Suppr超能文献

What Do We Know About spp. in Portugal? One Health Systematic Review in a Comprehensive 13-Year Retrospective Study (2013-2025).

作者信息

Lopes Ricardo, Garcês Andreia, Carvalho Hugo Lima de, Silva Vanessa, Sampaio Filipe, Fernandes Cátia, Barros Gonçalo, Brito Alexandre Sardinha de, Silva Ana Rita, Duarte Elsa Leclerc, Cardoso Luís, Coelho Ana Cláudia

机构信息

Department of Veterinary Sciences, University of Trás-os-Montes e Alto Douro (UTAD), 5000-801 Vila Real, Portugal.

Department of Veterinary and Animal Sciences, University Institute of Health Sciences (IUCS), CESPU, 4585-116 Gandra, Portugal.

出版信息

J Fungi (Basel). 2025 Sep 12;11(9):672. doi: 10.3390/jof11090672.

Abstract

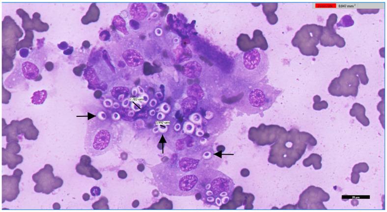
Cryptococcosis, caused by the and species complexes (pathogenic spp.), is an environmentally acquired mycosis of One Health relevance. This study integrates a PRISMA-compliant systematic review (2000-2025) of Portuguese animal, human, and environmental reports with a 13-year retrospective dataset of laboratory-confirmed veterinary cryptococcosis cases (2013-2025). Clinical specimens were cultured and identified by MALDI-TOF mass spectrometry, and associations were assessed using χ and Fisher's exact tests. Of 1059 submissions, 48 (4.5%) were culture-positive: 6.8% of canine, 5.3% of feline samples, and 4.0% of avian samples, with no detections in other vertebrate groups ( = 0.705). predominated in carnivores (73.7%), while (formerly was most frequent in birds (86.2%). Infection was not associated with sex or age. Seasonality was evident, with a July peak and summer predominance ( = 0.010). Most cases were from the Centre region (62.5%), with significant regional variation of spp. distribution ( < 0.001). The systematic review confirmed autochthonous complex disease and widespread contamination in pigeon guano and arboreal niches. These findings demonstrate a compartmentalised eco-epidemiology, reinforcing the need for integrated molecular typing, antifungal susceptibility testing, and coordinated human-animal-environment surveillance to inform targeted prevention and control strategies in Portugal.

摘要
https://cdn.ncbi.nlm.nih.gov/pmc/blobs/4f3a/12470549/83769e73752b/jof-11-00672-g004.jpg

文献检索

告别复杂PubMed语法,用中文像聊天一样搜索,搜遍4000万医学文献。AI智能推荐,让科研检索更轻松。

立即免费搜索

文件翻译

保留排版,准确专业,支持PDF/Word/PPT等文件格式,支持 12+语言互译。

免费翻译文档

深度研究

AI帮你快速写综述,25分钟生成高质量综述,智能提取关键信息,辅助科研写作。

立即免费体验