Suppr超能文献

骶骨包虫囊肿:病例说明

Sacral hydatid cyst: illustrative case.

作者信息

Maraqa Lana, Najib Ruba, Mohsen Majd, Abudaya Ismail, Zaben Basel

机构信息

Medical Research Club, Al Quds University Faculty of Medicine, Jerusalem, Palestine.

Al Quds University Faculty of Medicine, Jerusalem, Palestine.

出版信息

J Neurosurg Case Lessons. 2025 Sep 15;10(11). doi: 10.3171/CASE25109.

Abstract

BACKGROUND

Echinococcus species causes hydatid cyst (HC) disease, primarily affecting the liver and lungs. Bone involvement is rare (0.5%-2% of cases), with half occurring in the vertebral system. Sacral spine involvement is particularly uncommon and poses diagnostic challenges.

OBSERVATIONS

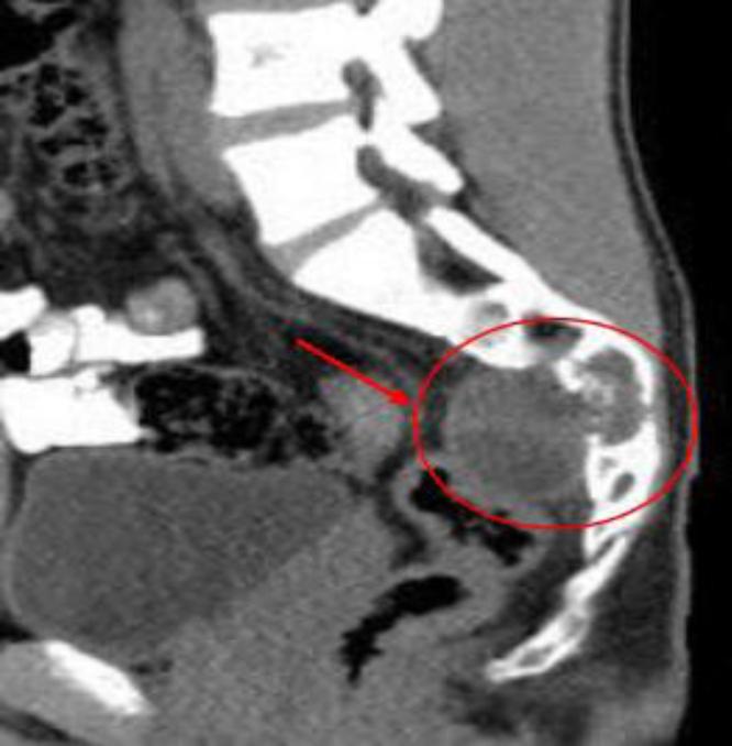
A 17-year-old male with a history of HC disease presented with low back pain radiating to both lower limbs, claudication, and chronic constipation for 5 years. Imaging revealed a large, multiloculated sacral cyst extending retrorectally and presacrally from S3 to S5, involving the spinal canal, compressing the rectum, and causing sacral erosion. A diagnosis of sacral hydatidosis was made, and the patient was started on albendazole, with surgical excision planned.

LESSONS

HC disease should be considered in the differential diagnosis of low back pain and constipation, especially in endemic regions. Because of its invasive nature and high recurrence rate, early diagnosis, antiparasitic therapy, and surgical intervention are essential. Proper follow-up is necessary to prevent complications, particularly in atypical presentations. https://thejns.org/doi/10.3171/CASE25109.

摘要

背景

棘球绦虫属可引发包虫囊肿(HC)病,主要累及肝脏和肺部。骨骼受累情况罕见(占病例的0.5%-2%),其中半数发生在脊柱系统。骶骨脊柱受累尤为少见,且带来诊断挑战。

观察结果

一名有HC病病史的17岁男性,出现下背部疼痛并放射至双下肢、间歇性跛行及慢性便秘达5年。影像学检查显示一个巨大的、多房性骶骨囊肿,从S3至S5向直肠后方和骶骨前方延伸,累及椎管,压迫直肠,并导致骶骨侵蚀。诊断为骶骨包虫病,患者开始服用阿苯达唑,并计划进行手术切除。

经验教训

在腰痛和便秘的鉴别诊断中应考虑HC病,尤其是在流行地区。由于其侵袭性本质和高复发率,早期诊断、抗寄生虫治疗及手术干预至关重要。进行适当的随访对于预防并发症很有必要,尤其是在非典型表现的情况下。https://thejns.org/doi/10.3171/CASE25109

https://cdn.ncbi.nlm.nih.gov/pmc/blobs/43e0/12435382/7dd09517c4cc/CASE25109_figure_1.jpg

文献AI研究员

20分钟写一篇综述,助力文献阅读效率提升50倍。

立即体验

用中文搜PubMed

大模型驱动的PubMed中文搜索引擎

马上搜索

文档翻译

学术文献翻译模型,支持多种主流文档格式。

立即体验