Suppr超能文献

荧光抗体法核染色研究。I. 导致核荧光的非免疫因素。

Studies on nuclear staining by the fluorescent antibody method. I. Non-immunological factors leading to nuclear fluorescence.

作者信息

Bruchhausen D, Hofermann R, von Mayersbach H

出版信息

Immunology. 1970 Jul;19(1):1-10.

Abstract

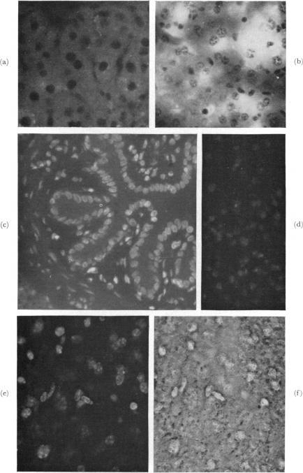
The causes of non-specific nuclear staining in the fluorescent antibody method were investigated. Minute amounts of labelled basic proteins, present in labelled sera, stain nuclei in both direct and indirect methods. The attraction of these basic proteins is caused by electrostatical forces, binding basic items to the nuclei like basic dyes.

摘要

对荧光抗体法中非特异性核染色的原因进行了研究。标记血清中存在的微量标记碱性蛋白,在直接法和间接法中都会使细胞核染色。这些碱性蛋白的吸附是由静电力引起的,它将碱性物质像碱性染料一样与细胞核结合。

https://cdn.ncbi.nlm.nih.gov/pmc/blobs/0c19/1455628/7a92d54543fa/immunology00366-0019-a.jpg

文献检索

告别复杂PubMed语法,用中文像聊天一样搜索,搜遍4000万医学文献。AI智能推荐,让科研检索更轻松。

立即免费搜索

文件翻译

保留排版,准确专业,支持PDF/Word/PPT等文件格式,支持 12+语言互译。

免费翻译文档

深度研究

AI帮你快速写综述,25分钟生成高质量综述,智能提取关键信息,辅助科研写作。

立即免费体验