Suppr超能文献

Melatonin administration attenuates fibrosis progression in frozen shoulder syndrome: a rat model study.

作者信息

Gürbüz Serhat, Dedeoğlu Süleyman Semih, Keskin Ahmet, Ayaz Mustafa Buğra, Imren Yunus, Comunoğlu Cem, Karslıoğlu Bulent, Aki Buse

机构信息

Department of Orthopedics and Traumatology, Metin Sabancı Baltalimanı Bone Diseases Training and Research Center, Health Sciences University Turkey, İstanbul, Turkey.

Department of Orthopedics and Traumatology, Istinye University Turkey, Liv Hospital Vadistanbul, İstanbul, Turkey.

出版信息

BMC Musculoskelet Disord. 2025 Oct 15;26(1):969. doi: 10.1186/s12891-025-09198-3.

Abstract

BACKGROUND

Frozen shoulder syndrome, or adhesive capsulitis, is characterized by pain and restricted joint mobility due to fibrotic changes within the shoulder joint capsule. Despite its potential for spontaneous resolution, persistent symptoms often necessitate further treatment. Melatonin, known for its anti-inflammatory and anti-fibrotic properties, has emerged as a promising therapeutic agent for this condition. This study aimed to investigate the impact of melatonin on adhesive capsulitis in a rat model, focusing on its potential to attenuate fibrosis progression and improve joint pathology.

METHODS

Thirty female Sprague-Dawley rats were utilized in this study. Frozen shoulder syndrome was surgically induced, and the rats were divided into three groups: G1 receiving a melatonin antagonist, G2 receiving daily melatonin supplementation, and G3 without intervention. Histopathological evaluations were conducted at weeks 8 and 16 post-simulation to assess fibrosis, synovial hypertrophy, inflammatory cell infiltration, and hypervascularity. Statistical analyses were performed to determine significant differences between the groups.

RESULTS

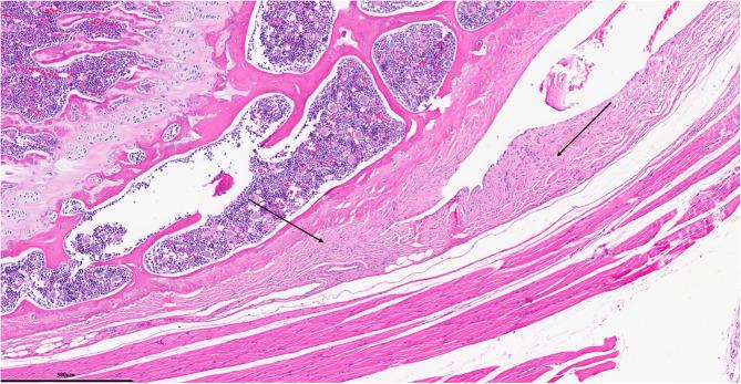
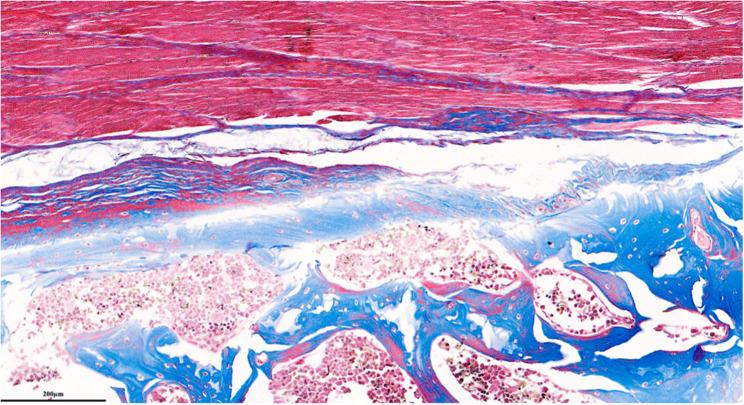
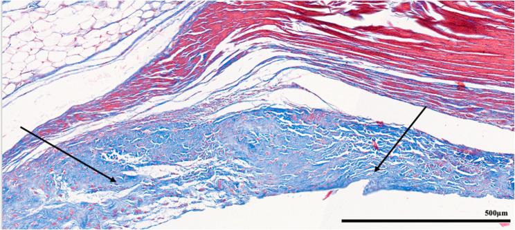
Histological evaluations revealed that melatonin administration significantly attenuated fibrosis progression in the shoulder joint, particularly in the G2 (p < 0.05). No significant differences were observed in synovial hypertrophy, inflammatory cell infiltration, or hypervascularity between the groups (p > 0.05). Survival rates indicated no fatalities in the group receiving daily melatonin supplementation. Statistical analysis showed significant differences in fibrosis levels at 8 weeks between groups, with G1 exhibiting higher rate of severe fibrosis (p = 0.038). However, at 16 weeks, no significant differences were observed between groups (p > 0.05). Temporal changes within groups indicated a significant decrease in fibrosis levels and synovial hypertrophy from 8 to 16 weeks in G1 and G3 (p < 0.05). A comparison between operated and non-operated sides revealed significant differences in fibrosis levels in both groups at 8 and 16 weeks (p < 0.05).

CONCLUSION

Melatonin administration demonstrated potential therapeutic benefits in attenuating fibrosis progression and reducing synovial hypertrophy in adhesive capsulitis.

LEVEL OF EVIDENCE

NA, Animal Study.

摘要
https://cdn.ncbi.nlm.nih.gov/pmc/blobs/7240/12522404/e4c1a25d1127/12891_2025_9198_Fig1_HTML.jpg

文献AI研究员

20分钟写一篇综述,助力文献阅读效率提升50倍。

立即体验

用中文搜PubMed

大模型驱动的PubMed中文搜索引擎

马上搜索

文档翻译

学术文献翻译模型,支持多种主流文档格式。

立即体验