• 文献检索
  • 文档翻译
  • 深度研究
  • 学术资讯
  • Suppr Zotero 插件Zotero 插件
  • 邀请有礼
  • 套餐&价格
  • 历史记录
应用&插件
Suppr Zotero 插件Zotero 插件浏览器插件Mac 客户端Windows 客户端微信小程序
定价
高级版会员购买积分包购买API积分包
服务
文献检索文档翻译深度研究API 文档MCP 服务
关于我们
关于 Suppr公司介绍联系我们用户协议隐私条款
关注我们

Suppr 超能文献

核心技术专利:CN118964589B侵权必究
粤ICP备2023148730 号-1Suppr @ 2026

文献检索

告别复杂PubMed语法,用中文像聊天一样搜索,搜遍4000万医学文献。AI智能推荐,让科研检索更轻松。

立即免费搜索

文件翻译

保留排版,准确专业,支持PDF/Word/PPT等文件格式,支持 12+语言互译。

免费翻译文档

深度研究

AI帮你快速写综述,25分钟生成高质量综述,智能提取关键信息,辅助科研写作。

立即免费体验

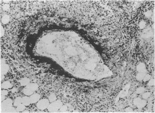
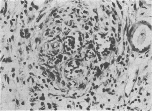
Acute abdomen in rheumatoid arthritis due to necrotizing arteritis.

作者信息

Lindsay M K, Tavadia H B, Whyte A S, Lee P, Webb J

出版信息

Br Med J. 1973 Jun 9;2(5866):592-3. doi: 10.1136/bmj.2.5866.592.

DOI:10.1136/bmj.2.5866.592
PMID:4145949
原文链接:https://pmc.ncbi.nlm.nih.gov/articles/PMC1592200/
Abstract
摘要
https://cdn.ncbi.nlm.nih.gov/pmc/blobs/a0a2/1592200/09e0128e5ee1/brmedj01560-0039-b.jpg
https://cdn.ncbi.nlm.nih.gov/pmc/blobs/a0a2/1592200/82a52b775b8a/brmedj01560-0038-a.jpg
https://cdn.ncbi.nlm.nih.gov/pmc/blobs/a0a2/1592200/90c59c8dda27/brmedj01560-0038-b.jpg
https://cdn.ncbi.nlm.nih.gov/pmc/blobs/a0a2/1592200/90afc20eac6f/brmedj01560-0039-a.jpg
https://cdn.ncbi.nlm.nih.gov/pmc/blobs/a0a2/1592200/09e0128e5ee1/brmedj01560-0039-b.jpg
https://cdn.ncbi.nlm.nih.gov/pmc/blobs/a0a2/1592200/82a52b775b8a/brmedj01560-0038-a.jpg
https://cdn.ncbi.nlm.nih.gov/pmc/blobs/a0a2/1592200/90c59c8dda27/brmedj01560-0038-b.jpg
https://cdn.ncbi.nlm.nih.gov/pmc/blobs/a0a2/1592200/90afc20eac6f/brmedj01560-0039-a.jpg
https://cdn.ncbi.nlm.nih.gov/pmc/blobs/a0a2/1592200/09e0128e5ee1/brmedj01560-0039-b.jpg

相似文献

1
Acute abdomen in rheumatoid arthritis due to necrotizing arteritis.类风湿关节炎所致坏死性动脉炎引起的急腹症。
Br Med J. 1973 Jun 9;2(5866):592-3. doi: 10.1136/bmj.2.5866.592.
2
Acute abdomen in rheumatoid arthritis due to mesenteric arteritis. A case report and review.
Dan Med Bull. 1985 Jun;32(3):191-3.
3
[The coexistence of rheumatoid arthritis, ankylosing spondylitis and intestinal necrotizing vasculitis].[类风湿关节炎、强直性脊柱炎与肠道坏死性血管炎并存]
An Med Interna. 1993 Sep;10(9):452-4.
4
Rheumatoid arthritis with systemic necrotizing arteritis.类风湿关节炎伴系统性坏死性动脉炎。
Acta Pathol Jpn. 1979 Sep;29(5):825-36. doi: 10.1111/j.1440-1827.1979.tb00948.x.
5
Acute abdomen due to intestinal ischemia as an initial presentation of polyarteritis nodosa.
Turk J Gastroenterol. 2010 Dec;21(4):473-4. doi: 10.4318/tjg.2010.0144.
6
Polyarteritis nodosa. An unusual cause of acute abdomen.结节性多动脉炎。急性腹痛的一种罕见病因。
Int Angiol. 1989 Oct-Dec;8(4):229-33.
7
[Rheumatoid arthritis and necrotizing arteritis].[类风湿性关节炎与坏死性动脉炎]
Rev Asoc Med Argent. 1961 Dec;75:676-81.
8
[Arteritis necroticans in the course of rheumatoid arthritis].类风湿关节炎病程中的坏死性动脉炎
Reumatologia. 1974;12(2):165-71.
9
[Arteritis in rheumatoid disease].[类风湿病中的动脉炎]
Sem Hop. 1969 Oct 20;45(42):2598-603.
10
Rheumatoid arthritis and polyarteritis nodosa.类风湿关节炎和结节性多动脉炎。
Ann Rheum Dis. 1954 Dec;13(4):277-90. doi: 10.1136/ard.13.4.277.

引用本文的文献

1
Rheumatoid arthritis associated vasculitis: a rare entity; case and review.类风湿关节炎相关血管炎:一种罕见病症;病例及文献综述
J Surg Case Rep. 2024 Aug 29;2024(8):rjae446. doi: 10.1093/jscr/rjae446. eCollection 2024 Aug.
2
Gastrointestinal and Hepatic Disease in Rheumatoid Arthritis.类风湿关节炎中的胃肠及肝脏疾病
Rheum Dis Clin North Am. 2018 Feb;44(1):89-111. doi: 10.1016/j.rdc.2017.09.005.
3
Gastrointestinal and hepatic manifestations of rheumatoid arthritis.类风湿关节炎的胃肠道和肝脏表现。

本文引用的文献

1
PERIPHERAL NEUROPATHY IN RHEUMATOID ARTHRITIS.类风湿关节炎中的周围神经病变
Br Med J. 1965 May 1;1(5443):1141-7. doi: 10.1136/bmj.1.5443.1141.
2
THE NATURAL HISTORY OF VASCULAR LESIONS IN RHEUMATOID ARTHRITIS.类风湿关节炎血管病变的自然病程
J Chronic Dis. 1963 Aug;16:905-14. doi: 10.1016/0021-9681(63)90139-5.
3
A clinical and pathological study of sixteen cases of rheumatoid arthritis with extensive visceral involvement ('rheumatoid disease').
Q J Med. 1956 Jul;25(99):313-32.
Dig Dis Sci. 2011 Feb;56(2):295-302. doi: 10.1007/s10620-010-1508-7. Epub 2011 Jan 4.
4
Cutaneous necrotizing vasculitis after low dose methotrexate therapy for rheumatoid arthritis: a possible manifestation of methotrexate hypersensitivity.类风湿关节炎低剂量甲氨蝶呤治疗后出现皮肤坏死性血管炎:甲氨蝶呤超敏反应的一种可能表现。
Clin Rheumatol. 1997 Nov;16(6):623-5. doi: 10.1007/BF02247805.
5
Rheumatoid vasculitis of the colon presenting as pancolitis.表现为全结肠炎的结肠类风湿性血管炎。
Dig Dis Sci. 1983 Feb;28(2):183-8. doi: 10.1007/BF01315149.
6
Ultrastructural changes in the rectal mucosa of patients with rheumatoid arthritis.类风湿性关节炎患者直肠黏膜的超微结构变化
Ann Rheum Dis. 1985 Sep;44(9):625-30. doi: 10.1136/ard.44.9.625.
7
Complete heart block and bowel infarction secondary to rheumatoid disease.类风湿性疾病继发完全性心脏传导阻滞和肠梗死
Ann Rheum Dis. 1985 Jun;44(6):425-8. doi: 10.1136/ard.44.6.425.
8
[Abdominal pain in metabolic diseases].[代谢性疾病中的腹痛]
Langenbecks Arch Chir. 1986;369:665-8. doi: 10.1007/BF01274457.
4
Cortisone and rheumatoid disease.可的松与类风湿性疾病。
Lancet. 1953 Nov 28;265(6796):1123-6. doi: 10.1016/s0140-6736(53)91497-4.
5
Abdominal apoplexy in rheumatoid arthritis.类风湿关节炎中的腹部卒中
Australas Ann Med. 1970 May;19(2):168-70. doi: 10.1111/imj.1970.19.2.168.