Suppr超能文献

先天性多发性关节挛缩症。2. 肌肉病理学与发病机制。

Arthrogryposis multiplex congenita. 2. Muscle pathology and pathogenesis.

作者信息

Dastur D K, Razzak Z A, Bharucha E P

出版信息

J Neurol Neurosurg Psychiatry. 1972 Aug;35(4):435-50. doi: 10.1136/jnnp.35.4.435.

Abstract

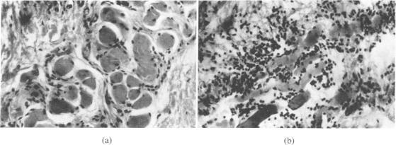
Pathological findings are reported on 34 specimens from 16 cases of arthrogryposis multiplex congenita (AMC), including initial observations on paraffin sections from 28 muscles, and subsequent observations on six additional specimens from three of these cases studied both histologically and histochemically. Thirteen of the 34 specimens (from 11 cases) were histologically normal, probably on account of an unaffected muscle being sampled. The most constant pathological feature in the remaining specimens was a disorganization of the muscle fibres and fascicles by severe fibrosis; only three specimens (from two cases) did not show this. Very thin faintly striated muscle fibres embedded in this matrix were encountered in 10 specimens from nine cases. An attempt at grouping of these atrophic or ill-developed fibres was noticed in four specimens; but this may not be denervation atrophy. Two specimens (from two cases) showed `myopathic' features. Repeat biopsy after two to three years was carried out on two affected muscles each from three patients. Case 3 showed well preserved but uniformly small fibres. Case 4 showed extremely few and scattered small rounded fibres. Case 14 showed pronounced variation of fibre size in both, with both atrophic and hypertrophied fibres. Normal nerves and spindles were seen in all these six specimens irrespective of the state of the muscle, and excessive fibro-fatty tissue in cases 4 and 14. Histochemical examination for oxidative enzymes, ATPase, and phosphorylase in these six specimens revealed a normal checkerboard pattern and ratio of type I and type II fibres, in case 3 only. The muscles of case 4 showed a preponderance of type I fibres. One specimen from case 14, showed the same fibres reacting for both oxidative enzymes and phosphorylase, suggesting a lack of development of fibres. The intrafusal fibres were mainly of type I in all. Two possible pathogenetic mechanisms operating in early embryonic life, which may lead to the characteristic changes of AMC, are discussed: (1) a defect in the development of the muscle whereby the full recruitment of myoblasts from the mesenchyme of the limb-bud does not take place and muscles do not form adequately; (2) a lack of innervation of the muscles on account of arrested growth of anterior horn cells. The combined operation of both these mechanisms is also considered. Fibrous tissue replaces the muscle tissue that is lacking, and contractures and deformities ensue. The evidence gathered on our material, such as the very thin smooth muscle fibres, the large numbers of well-formed nerves and spindles especially in the repeat biopsies, and the above-mentioned histochemical feature, would appear to favour the hypothesis of ill-developed muscles in the production of AMC in the majority; in the rest denervation playing either a major or concurrent role.

摘要

报告了16例先天性多发性关节挛缩症(AMC)患者34个标本的病理结果,包括对28块肌肉石蜡切片的初步观察,以及对其中3例患者另外6个标本进行组织学和组织化学研究的后续观察。34个标本中的13个(来自11例患者)组织学正常,可能是因为所取肌肉未受影响。其余标本中最常见的病理特征是严重纤维化导致肌纤维和肌束结构紊乱;只有3个标本(来自2例患者)未出现这种情况。在9例患者的10个标本中发现了嵌入这种基质中的非常细的、有微弱横纹的肌纤维。在4个标本中注意到对这些萎缩或发育不良的纤维进行分组的尝试;但这可能不是去神经萎缩。2个标本(来自2例患者)表现出“肌病性”特征。对3例患者的两块受影响肌肉分别在两到三年后进行了重复活检。病例3显示肌纤维保存完好但均一细小。病例4显示极少且散在的小圆形纤维。病例14的两块肌肉均显示纤维大小有明显差异,既有萎缩纤维也有肥大纤维。在所有这6个标本中,无论肌肉状态如何,均可见正常神经和纺锤体,病例4和14有过多的纤维脂肪组织。对这6个标本进行的氧化酶、ATP酶和磷酸化酶的组织化学检查显示,仅病例3的I型和II型纤维呈现正常的棋盘状分布和比例。病例4的肌肉显示I型纤维占优势。病例14的一个标本显示相同的纤维对氧化酶和磷酸化酶均有反应,提示纤维发育不全。所有标本中的梭内纤维主要为I型。讨论了在胚胎早期可能导致AMC特征性变化的两种可能的发病机制:(1)肌肉发育缺陷,即肢体芽间充质中未充分募集成肌细胞,肌肉未充分形成;(2)由于前角细胞生长停滞导致肌肉失神经支配。也考虑了这两种机制的联合作用。纤维组织取代了缺失的肌肉组织,继而出现挛缩和畸形。从我们的材料中收集到的证据,如非常细的平滑肌纤维、大量形态良好的神经和纺锤体,尤其是在重复活检中发现以及上述组织化学特征,似乎支持大多数AMC病例中肌肉发育不良的假说;其余病例中去神经支配起主要或并发作用。

https://cdn.ncbi.nlm.nih.gov/pmc/blobs/4025/494102/0c9166d79ec6/jnnpsyc00208-0012-a.jpg

文献AI研究员

20分钟写一篇综述,助力文献阅读效率提升50倍。

立即体验

用中文搜PubMed

大模型驱动的PubMed中文搜索引擎

马上搜索

文档翻译

学术文献翻译模型,支持多种主流文档格式。

立即体验