Suppr超能文献

豌豆卷须叶绿体被膜上三磷酸腺苷酶活性的定位

Localization of adenosine triphosphatase activity on the chloroplast envelope in tendrils of Pisum sativum.

作者信息

Sabnis D D, Gordon M, Galston A W

出版信息

Plant Physiol. 1970 Jan;45(1):25-32. doi: 10.1104/pp.45.1.25.

Abstract

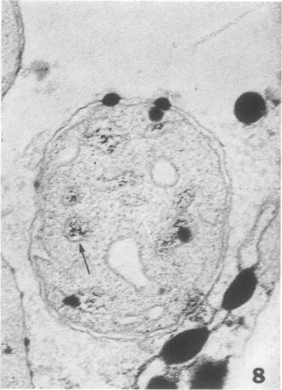
When samples of pea tendril tissue were incubated in the Wachstein-Meisel medium for the demonstration of adenosine triphosphatases, deposits of lead reaction product were localized between the membranes of the chloroplast envelope. The presence of Mg(2+) was necessary for adenosine triphosphatase activity, and Ca(2+) could not substitute for this requirement. Varying the pH of incubation to 5.5 or 9.4 inhibited enzyme activity, as did the addition of p-chloromercuribenzoic acid or N-ethylmaleimide. The adenosine triphosphatase was apparently inactivated or degraded when the plants were grown in the dark for 24 hours prior to incubation. The enzyme was substrate-specific for adenosine triphosphate; no reaction was obtained with adenosine diphosphate, uridine triphosphate, inosine triphosphate, p-nitrophenyl phosphate, and sodium beta-glycerophosphate. Sites of nonspecific depositions of lead are described. The adenosine triphosphatase on the chloroplast envelope may be involved in the light-induced contraction of this organelle.

摘要

当将豌豆卷须组织样本在瓦赫施泰因 - 梅塞尔培养基中孵育以显示三磷酸腺苷酶时,铅反应产物沉积定位在叶绿体被膜的膜之间。镁离子(Mg(2+))的存在对于三磷酸腺苷酶活性是必需的,钙离子(Ca(2+))不能替代这一需求。将孵育pH值改变为5.5或9.4会抑制酶活性,添加对氯汞苯甲酸或N - 乙基马来酰亚胺也会如此。当植物在孵育前在黑暗中生长24小时时,三磷酸腺苷酶显然会失活或降解。该酶对三磷酸腺苷具有底物特异性;与二磷酸腺苷、三磷酸尿苷、三磷酸肌苷、对硝基苯磷酸和β - 甘油磷酸钠均无反应。描述了铅的非特异性沉积位点。叶绿体被膜上的三磷酸腺苷酶可能参与该细胞器的光诱导收缩。

https://cdn.ncbi.nlm.nih.gov/pmc/blobs/9167/396348/d3bd4cbb175c/plntphys00193-0033-a.jpg

文献检索

告别复杂PubMed语法,用中文像聊天一样搜索,搜遍4000万医学文献。AI智能推荐,让科研检索更轻松。

立即免费搜索

文件翻译

保留排版,准确专业,支持PDF/Word/PPT等文件格式,支持 12+语言互译。

免费翻译文档

深度研究

AI帮你快速写综述,25分钟生成高质量综述,智能提取关键信息,辅助科研写作。

立即免费体验