• 文献检索
  • 文档翻译
  • 深度研究
  • 学术资讯
  • Suppr Zotero 插件Zotero 插件
  • 邀请有礼
  • 套餐&价格
  • 历史记录
应用&插件
Suppr Zotero 插件Zotero 插件浏览器插件Mac 客户端Windows 客户端微信小程序
定价
高级版会员购买积分包购买API积分包
服务
文献检索文档翻译深度研究API 文档MCP 服务
关于我们
关于 Suppr公司介绍联系我们用户协议隐私条款
关注我们

Suppr 超能文献

核心技术专利:CN118964589B侵权必究
粤ICP备2023148730 号-1Suppr @ 2026

文献检索

告别复杂PubMed语法,用中文像聊天一样搜索,搜遍4000万医学文献。AI智能推荐,让科研检索更轻松。

立即免费搜索

文件翻译

保留排版,准确专业,支持PDF/Word/PPT等文件格式,支持 12+语言互译。

免费翻译文档

深度研究

AI帮你快速写综述,25分钟生成高质量综述,智能提取关键信息,辅助科研写作。

立即免费体验

腹腔注射伏马菌素B1 5天的大鼠的肝脏脂质组学、组织学、转录组学及临床化学

Liver Lipidomics, Histology, Transcriptomics, and Clinical Chemistry of Rats Intraperitoneally Treated with Fumonisin B1 for 5 days.

作者信息

Szabó András, Péter Mária, Balogh Gábor, Török Zsolt, Kóta Zoltán, Vígh László, Ali Omeralfaroug, Timár Botond, Kövér György, Nagy Tibor, Olasz Ferenc, Bóta Brigitta, Petneházy Örs, Gömbös Patrik, Agyarko Edward, Thi Nguyen Anh, Varga-Visi Éva, Kovács Melinda

机构信息

Agribiotechnology and Precision Breeding for Food Security National Laboratory, Department of Physiology and Animal Health, Institute of Physiology and Nutrition, Hungarian University of Agriculture and Life Sciences, Kaposvár 7400, Hungary.

HUN-REN-MATE Mycotoxins in the Food Chain Research Group, Kaposvár 7400, Hungary.

出版信息

J Agric Food Chem. 2025 Oct 1;73(39):24975-24996. doi: 10.1021/acs.jafc.5c05715. Epub 2025 Sep 17.

DOI:10.1021/acs.jafc.5c05715
PMID:40963092
原文链接:https://pmc.ncbi.nlm.nih.gov/articles/PMC12492397/
Abstract

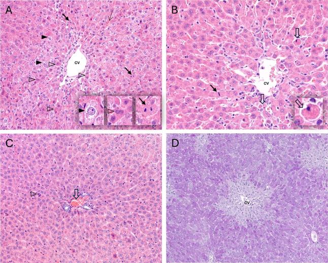
Fumonisin B1 was intraperitoneally administered at 2.1 μg/animal/day (1×) and 5 and 10 times above (5× and 10×) to male rats for 5 days ( = 8/group, = 32). Bodyweight gain decreased in all FB1-treated groups after 3 days, while bodyweight decreased (10×) after 5 days. Feed intake and liver weight decreased (5×, 10×). Clinical chemistry indicated increased total protein, albumin, cholesterol, AST, ALT, and gamma-GT (10×). Histopathology revealed apoptosis, mitosis, hydropic change, mild steatosis, and pericentral glycogen depletion (10×). Shotgun lipidomics showed an increase in sphingosine at 10×, with a dose-dependent depletion of longer-chain ceramide and sphingomyelin molecular species. GM3 ganglioside and free and esterified cholesterol increased linearly with FB1 dose. Arachidonic acid (AA)-containing species of ether-type phosphatidylcholine and phosphatidylethanolamine (PE) displayed a linear dose response; those in diacyl PE and phosphatidylinositol followed logarithmic models. Transcriptomics revealed downregulation of steroid metabolism, while the NF-kB, sphingolipid, PI3K-Akt-PTEN, and TNF signaling pathways were upregulated, critically beyond 5×.

摘要

伏马菌素B1以2.1μg/动物/天(1倍剂量)、5倍剂量和10倍剂量腹腔注射给雄性大鼠,持续5天(每组8只,共32只)。3天后,所有伏马菌素B1处理组的体重增加均减少,而5天后体重下降(10倍剂量组)。采食量和肝脏重量下降(5倍剂量组、10倍剂量组)。临床化学指标显示总蛋白、白蛋白、胆固醇、谷草转氨酶、谷丙转氨酶和γ-谷氨酰转肽酶升高(10倍剂量组)。组织病理学显示凋亡、有丝分裂、水样变性、轻度脂肪变性和中央周围糖原耗竭(10倍剂量组)。鸟枪法脂质组学显示10倍剂量组鞘氨醇增加,长链神经酰胺和鞘磷脂分子种类呈剂量依赖性减少。GM3神经节苷脂以及游离和酯化胆固醇随伏马菌素B1剂量呈线性增加。含花生四烯酸(AA)的醚型磷脂酰胆碱和磷脂酰乙醇胺(PE)种类呈现线性剂量反应;二酰基PE和磷脂酰肌醇中的种类遵循对数模型。转录组学显示类固醇代谢下调,而NF-κB、鞘脂、PI3K-Akt-PTEN和TNF信号通路上调,在5倍剂量以上时变化显著。

https://cdn.ncbi.nlm.nih.gov/pmc/blobs/6b53/12492397/40449690f923/jf5c05715_0015.jpg
https://cdn.ncbi.nlm.nih.gov/pmc/blobs/6b53/12492397/521f58c57268/jf5c05715_0001.jpg
https://cdn.ncbi.nlm.nih.gov/pmc/blobs/6b53/12492397/db5cc1a63e80/jf5c05715_0002.jpg
https://cdn.ncbi.nlm.nih.gov/pmc/blobs/6b53/12492397/18dad36bf350/jf5c05715_0003.jpg
https://cdn.ncbi.nlm.nih.gov/pmc/blobs/6b53/12492397/876b9c07cef8/jf5c05715_0004.jpg
https://cdn.ncbi.nlm.nih.gov/pmc/blobs/6b53/12492397/e3d616037270/jf5c05715_0005.jpg
https://cdn.ncbi.nlm.nih.gov/pmc/blobs/6b53/12492397/d892beae66d4/jf5c05715_0006.jpg
https://cdn.ncbi.nlm.nih.gov/pmc/blobs/6b53/12492397/78ce1c6139f8/jf5c05715_0007.jpg
https://cdn.ncbi.nlm.nih.gov/pmc/blobs/6b53/12492397/57cb9fc33520/jf5c05715_0008.jpg
https://cdn.ncbi.nlm.nih.gov/pmc/blobs/6b53/12492397/1561beb6ef15/jf5c05715_0009.jpg
https://cdn.ncbi.nlm.nih.gov/pmc/blobs/6b53/12492397/813509f67838/jf5c05715_0010.jpg
https://cdn.ncbi.nlm.nih.gov/pmc/blobs/6b53/12492397/44449e09eb19/jf5c05715_0011.jpg
https://cdn.ncbi.nlm.nih.gov/pmc/blobs/6b53/12492397/c5ed2960a154/jf5c05715_0012.jpg
https://cdn.ncbi.nlm.nih.gov/pmc/blobs/6b53/12492397/cdb5bc8c6c76/jf5c05715_0013.jpg
https://cdn.ncbi.nlm.nih.gov/pmc/blobs/6b53/12492397/b9919e6db23f/jf5c05715_0014.jpg
https://cdn.ncbi.nlm.nih.gov/pmc/blobs/6b53/12492397/40449690f923/jf5c05715_0015.jpg
https://cdn.ncbi.nlm.nih.gov/pmc/blobs/6b53/12492397/521f58c57268/jf5c05715_0001.jpg
https://cdn.ncbi.nlm.nih.gov/pmc/blobs/6b53/12492397/db5cc1a63e80/jf5c05715_0002.jpg
https://cdn.ncbi.nlm.nih.gov/pmc/blobs/6b53/12492397/18dad36bf350/jf5c05715_0003.jpg
https://cdn.ncbi.nlm.nih.gov/pmc/blobs/6b53/12492397/876b9c07cef8/jf5c05715_0004.jpg
https://cdn.ncbi.nlm.nih.gov/pmc/blobs/6b53/12492397/e3d616037270/jf5c05715_0005.jpg
https://cdn.ncbi.nlm.nih.gov/pmc/blobs/6b53/12492397/d892beae66d4/jf5c05715_0006.jpg
https://cdn.ncbi.nlm.nih.gov/pmc/blobs/6b53/12492397/78ce1c6139f8/jf5c05715_0007.jpg
https://cdn.ncbi.nlm.nih.gov/pmc/blobs/6b53/12492397/57cb9fc33520/jf5c05715_0008.jpg
https://cdn.ncbi.nlm.nih.gov/pmc/blobs/6b53/12492397/1561beb6ef15/jf5c05715_0009.jpg
https://cdn.ncbi.nlm.nih.gov/pmc/blobs/6b53/12492397/813509f67838/jf5c05715_0010.jpg
https://cdn.ncbi.nlm.nih.gov/pmc/blobs/6b53/12492397/44449e09eb19/jf5c05715_0011.jpg
https://cdn.ncbi.nlm.nih.gov/pmc/blobs/6b53/12492397/c5ed2960a154/jf5c05715_0012.jpg
https://cdn.ncbi.nlm.nih.gov/pmc/blobs/6b53/12492397/cdb5bc8c6c76/jf5c05715_0013.jpg
https://cdn.ncbi.nlm.nih.gov/pmc/blobs/6b53/12492397/b9919e6db23f/jf5c05715_0014.jpg
https://cdn.ncbi.nlm.nih.gov/pmc/blobs/6b53/12492397/40449690f923/jf5c05715_0015.jpg

相似文献

1
Liver Lipidomics, Histology, Transcriptomics, and Clinical Chemistry of Rats Intraperitoneally Treated with Fumonisin B1 for 5 days.腹腔注射伏马菌素B1 5天的大鼠的肝脏脂质组学、组织学、转录组学及临床化学
J Agric Food Chem. 2025 Oct 1;73(39):24975-24996. doi: 10.1021/acs.jafc.5c05715. Epub 2025 Sep 17.
2
Dynamic Changes of Selected Signaling Molecules in Ovaries Following Early-Life Exposure to Fumonisin B1 in Wistar Rats in Association With DNA Methylation.早期接触伏马菌素B1的Wistar大鼠卵巢中选定信号分子的动态变化及其与DNA甲基化的关系
Physiol Res. 2025 Jul 25;74(3):493-502.
3
Study on the modulation of kidney and liver function of rats with diabetic nephropathy by Huidouba through metabolomics.回豆巴通过代谢组学对糖尿病肾病大鼠肝肾功 能的调节作用研究
J Ethnopharmacol. 2025 Jun 11;351:120136. doi: 10.1016/j.jep.2025.120136.
4
Mechanism of Huanglian Zhimu Decoction in improving hepatic lipid deposition in type 2 diabetes based on lipidomics and transcriptomics.基于脂质组学和转录组学探讨黄连知母汤改善2型糖尿病肝脏脂质沉积的机制
J Ethnopharmacol. 2025 Jul 18;353(Pt A):120309. doi: 10.1016/j.jep.2025.120309.
5
Mult-omics analysis reveals the lipid-lowering effects of sea buckthorn and milk thistle solid beverage in hyperlipidemic rats.多组学分析揭示沙棘水飞蓟固体饮料对高脂血症大鼠的降脂作用。
Phytomedicine. 2025 Aug;144:156920. doi: 10.1016/j.phymed.2025.156920. Epub 2025 May 29.
6
Multi-omics and network pharmacology approaches reveal Gui-Ling-Ji alleviates oligoasthenoteratozoospermia by regulating arachidonic acid pathway.多组学和网络药理学方法揭示桂苓鸡通过调节花生四烯酸途径来改善少弱畸形精子症。
Phytomedicine. 2024 Dec;135:156184. doi: 10.1016/j.phymed.2024.156184. Epub 2024 Oct 28.
7
Transcriptome changes of fission yeast cells exposed to fumonisin B1 or co-cultured with Fusarium verticillioides.暴露于伏马菌素B1或与轮枝镰孢菌共培养的裂殖酵母细胞的转录组变化
Appl Microbiol Biotechnol. 2025 Oct 1;109(1):211. doi: 10.1007/s00253-025-13601-3.
8
Gardenia jasminoides fruit extract ameliorates non-alcoholic steatohepatitis with fibrosis by modulating inflammatory and fibrogenic pathways.栀子果实提取物通过调节炎症和纤维化途径改善非酒精性脂肪性肝炎伴纤维化。
PLoS One. 2025 Oct 3;20(10):e0333800. doi: 10.1371/journal.pone.0333800. eCollection 2025.
9
Role of proliferation in the toxicity of fumonisin B1: enhanced hepatotoxic response in the partially hepatectomized rat.增殖在伏马菌素B1毒性中的作用:部分肝切除大鼠肝毒性反应增强
J Toxicol Environ Health A. 2000 Aug 11;60(7):441-57. doi: 10.1080/00984100050079511.
10

本文引用的文献

1
Differential organ responses to fumonisins in rabbits: kidney, liver, and spleen membrane fatty acid composition, oxidation markers, and histopathology.家兔对伏马菌素的器官差异反应:肾脏、肝脏和脾脏的膜脂肪酸组成、氧化标志物及组织病理学
Front Vet Sci. 2025 Jun 10;12:1599805. doi: 10.3389/fvets.2025.1599805. eCollection 2025.
2
Effects of the Maximum Recommended Levels of Fumonisins in the EU on Oxylipin Profiles in the Liver and Brain of Chickens.欧盟伏马菌素最大推荐水平对鸡肝脏和大脑中氧化脂质谱的影响。
Antioxidants (Basel). 2024 Dec 27;14(1):19. doi: 10.3390/antiox14010019.
3
Measurement of hepatic glucose (F-fluorodeoxyglucose) uptake with positron emission tomography-magnetic resonance imaging in fumonisin B intoxicated rabbit bucks.
利用正电子发射断层扫描-磁共振成像测量感染伏马菌素 B 的公兔肝脏葡萄糖(F-氟代脱氧葡萄糖)摄取量。
Sci Rep. 2024 Aug 6;14(1):18213. doi: 10.1038/s41598-024-68210-3.
4
Fumonisin distorts the cellular membrane lipid profile: A mechanistic insight.伏马菌素破坏细胞膜脂质谱:一种机制见解。
Toxicology. 2024 Aug;506:153860. doi: 10.1016/j.tox.2024.153860. Epub 2024 Jun 12.
5
Fumonisins alone or mixed with other fusariotoxins increase the C22-24:C16 sphingolipid ratios in chicken livers, while deoxynivalenol and zearalenone have no effect.单独的伏马菌素或与其他镰刀菌毒素混合使用会增加鸡肝脏中 C22-24:C16 神经鞘脂的比例,而脱氧雪腐镰刀菌烯醇和玉米赤霉烯酮则没有影响。
Chem Biol Interact. 2024 May 25;395:111005. doi: 10.1016/j.cbi.2024.111005. Epub 2024 Apr 12.
6
Fumonisin B protects against long-chained polyunsaturated fatty acid-induced cell death in HepG2 cells - implications for cancer promotion.伏马菌素 B 可预防长链多不饱和脂肪酸诱导的 HepG2 细胞死亡 - 对癌症促进作用的影响。
Biochim Biophys Acta Biomembr. 2024 Jun;1866(5):184310. doi: 10.1016/j.bbamem.2024.184310. Epub 2024 Mar 11.
7
Targeted sphingolipidomics indicates increased C22-C24:16 ratios of virtually all assayed classes in liver, kidney, and plasma of fumonisin-fed chickens.靶向鞘脂组学表明,在受伏马菌素喂养的鸡的肝脏、肾脏和血浆中,几乎所有检测到的类别的 C22-C24:16 比值都增加了。
Ecotoxicol Environ Saf. 2023 Dec;268:115697. doi: 10.1016/j.ecoenv.2023.115697. Epub 2023 Nov 17.
8
Identification of biomarkers for glycaemic deterioration in type 2 diabetes.识别 2 型糖尿病患者血糖恶化的生物标志物。
Nat Commun. 2023 May 3;14(1):2533. doi: 10.1038/s41467-023-38148-7.
9
The natural occurrence, toxicity mechanisms and management strategies of Fumonisin B1:A review.伏马菌素 B1 的自然发生、毒性机制和管理策略:综述。
Environ Pollut. 2023 Mar 1;320:121065. doi: 10.1016/j.envpol.2023.121065. Epub 2023 Jan 10.
10
Insights into the roles and pathomechanisms of ceramide and sphigosine-1-phosphate in nonalcoholic fatty liver disease.探讨神经酰胺和鞘氨醇-1-磷酸在非酒精性脂肪性肝病中的作用和发病机制。
Int J Biol Sci. 2023 Jan 1;19(1):311-330. doi: 10.7150/ijbs.78525. eCollection 2023.