent episode of biliary sepsis. The patient had been admitted to the dermatology service with a four-day history of rash and pruritus. This was initially thought to represent an allergic reaction to dicloxacillin in someone with a previous history of penicillin hypersensitivity. Persistent right upper quadrant pain, fevers, elevations of serum alkaline phosphatase, and a radionuclide scan which did not demonstrate a functioning gall bladder led to a cholecystectomy for acute cholecystitis and possible biliary sepsis. This diagnosis was not confirmed. Ultimately, this case illustrated the need to review carefully recent changes in any patient's drug regimen. Reactions to commonly prescribed agents may cause syndromes which are difficult to distinguish from episodes of apparent sepsis.

摘要

经会诊,要求作者对一名中年糖尿病女性进行评估,以确定其是否明显患有胆源性败血症。该患者因皮疹和瘙痒病史四天而入住皮肤科。最初认为这是一名有青霉素过敏史的患者对双氯西林的过敏反应。持续的右上腹疼痛、发热、血清碱性磷酸酶升高,以及放射性核素扫描未显示胆囊功能正常,导致因急性胆囊炎和可能的胆源性败血症而行胆囊切除术。但该诊断未得到证实。最终,该病例表明有必要仔细审查任何患者近期的药物治疗方案变化。对常用药物的反应可能会导致难以与明显的败血症发作相区分的综合征。

https://cdn.ncbi.nlm.nih.gov/pmc/blobs/d8b1/2589931/cbf18145148c/yjbm00095-0070-a.jpg

文献检索

告别复杂PubMed语法,用中文像聊天一样搜索,搜遍4000万医学文献。AI智能推荐,让科研检索更轻松。

立即免费搜索

文件翻译

保留排版,准确专业,支持PDF/Word/PPT等文件格式,支持 12+语言互译。

免费翻译文档

深度研究

AI帮你快速写综述,25分钟生成高质量综述,智能提取关键信息,辅助科研写作。

立即免费体验