• 文献检索
  • 文档翻译
  • 深度研究
  • 学术资讯
  • Suppr Zotero 插件Zotero 插件
  • 邀请有礼
  • 套餐&价格
  • 历史记录
应用&插件
Suppr Zotero 插件Zotero 插件浏览器插件Mac 客户端Windows 客户端微信小程序
定价
高级版会员购买积分包购买API积分包
服务
文献检索文档翻译深度研究API 文档MCP 服务
关于我们
关于 Suppr公司介绍联系我们用户协议隐私条款
关注我们

Suppr 超能文献

核心技术专利:CN118964589B侵权必究
粤ICP备2023148730 号-1Suppr @ 2026

文献检索

告别复杂PubMed语法,用中文像聊天一样搜索,搜遍4000万医学文献。AI智能推荐,让科研检索更轻松。

立即免费搜索

文件翻译

保留排版,准确专业,支持PDF/Word/PPT等文件格式,支持 12+语言互译。

免费翻译文档

深度研究

AI帮你快速写综述,25分钟生成高质量综述,智能提取关键信息,辅助科研写作。

立即免费体验

全垂体炎和漏斗炎与肉芽肿性多血管炎相关。

Panhypophysitis and infundibulitis associated with granulomatosis with polyangiitis.

作者信息

Cuevas-Ramos Daniel, Gómez-Sámano Miguel A, Velasco-Espinosa Oliver A, Flores-Guerrero Zazilnait, Porras-Topete Eduardo, Ulloa-Peregrina Jonathan de J, Reyes-Flores Jacqueline I, Gómez-Pérez Francisco J

出版信息

Endocrinol Diabetes Metab Case Rep. 2025 Sep 11;2025(3). doi: 10.1530/EDM-25-0019. Print 2025 Jul 1.

DOI:10.1530/EDM-25-0019
PMID:40932697
原文链接:https://pmc.ncbi.nlm.nih.gov/articles/PMC12435173/
Abstract

SUMMARY

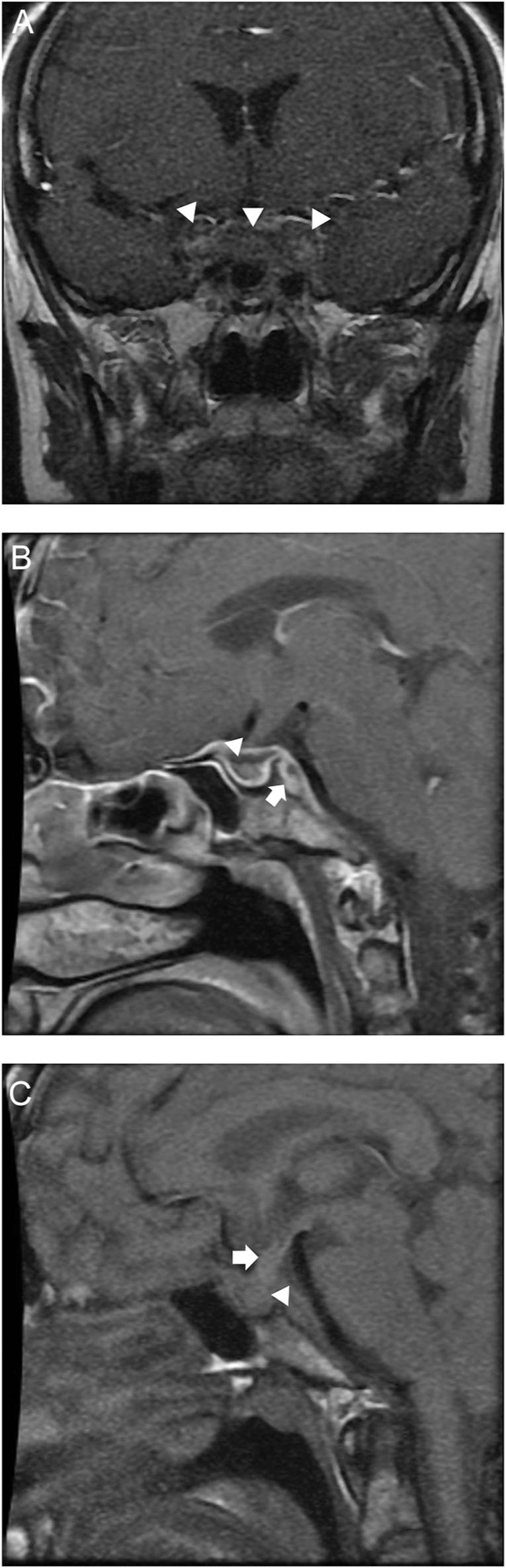
A 39-year-old woman presented with a 5-year history of severe intermittent headaches, rhinitis, hemoptysis, unintentional weight loss of 40 kg over a year, and unilateral vision loss. Then, she noticed polyuria, amenorrhea, muscle weakness, and cold intolerance. Diagnosis of granulomatosis with polyangiitis (GPA) was confirmed with elevated c-ANCA levels and PR3-positive antibodies. Physical examination revealed hypotension, absence of pubic and axillary hair, and classical signs of hypothyroidism. The patient reported multiple previous hospitalizations due to episodes of hypernatremia, hypotension, and hypoglycemia. The biochemical evaluation showed early signs of chronic kidney disease and central adrenal, thyroid, and gonadotropin deficiencies. Pituitary MRI revealed a heterogeneous pituitary gland with peripheral enhancement, central necrosis, and extension to adjacent structures, as well as the absence of posterior pituitary bright spot on T1-weighted imaging. A diagnosis of GPA with pituitary involvement was established. Remission therapy with corticosteroids and rituximab was started. After disease control, pituitary hormonal deficiencies persisted, requiring long-term hormone replacement therapy.

LEARNING POINTS

Pituitary involvement in cases with GPA is a rare manifestation frequently misdiagnosed. It is important to be aware of hypophysitis as a GPA activity complication that warrants a prompt diagnostic approach and treatment. The pathophysiology of hypophysitis may be mediated by a granulomatous lesion or due to vascular damage. Pituitary dysfunction in GPA may occur at any moment, as an initial manifestation or as a concomitant syndrome together with other organ compromise. Deficiency of arginine vasopressin and central hypogonadism are the most frequent pituitary hormonal alterations. Pituitary dysfunction usually persists despite remission of systemic activity, requiring long-term hormone replacement therapy and surveillance.

摘要

摘要

一名39岁女性,有5年严重间歇性头痛、鼻炎、咯血病史,一年来体重意外减轻40公斤,且有单侧视力丧失。随后,她出现多尿、闭经、肌肉无力和不耐寒。c-ANCA水平升高及PR3阳性抗体确诊为肉芽肿性多血管炎(GPA)。体格检查发现低血压、阴毛和腋毛缺失以及甲状腺功能减退的典型体征。患者报告此前因高钠血症、低血压和低血糖发作多次住院。生化评估显示有慢性肾病以及中枢性肾上腺、甲状腺和促性腺激素缺乏的早期迹象。垂体MRI显示垂体不均匀,周边强化,中央坏死并延伸至相邻结构,且在T1加权成像上垂体后叶亮点缺失。确诊为GPA累及垂体。开始使用皮质类固醇和利妥昔单抗进行缓解治疗。疾病得到控制后,垂体激素缺乏仍然存在,需要长期激素替代治疗。

学习要点

GPA病例中垂体受累是一种罕见表现,常被误诊。重要的是要认识到垂体炎是GPA活动的一种并发症,需要及时诊断和治疗。垂体炎的病理生理学可能由肉芽肿性病变介导或由于血管损伤。GPA中的垂体功能障碍可能在任何时候出现,作为初始表现或与其他器官损害同时出现的综合征。精氨酸加压素缺乏和中枢性性腺功能减退是最常见的垂体激素改变。尽管全身活动缓解,但垂体功能障碍通常仍然存在,需要长期激素替代治疗和监测。

https://cdn.ncbi.nlm.nih.gov/pmc/blobs/0527/12435173/6a734031bcb3/EDM-25-0019fig1.jpg
https://cdn.ncbi.nlm.nih.gov/pmc/blobs/0527/12435173/6a734031bcb3/EDM-25-0019fig1.jpg
https://cdn.ncbi.nlm.nih.gov/pmc/blobs/0527/12435173/6a734031bcb3/EDM-25-0019fig1.jpg

相似文献

1
Panhypophysitis and infundibulitis associated with granulomatosis with polyangiitis.全垂体炎和漏斗炎与肉芽肿性多血管炎相关。
Endocrinol Diabetes Metab Case Rep. 2025 Sep 11;2025(3). doi: 10.1530/EDM-25-0019. Print 2025 Jul 1.
2
Prescription of Controlled Substances: Benefits and Risks管制药品的处方:益处与风险
3
Cystinosis胱氨酸病
4
Pituitary dysfunction in granulomatosis with polyangiitis.肉芽肿性多血管炎的垂体功能障碍。
Pituitary. 2017 Oct;20(5):594-601. doi: 10.1007/s11102-017-0811-0.
5
-Related Overgrowth Spectrum相关过度生长谱系
6
Steatotic liver disease arising in an asymptomatic 20-year-old man with panhypopituitarism and elevated transaminases.一名20岁无症状男性,患有全垂体功能减退症且转氨酶升高,出现了脂肪性肝病。
Can Liver J. 2024 Dec 19;7(4):511-516. doi: 10.3138/canlivj-2024-0030. eCollection 2024 Dec.
7
[Guidelines for the prevention and management of bronchial asthma (2024 edition)].[支气管哮喘防治指南(2024年版)]
Zhonghua Jie He He Hu Xi Za Zhi. 2025 Mar 12;48(3):208-248. doi: 10.3760/cma.j.cn112147-20241013-00601.
8
Familial Isolated Pituitary Adenomas家族性孤立性垂体腺瘤
9
Isolated Sensorineural Hearing Loss as the Sole Manifestation of Granulomatosis with Polyangiitis.孤立性感音神经性听力损失作为显微镜下多血管炎的唯一表现
Am J Case Rep. 2025 Sep 12;26:e948700. doi: 10.12659/AJCR.948700.
10
Elbow Fractures Overview肘部骨折概述

本文引用的文献

1
Pituitary hypophysitis in granulomatosis with polyangiitis (GPA): a case series.肉芽肿性多血管炎(GPA)中的垂体垂体炎:病例系列。
Pituitary. 2024 Apr;27(2):230-237. doi: 10.1007/s11102-023-01378-5. Epub 2024 Jan 31.
2
Granulomatosis with polyangiitis masquerading as pituitary adenoma with apoplexy.肉芽肿性多血管炎伪装为垂体腺瘤伴卒中。
Mod Rheumatol Case Rep. 2021 Jul;5(2):342-346. doi: 10.1080/24725625.2021.1909222. Epub 2021 Apr 15.
3
Primary pituitary granulomatosis with polyangiitis and the role of pituitary biopsy, case report and literature review.
原发性垂体肉芽肿伴多血管炎及垂体活检的作用:病例报告及文献复习。
Br J Neurosurg. 2024 Apr;38(2):378-384. doi: 10.1080/02688697.2021.1878345. Epub 2021 Feb 4.
4
Pituitary dysfunction in granulomatosis with polyangiitis.肉芽肿性多血管炎的垂体功能障碍。
Clin Rheumatol. 2020 Feb;39(2):595-606. doi: 10.1007/s10067-019-04735-7. Epub 2019 Aug 24.
5
Pituitary involvement in patients with granulomatosis with polyangiitis: case series and literature review.肉芽肿性多血管炎患者的垂体受累:病例系列及文献复习。
Rheumatol Int. 2019 Aug;39(8):1467-1476. doi: 10.1007/s00296-019-04338-0. Epub 2019 Jun 15.
6
Granulomatosis with Polyangiitis Presenting as Hypophysitis.以垂体炎形式表现的肉芽肿性多血管炎
Am J Med. 2019 Jan;132(1):e21-e22. doi: 10.1016/j.amjmed.2018.09.004. Epub 2018 Sep 18.
7
Pituitary dysfunction in granulomatosis with polyangiitis.肉芽肿性多血管炎的垂体功能障碍。
Pituitary. 2017 Oct;20(5):594-601. doi: 10.1007/s11102-017-0811-0.
8
Pituitary involvement in granulomatosis with polyangiitis: report of 9 patients and review of the literature.垂体受累于显微镜下多血管炎:9例患者报告及文献复习
Medicine (Baltimore). 2015 Apr;94(16):e748. doi: 10.1097/MD.0000000000000748.
9
Pituitary dysfunction in granulomatosis with polyangiitis: the Mayo Clinic experience.肉芽肿性多血管炎的垂体功能障碍:梅奥诊所的经验。
J Clin Endocrinol Metab. 2014 Nov;99(11):3988-94. doi: 10.1210/jc.2014-1962. Epub 2014 Jul 31.
10
Panhypopituitarism due to Wegener's granulomatosis.韦格纳肉芽肿病所致全垂体功能减退症
Arq Bras Endocrinol Metabol. 2011 Oct;55(7):481-5. doi: 10.1590/s0004-27302011000700008.