Suppr超能文献

A rare right hemithorax splenosis: Case of thoracic and abdominal splenosis.

作者信息

AlMusallam Wejdan H, Alsharif Abedallatif, Sharaf Haytham, Alsultan Mustafa A, Antar Ahmad

机构信息

Radiology Department, AlMoosa Specialist Hospital, AL Ahsaa, Saudi Arabia.

Department of Hematology and Oncology, AlMoosa Specialist Hospital, AL Ahsaa, Saudi Arabia.

出版信息

Radiol Case Rep. 2025 Sep 29;20(12):6262-6265. doi: 10.1016/j.radcr.2025.08.058. eCollection 2025 Dec.

Abstract

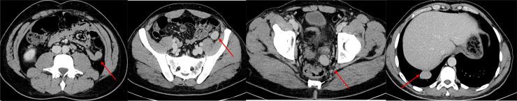
A 37-year-old male patient presented complaining of right flank pain. As an incidental finding on CT, the spleen was not visualized and there were multiple rounded peritoneal tissue nodules, radiologically pattern is mostly suggestive of splenosis. Lung bases showed 2 right lower lung lobe nodules. A dedicated chest CT scan revealed few other pulmonary and pleural nodules. A 99mTc heat damaged denatured red blood cells SPECT CT scan was performed, which revealed right thoracic splenosis, a rare entity to be seen at that location.

摘要
https://cdn.ncbi.nlm.nih.gov/pmc/blobs/7876/12512990/86af00a13e83/gr1.jpg

相似文献

1
A rare right hemithorax splenosis: Case of thoracic and abdominal splenosis.
Radiol Case Rep. 2025 Sep 29;20(12):6262-6265. doi: 10.1016/j.radcr.2025.08.058. eCollection 2025 Dec.
2
[A case of allergic bronchopulmonary mycosis caused by ].
Zhonghua Jie He He Hu Xi Za Zhi. 2025 May 12;48(5):464-469. doi: 10.3760/cma.j.cn112147-20240831-00523.
4
Large extrapleural hematoma in a patient with Stanford type B acute aortic dissection: a case report.
J Med Case Rep. 2025 Jul 15;19(1):348. doi: 10.1186/s13256-025-05400-1.
8
[Chinese experts consensus statement: diagnosis and treatment of cystic fibrosis (2023)].
Zhonghua Jie He He Hu Xi Za Zhi. 2023 Apr 12;46(4):352-372. doi: 10.3760/cma.j.cn112147-20221214-00971.
9
The role of splenic scintigraphy in the diagnosis of thoracic nodules.
Hell J Nucl Med. 2025 May-Aug;28(2):173-175. doi: 10.1967/s002449912808. Epub 2025 Aug 4.

本文引用的文献

1
Post-traumatic intrathoracic splenosis and role of Tc-99m Sulfur colloid scintigraphy in confirmation.
Radiol Case Rep. 2021 Jul 22;16(9):2742-2745. doi: 10.1016/j.radcr.2021.06.069. eCollection 2021 Sep.
2
Abdominal splenosis and its differential diagnoses: What the radiologist needs to know.
Curr Probl Diagn Radiol. 2021 Mar-Apr;50(2):229-235. doi: 10.1067/j.cpradiol.2020.04.012. Epub 2020 May 19.
3
Thoracic splenosis: Case report of a symptomatic case.
Chin J Traumatol. 2020 Jun;23(3):185-186. doi: 10.1016/j.cjtee.2020.05.003. Epub 2020 May 22.
4
5
Intrathoracic splenosis - lesson learned: a case report.
J Cardiothorac Surg. 2016 Apr 26;11(1):72. doi: 10.1186/s13019-016-0474-3.
6
Early pancreatic splenosis presented 2 years after splenectomy.
Clin Imaging. 2013 Jul-Aug;37(4):780-2. doi: 10.1016/j.clinimag.2013.01.002. Epub 2013 Jan 28.
7
Intrahepatic splenosis mimicking hepatoma.
BMJ Case Rep. 2009;2009. doi: 10.1136/bcr.06.2008.0230. Epub 2009 Feb 2.
8
Intrathoracic splenosis: evaluation by 99mTc-labelled heat-denatured erythrocyte SPECT/CT.
Eur J Nucl Med Mol Imaging. 2011 Feb;38(2):412. doi: 10.1007/s00259-010-1656-1. Epub 2010 Nov 11.
9
Thoracic splenosis: a case report and the importance of clinical history.
J Korean Med Sci. 2010 Feb;25(2):299-303. doi: 10.3346/jkms.2010.25.2.299. Epub 2010 Jan 19.

文献AI研究员

20分钟写一篇综述,助力文献阅读效率提升50倍。

立即体验

用中文搜PubMed

大模型驱动的PubMed中文搜索引擎

马上搜索

文档翻译

学术文献翻译模型,支持多种主流文档格式。

立即体验