Suppr超能文献

与独眼畸形和并眼畸形相关的染色体异常。

Chromosomal abnormalities associated with cyclopia and synophthalmia.

作者信息

Howard R O

出版信息

Trans Am Ophthalmol Soc. 1977;75:505-38.

Abstract

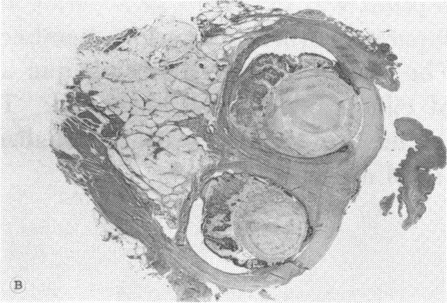
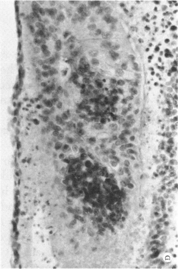
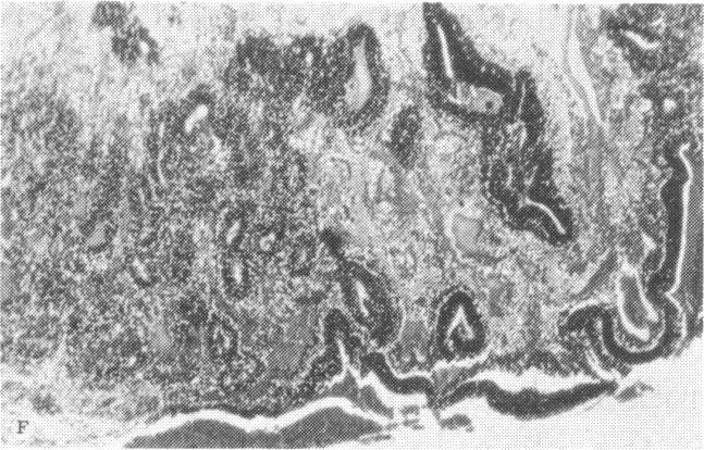
At the present time, essentially all known facts concerning cyclopia are consistent with some chromosomal disease, including clinical features of the pregnancy (fetal wastage, prematurity, intrauterine growth retardation, maternal age factor, complications of pregnancy), the generalized developmental abnormalities, specific ocular dysgenesis, by the high incidence of chromosomal abnormality already demonstrated, and the possibility of error in those cases of cyclopia with normal chromosomes. Even if chromosomal aberrations represent only one group of several different etiologic factors leading to cyclopia, at the present time chromosomal errors would seem to be the most common cause of cyclopia now recognized. Further studies will establish or disprove a chromosomal error in those instances which are now considered to be the result of an environmental factor alone or those with apparent familial patterns of inheritance. This apparent diverse origin of cyclopia can be clarified if future cyclopic specimens are carefully investigated. The evaluation should include a careful gross and microscopic examination of all organs, including the eye, and chromosome banding studies of all organs, including the eye, and chromosome banding studies of at least two cyclopic tissues. Then the presence or absence of multiple causative factors can be better evaluated.

摘要

目前,基本上所有关于独眼畸形的已知事实都与某些染色体疾病相符,包括妊娠的临床特征(胎儿死亡、早产、宫内生长迟缓、母亲年龄因素、妊娠并发症)、全身性发育异常、特定的眼发育不全,以及已证实的染色体异常的高发生率,还有那些染色体正常的独眼畸形病例存在错误的可能性。即使染色体畸变只是导致独眼畸形的几种不同病因中的一组,目前染色体错误似乎是现在所认识到的独眼畸形最常见的原因。进一步的研究将证实或否定那些目前被认为仅由环境因素导致或具有明显家族遗传模式的病例中的染色体错误。如果对未来的独眼畸形标本进行仔细研究,这种明显多样的独眼畸形起源可能会得到阐明。评估应包括对所有器官,包括眼睛,进行仔细的大体和显微镜检查,以及对所有器官,包括眼睛,进行染色体显带研究,并且至少对两个独眼畸形组织进行染色体显带研究。这样就能更好地评估多种致病因素的存在与否。

https://cdn.ncbi.nlm.nih.gov/pmc/blobs/87ba/1311562/0df9612b5e56/taos00024-0530-a.jpg

文献检索

告别复杂PubMed语法,用中文像聊天一样搜索,搜遍4000万医学文献。AI智能推荐,让科研检索更轻松。

立即免费搜索

文件翻译

保留排版,准确专业,支持PDF/Word/PPT等文件格式,支持 12+语言互译。

免费翻译文档

深度研究

AI帮你快速写综述,25分钟生成高质量综述,智能提取关键信息,辅助科研写作。

立即免费体验