Suppr超能文献

川崎病的超声心动图评估

Echocardiographic Evaluation in Kawasaki Disease.

作者信息

Hwang Betau

机构信息

Department of Pediatrics, Pediatric Cardiac Medical Center, Tungs' Taichung MetroHarbor Hospital, Taichung, Taiwan.

Department of Pediatrics, Taipei Veterans General Hospital, Taipei City, Taiwan.

出版信息

J Med Ultrasound. 2025 Sep 18;33(3):206-215. doi: 10.4103/jmu.JMU-D-25-00029. eCollection 2025 Jul-Sep.

Abstract

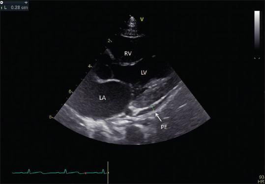
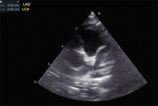
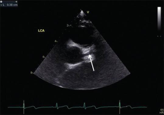
Kawasaki disease (KD) is an etiology-unknown but with a generalized inflammatory disorder of multiple organs and systems in childhood. The basic pathologic changes are panvasculitis of the small and medium-sized arteries, mainly the coronary arteries. It is now the leading cause of acquired heart disease during childhood in developed countries and has led to the early development of angina pectoris, myocardial ischemia/infarction, and even sudden cardiac death in early adulthood. Although there is no definitive diagnostic test for KD, the accurate diagnosis is dependent on the clinical presentations to meet the diagnostic criteria. Echocardiography is a well-known noninvasive tool to detect structural abnormalities and evaluation of cardiovascular function. It has been reported to detect accurately the early and late cardiovascular abnormalities, including perivascular brightness, lack of tapering, dilatation, and aneurysmal formation of coronary arteries as well as the mitral/aortic regurgitation, pericardial effusion, and myocardial functional changes in KD. In cases of incomplete form of KD and patients whose clinical manifestations did not meet the diagnostic criteria, abnormal echocardiographic findings of coronary artery may provide the assistance for early diagnosis of KD. Long-term periodic echocardiographic follow-up is the basic and essential study for patients of KD with initial coronary arterial abnormalities. Ninety nine articles that studied echocardiographic findings of KD had been reviewed and will be discussed.

摘要

川崎病(KD)是一种病因不明的儿童期多器官和系统的全身性炎症性疾病。基本病理变化是中小动脉的全血管炎,主要是冠状动脉。它现已成为发达国家儿童后天性心脏病的主要原因,并导致成年早期心绞痛、心肌缺血/梗死,甚至心源性猝死的早期发生。虽然目前尚无针对KD的确切诊断试验,但准确诊断依赖于临床表现符合诊断标准。超声心动图是一种众所周知的用于检测结构异常和评估心血管功能的非侵入性工具。据报道,它能准确检测KD早期和晚期的心血管异常,包括血管周围亮度、缺乏逐渐变细、扩张以及冠状动脉瘤形成,还有二尖瓣/主动脉反流、心包积液和心肌功能变化。在不完全型KD病例以及临床表现不符合诊断标准的患者中,冠状动脉超声心动图异常表现可为KD的早期诊断提供帮助。长期定期的超声心动图随访是初始冠状动脉异常的KD患者的基础且必要的检查。已对99篇研究KD超声心动图表现的文章进行了综述并将予以讨论。

https://cdn.ncbi.nlm.nih.gov/pmc/blobs/8b9c/12463369/814a6299a257/JMU-33-206-g001.jpg

文献检索

告别复杂PubMed语法,用中文像聊天一样搜索,搜遍4000万医学文献。AI智能推荐,让科研检索更轻松。

立即免费搜索

文件翻译

保留排版,准确专业,支持PDF/Word/PPT等文件格式,支持 12+语言互译。

免费翻译文档

深度研究

AI帮你快速写综述,25分钟生成高质量综述,智能提取关键信息,辅助科研写作。

立即免费体验