Suppr超能文献

肠系膜上动脉衍生的罕见胃十二指肠动脉患者的安全腹腔镜胰腺切除术:病例报告及技术要点

Safe Laparoscopic Pancreatectomy in a Patient with Rare Superior Mesenteric Artery-Derived Gastroduodenal Artery: A Case Report and Technical Considerations.

作者信息

Miura Takayuki, Hayashi Shuichiro, Yoshimachi Shingo, Sato Hideaki, Kusaka Akiko, Shimura Mitsuhiro, Aoki Shuichi, Iseki Masahiro, Douchi Daisuke, Maeda Shimpei, Ishida Masaharu, Mizuma Masamichi, Kamei Takashi, Unno Michiaki

机构信息

Department of Surgery, Tohoku University Graduate School of Medicine, Sendai, Miyagi, Japan.

出版信息

Surg Case Rep. 2025;11(1). doi: 10.70352/scrj.cr.25-0415. Epub 2025 Oct 1.

Abstract

INTRODUCTION

Although several studies have highlighted the importance of recognizing gastroduodenal artery (GDA) anomalies during pancreaticoduodenectomy, their relevance during distal pancreatectomy has not been explored. Herein, we describe the safe performance of laparoscopic distal pancreatectomy in a patient with a rare vascular anomaly, specifically a GDA originating from the superior mesenteric artery (SMA).

CASE PRESENTATION

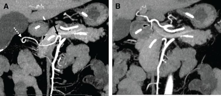
A 63-year-old woman presented with recurrent pancreatitis due to a cystic lesion in the pancreatic body. Imaging suggested a branch-duct intraductal papillary mucinous neoplasm with substantial ductal stenosis. Multidetector CT (MDCT) revealed a rare anatomical variant: the GDA, arising from the SMA and traversing along the inferior border of the pancreas. Laparoscopic distal pancreatectomy was performed after placing an endoscopic nasopancreatic drainage tube. The aberrant GDA was successfully preserved through careful dissection and vessel loop isolation. Pancreatic transection was completed without vascular injury. A postoperative pancreatic fistula developed and was conservatively managed. Histopathological examination confirmed that the lesion was an intraductal papillary mucinous carcinoma without any invasive features. Follow-up MDCT revealed sustained patency and perfusion of the preserved GDA, right gastroepiploic artery, and anterior superior pancreaticoduodenal artery.

CONCLUSIONS

Laparoscopic pancreatectomy can be safely performed in patients with SMA-derived GDA anomalies, when supported by detailed preoperative imaging and precise intraoperative techniques. These findings highlight the necessity of routine preoperative vascular assessment in patients undergoing minimally invasive pancreatic surgery, reinforcing the broader applicability of these approaches for patients with complicated vascular anatomy.

摘要

引言

尽管多项研究强调了在胰十二指肠切除术中识别胃十二指肠动脉(GDA)异常的重要性,但尚未探讨其在远端胰腺切除术中的相关性。在此,我们描述了一名患有罕见血管异常(具体为起源于肠系膜上动脉(SMA)的GDA)患者的腹腔镜远端胰腺切除术的安全实施情况。

病例介绍

一名63岁女性因胰体部囊性病变出现复发性胰腺炎。影像学检查提示为分支导管内乳头状黏液性肿瘤,伴有明显的导管狭窄。多排螺旋CT(MDCT)显示一种罕见的解剖变异:GDA起源于SMA,并沿胰腺下缘走行。在内镜下鼻胰引流管置入后,进行了腹腔镜远端胰腺切除术。通过仔细解剖和血管环分离,成功保留了异常的GDA。胰腺横断术在无血管损伤的情况下完成。术后发生了胰瘘,并进行了保守治疗。组织病理学检查证实病变为导管内乳头状黏液癌,无任何浸润性特征。随访MDCT显示保留的GDA、胃网膜右动脉和胰十二指肠上前动脉持续通畅且有灌注。

结论

在详细的术前影像学检查和精确的术中技术支持下,腹腔镜胰腺切除术可安全地应用于患有源自SMA的GDA异常的患者。这些发现强调了对接受微创胰腺手术的患者进行常规术前血管评估的必要性,加强了这些方法对血管解剖复杂患者的更广泛适用性。

https://cdn.ncbi.nlm.nih.gov/pmc/blobs/fa20/12521927/b68a87bb127d/scr-11-01-25-0415-g001.jpg

本文引用的文献

1
Pancreaticoduodenectomy in Patients With Coeliac or Superior Mesenteric Artery Stenosis: A Review of the Literature.
Cureus. 2024 Jun 17;16(6):e62542. doi: 10.7759/cureus.62542. eCollection 2024 Jun.
2
Oncological outcomes in minimally invasive vs. open distal pancreatectomy: a systematic review and network meta-analysis.
Front Surg. 2024 Jun 11;11:1369169. doi: 10.3389/fsurg.2024.1369169. eCollection 2024.
5
Anatomic Variations of the Hepatic Artery in 5625 Patients.
Radiol Cardiothorac Imaging. 2021 Aug 19;3(4):e210007. doi: 10.1148/ryct.2021210007. eCollection 2021 Aug.
6
Aberrant gastroduodenal and proper hepatic arteries.
Surg Radiol Anat. 2021 Sep;43(9):1421-1424. doi: 10.1007/s00276-021-02774-x. Epub 2021 May 28.
7
An aberrant right hepatic artery arising from the gastroduodenal artery: a pitfall encountered during pancreaticoduodenectomy.
Surg Today. 2021 Oct;51(10):1577-1582. doi: 10.1007/s00595-021-02242-4. Epub 2021 Feb 11.
8
Precision vascular anatomy for minimally invasive distal pancreatectomy: A systematic review.
J Hepatobiliary Pancreat Sci. 2022 Jan;29(1):136-150. doi: 10.1002/jhbp.903. Epub 2021 Feb 17.
9
A multicenter prospective registration study on laparoscopic pancreatectomy in Japan: report on the assessment of 1,429 patients.
J Hepatobiliary Pancreat Sci. 2020 Feb;27(2):47-55. doi: 10.1002/jhbp.695. Epub 2019 Dec 11.
10
Gastroduodenal artery: single key for many locks.
J Hepatobiliary Pancreat Sci. 2019 Jul;26(7):281-291. doi: 10.1002/jhbp.636. Epub 2019 Jun 19.

文献AI研究员

20分钟写一篇综述,助力文献阅读效率提升50倍。

立即体验

用中文搜PubMed

大模型驱动的PubMed中文搜索引擎

马上搜索

文档翻译

学术文献翻译模型,支持多种主流文档格式。

立即体验